Phone:
+1 877 302 8632
Fax:
+1 888 205 9894 (Toll-free)
E-Mail:
orders@antibodies-online.com

HNF4A antibody

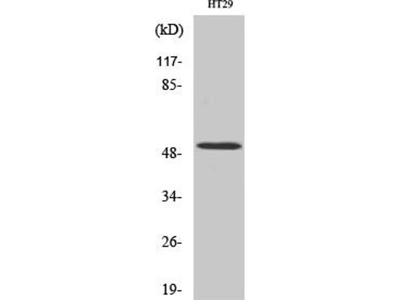
The Rabbit Polyclonal anti-HNF4A antibody (ABIN7215284) specifically detects HNF4A in WB, ELISA and IHC (p). The antibody is reactive with Human, Mouse and Rat samples.
Catalog No. ABIN7215284
$379.10
Plus shipping costs $50.00
Shipping to: United States
Delivery in 12 to 16 Business Days

Quick Overview for HNF4A antibody (ABIN7215284)

Target

See all HNF4A Antibodies
HNF4A (Hepatocyte Nuclear Factor 4, alpha (HNF4A))

Reactivity

  • 136
  • 75
  • 69
  • 6
  • 5
  • 5
  • 5
  • 4
  • 4
  • 4
  • 4
  • 3
  • 2
  • 2
  • 1
Human, Mouse, Rat

Host

  • 131
  • 9
  • 2
Rabbit

Clonality

  • 91
  • 51
Polyclonal

Conjugate

  • 76
  • 8
  • 5
  • 5
  • 5
  • 5
  • 5
  • 5
  • 4
  • 3
  • 3
  • 3
  • 2
  • 2
  • 1
  • 1
  • 1
  • 1
  • 1
  • 1
  • 1
  • 1
  • 1
  • 1
  • 1
This HNF4A antibody is un-conjugated

Application

  • 120
  • 57
  • 50
  • 41
  • 40
  • 24
  • 14
  • 14
  • 13
  • 11
  • 10
  • 4
  • 2
  • 1
  • 1
Western Blotting (WB), ELISA, Immunohistochemistry (Paraffin-embedded Sections) (IHC (p))
  • Purpose

    HNF-4α Polyclonal Antibody

    Specificity

    HNF-4α Polyclonal Antibody detects endogenous levels of HNF-4α protein.

    Purification

    The antibody was affinity-purified from rabbit antiserum by affinity-chromatography using epitope-specific immunogen

    Immunogen

    Synthesized peptide derived from human HNF4-alpha around the non-phosphorylation site of S313

    Isotype

    IgG
  • Application Notes

    Optimal working dilutions should be determined experimentally by the investigator. Suggested starting dilutions are as follows: WB (1:500-1:2000), IHC-P (1:100-1:300), ELISA (1:10000). Not yet tested in other applications.

    Comment

    Primary Antibody

    Restrictions

    For Research Use only
  • Format

    Liquid

    Concentration

    1 mg/mL

    Buffer

    PBS containing 50 % Glycerol, 0.5 % BSA and 0.02 % Sodium Azide.

    Preservative

    Sodium azide

    Precaution of Use

    This product contains Sodium azide: a POISONOUS AND HAZARDOUS SUBSTANCE which should be handled by trained staff only.

    Storage

    -20 °C

    Storage Comment

    Stable for one year at -20°C from date of shipment. For maximum recovery of product, centrifuge the original vial after thawing and prior to removing the cap. Aliquot to avoid repeated freezing and thawing.
  • Target

    HNF4A (Hepatocyte Nuclear Factor 4, alpha (HNF4A))

    Alternative Name

    HNF-4alpha

    Background

    Rabbit Anti-HNF-4α Polyclonal Antibody,HNF4A, HNF4, NR2A1, TCF14, Hepatocyte nuclear factor 4-alpha, HNF-4-alpha, Nuclear receptor subfamily 2 group A member 1, Transcription factor 14, TCF-14, Transcription factor HNF-4,Hepatocyte nuclear factor 4-alpha encoded by HNF4A is a nuclear transcription factor which binds DNA as a homodimer. Hepatocyte nuclear factor 4-alpha controls the expression of several genes, including hepatocyte nuclear factor 1 alpha, a transcription factor which regulates the expression of several hepatic genes. This gene may play a role in development of the liver, kidney, and intestines. Mutations in this gene have been associated with monogenic autosomal dominant non-insulin-dependent diabetes mellitus type I. Alternative splicing of this gene results in multiple transcript variants encoding several different isoforms.,Hepatocyte nuclear factor 4-alpha

    Molecular Weight

    observerd band 52kDa

    Gene ID

    3172

    UniProt

    P41235

    Pathways

    AMPK Signaling, Nuclear Receptor Transcription Pathway, Steroid Hormone Mediated Signaling Pathway, Carbohydrate Homeostasis, Cell-Cell Junction Organization, Regulation of Carbohydrate Metabolic Process
You are here:
Chat with us!