This product contains Sodium azide: a POISONOUS AND HAZARDOUS SUBSTANCE which should be handled by trained staff only.
Storage
-20 °C
Storage Comment
Store at -20°C. Avoid freeze / thaw cycles.
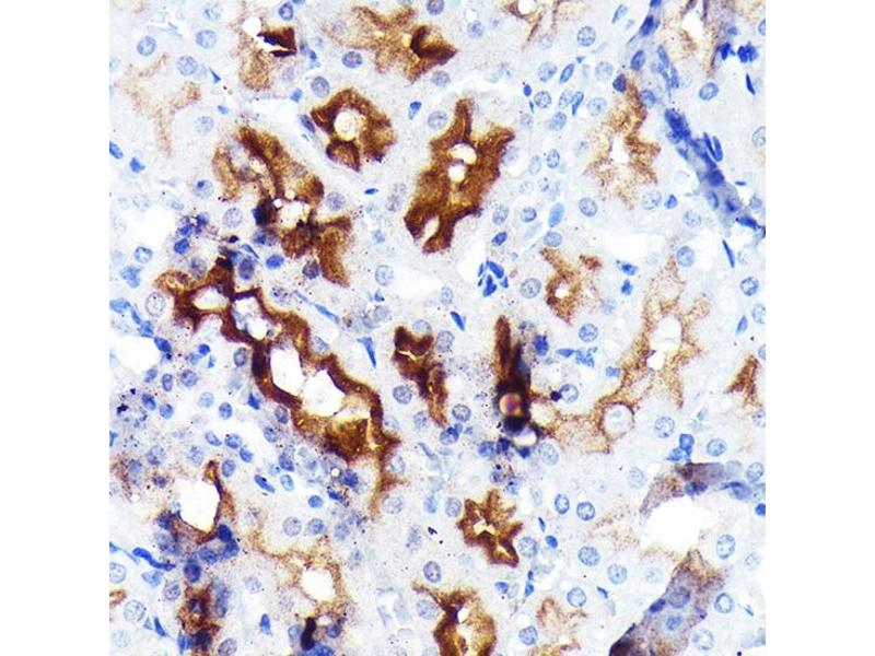
Target
ABCB1
(ATP-Binding Cassette, Sub-Family B (MDR/TAP), Member 1 (ABCB1))
Alternative Name
ABCB1
Background
The membrane-associated protein encoded by this gene is a member of the superfamily of ATP-binding cassette (ABC) transporters. ABC proteins transport various molecules across extra- and intra-cellular membranes. ABC genes are divided into seven distinct subfamilies (ABC1, MDR/TAP, MRP, ALD, OABP, GCN20, White). This protein is a member of the MDR/TAP subfamily. Members of the MDR/TAP subfamily are involved in multidrug resistance. The protein encoded by this gene is an ATP-dependent drug efflux pump for xenobiotic compounds with broad substrate specificity. It is responsible for decreased drug accumulation in multidrug-resistant cells and often mediates the development of resistance to anticancer drugs. This protein also functions as a transporter in the blood-brain barrier. Mutations in this gene are associated with colchicine resistance and Inflammatory bowel disease 13. Alternative splicing and the use of alternative promoters results in multiple transcript variants. [provided by RefSeq, Feb 2017],ABC20,CD243,CLCS,GP170,MDR1,P-GP,PGY1,P Glycoprotein,ABCB1,Cancer,CDs,Drug resistance,Drug resistance_P glycoproteins,Endocrine & Metabolism,Hematopoietic Progenitors,Immunology & Inflammation,Signal Transduction,Stem Cells,ABCB1