Phone:
+1 877 302 8632
Fax:
+1 888 205 9894 (Toll-free)
E-Mail:
orders@antibodies-online.com

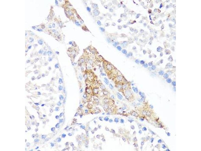
Fibronectin 1 antibody (AA 2200-2355)

The Rabbit Polyclonal anti-Fibronectin 1 antibody (ABIN7267194) specifically detects Fibronectin 1 in WB and IHC. The antibody is reactive with Human samples.
Catalog No. ABIN7267194
$383.00
Plus shipping costs $50.00
Shipping to: United States
Delivery in 7 to 10 Business Days

Quick Overview for Fibronectin 1 antibody (AA 2200-2355) (ABIN7267194)

Target

See all Fibronectin 1 (FN1) Antibodies
Fibronectin 1 (FN1)

Reactivity

  • 103
  • 37
  • 34
  • 9
  • 8
  • 6
  • 5
  • 5
  • 4
  • 4
  • 4
  • 1
  • 1
  • 1
  • 1
  • 1
Human

Host

  • 81
  • 35
  • 1
  • 1
Rabbit

Clonality

  • 74
  • 43
Polyclonal

Conjugate

  • 72
  • 12
  • 10
  • 4
  • 1
  • 1
  • 1
  • 1
  • 1
  • 1
  • 1
  • 1
  • 1
  • 1
  • 1
  • 1
  • 1
  • 1
  • 1
  • 1
  • 1
  • 1
  • 1
  • 1
This Fibronectin 1 antibody is un-conjugated

Application

  • 75
  • 54
  • 36
  • 20
  • 18
  • 13
  • 13
  • 9
  • 8
  • 8
  • 7
  • 1
  • 1
  • 1
  • 1
  • 1
Western Blotting (WB), Immunohistochemistry (IHC)
  • Binding Specificity

    • 15
    • 8
    • 6
    • 5
    • 4
    • 3
    • 3
    • 3
    • 2
    • 2
    • 2
    • 1
    • 1
    • 1
    • 1
    • 1
    • 1
    • 1
    • 1
    • 1
    AA 2200-2355

    Purpose

    Fibronectin Rabbit pAb

    Sequence

    LLCQCLGFGS GHFRCDSSRW CHDNGVNYKI GEKWDRQGEN GQMMSCTCLG NGKGEFKCDP HEATCYDDGK TYHVGEQWQK EYLGAICSCT CFGGQRGWRC DNCRRPGGEP SPEGTTGQSY NQYSQRYHQR TNTNVNCPIE CFMPLDVQAD REDSRE

    Cross-Reactivity

    Human, Mouse

    Characteristics

    Polyclonal Antibodies

    Purification

    Affinity purification

    Immunogen

    Recombinant fusion protein containing a sequence corresponding to amino acids 2200-2355 of human Fibronectin (NP_002017.1).

    Isotype

    IgG
  • Application Notes

    WB,1:500 - 1:1000,IHC,1:50 - 1:200

    Restrictions

    For Research Use only
  • Format

    Liquid

    Buffer

    PBS with 0.02 % sodium azide,50 % glycerol, pH 7.3.

    Preservative

    Sodium azide

    Precaution of Use

    This product contains Sodium azide: a POISONOUS AND HAZARDOUS SUBSTANCE which should be handled by trained staff only.

    Storage

    -20 °C

    Storage Comment

    Store at -20°C. Avoid freeze / thaw cycles.
  • Target

    Fibronectin 1 (FN1)

    Alternative Name

    FN1

    Background

    This gene encodes fibronectin, a glycoprotein present in a soluble dimeric form in plasma, and in a dimeric or multimeric form at the cell surface and in extracellular matrix. The encoded preproprotein is proteolytically processed to generate the mature protein. Fibronectin is involved in cell adhesion and migration processes including embryogenesis, wound healing, blood coagulation, host defense, and metastasis. The gene has three regions subject to alternative splicing, with the potential to produce 20 different transcript variants, at least one of which encodes an isoform that undergoes proteolytic processing. The full-length nature of some variants has not been determined.,FN1,CIG,ED-B,FINC,FN,FNZ,GFND,GFND2,LETS,MSF,fibronectin,Cancer,Invasion and Metastasis,Signal Transduction,Cell Biology & Developmental Biology,Cytoskeleton,Extracellular Matrix,Stem Cells,Mesenchymal Stem Cells,Neural Stem Cells,Cardiovascular,Angiogenesis,FN1

    Molecular Weight

    71-73kDa/221-272kDa

    Gene ID

    2335

    UniProt

    P02751

    Pathways

    Cellular Response to Molecule of Bacterial Origin, Carbohydrate Homeostasis, Autophagy
You are here:
Chat with us!