Phone:
+1 877 302 8632
Fax:
+1 888 205 9894 (Toll-free)
E-Mail:
orders@antibodies-online.com

FKBP8 antibody

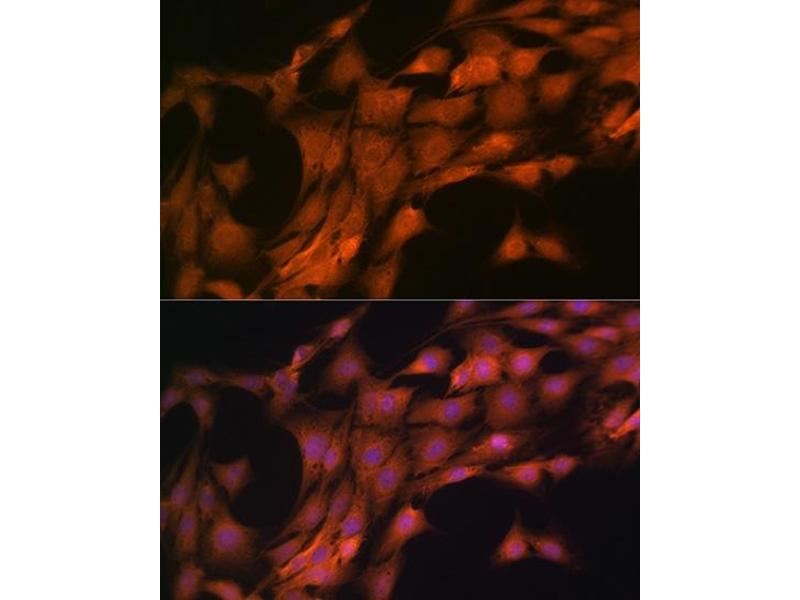
The Rabbit Monoclonal anti-FKBP8 antibody is suitable to detect FKBP8 in samples from Human. It has been validated for WB and IF.
Catalog No. ABIN7267214
$393.00
Plus shipping costs $50.00
Shipping to: United States
Delivery in 7 to 10 Business Days

Quick Overview for FKBP8 antibody (ABIN7267214)

Target

See all FKBP8 Antibodies
FKBP8 (FK506 Binding Protein 8, 38kDa (FKBP8))

Reactivity

  • 55
  • 34
  • 25
  • 4
  • 4
  • 4
  • 3
  • 3
  • 3
  • 2
  • 2
  • 2
  • 1
Human

Host

  • 66
  • 5
  • 1
Rabbit

Clonality

  • 57
  • 14
Monoclonal

Conjugate

  • 31
  • 7
  • 4
  • 3
  • 2
  • 2
  • 2
  • 2
  • 2
  • 2
  • 1
  • 1
  • 1
  • 1
  • 1
  • 1
  • 1
  • 1
  • 1
  • 1
  • 1
  • 1
  • 1
  • 1
  • 1
This FKBP8 antibody is un-conjugated

Application

  • 60
  • 19
  • 16
  • 14
  • 14
  • 12
  • 11
  • 11
  • 6
  • 5
  • 4
  • 1
Western Blotting (WB), Immunofluorescence (IF)
  • Purpose

    FKBP38/FKBP8 Rabbit mAb

    Cross-Reactivity

    Human, Mouse, Rat

    Characteristics

    Monoclonal Antibodies

    Purification

    Affinity purification

    Immunogen

    A synthesized peptide derived from human FKBP38/FKBP8

    Isotype

    IgG
  • Application Notes

    WB,1:500 - 1:2000,IF,1:50 - 1:200

    Restrictions

    For Research Use only
  • Format

    Liquid

    Buffer

    PBS with 0.02 % sodium azide,0.05 % BSA,50 % glycerol, pH 7.3.

    Preservative

    Sodium azide

    Precaution of Use

    This product contains Sodium azide: a POISONOUS AND HAZARDOUS SUBSTANCE which should be handled by trained staff only.

    Storage

    -20 °C

    Storage Comment

    Store at -20°C. Avoid freeze / thaw cycles.
  • Target

    FKBP8 (FK506 Binding Protein 8, 38kDa (FKBP8))

    Alternative Name

    FKBP8

    Background

    The protein encoded by this gene is a member of the immunophilin protein family, which play a role in immunoregulation and basic cellular processes involving protein folding and trafficking. Unlike the other members of the family, this encoded protein does not seem to have PPIase/rotamase activity. It may have a role in neurons associated with memory function. [provided by RefSeq, Jul 2008],FKBP38, FKBPr38,Apoptosis,Calcium Signaling,Cell Biology & Developmental Biology,Epigenetics & Nuclear Signaling,Neuroscience,Signal Transduction,FKBP8

    Molecular Weight

    52kDa

    Gene ID

    23770

    UniProt

    Q14318

    Pathways

    Autophagy
You are here:
Chat with us!