PBS with 0.02 % sodium azide,50 % glycerol, pH 7.3.
Preservative
Sodium azide
Precaution of Use
This product contains Sodium azide: a POISONOUS AND HAZARDOUS SUBSTANCE which should be handled by trained staff only.
Storage
-20 °C
Storage Comment
Store at -20°C. Avoid freeze / thaw cycles.
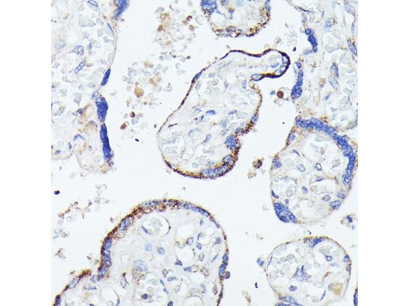
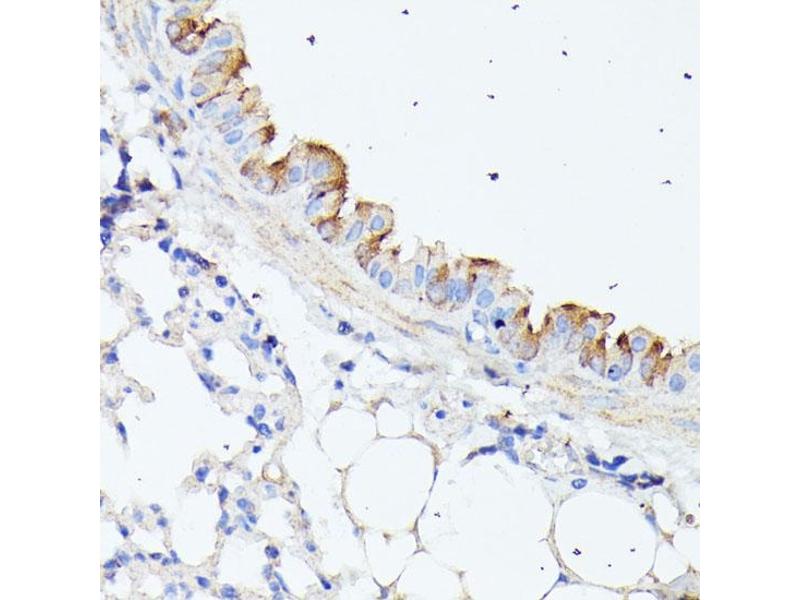
Target
HSPB11
(Heat Shock Protein Family B (Small), Member 11 (HSPB11))
Alternative Name
HSPB11
Background
Component of the IFT complex B required for sonic hedgehog/SHH signaling. May mediate transport of SHH components: required for the export of SMO and PTCH1 receptors out of the cilium and the accumulation of GLI2 at the ciliary tip in response to activation of the SHH pathway, suggesting it is involved in the dynamic transport of SHH signaling molecules within the cilium. Not required for ciliary assembly. Its role in intraflagellar transport is mainly seen in tissues rich in ciliated cells such as kidney and testis. Essential for male fertility, spermiogenesis and sperm flagella formation. Plays a role in the early development of the kidney. May be involved in the regulation of ureteric bud initiation (By similarity.,HSPB11,C1orf41,HSPCO34,IFT25,PP25,HSPB11