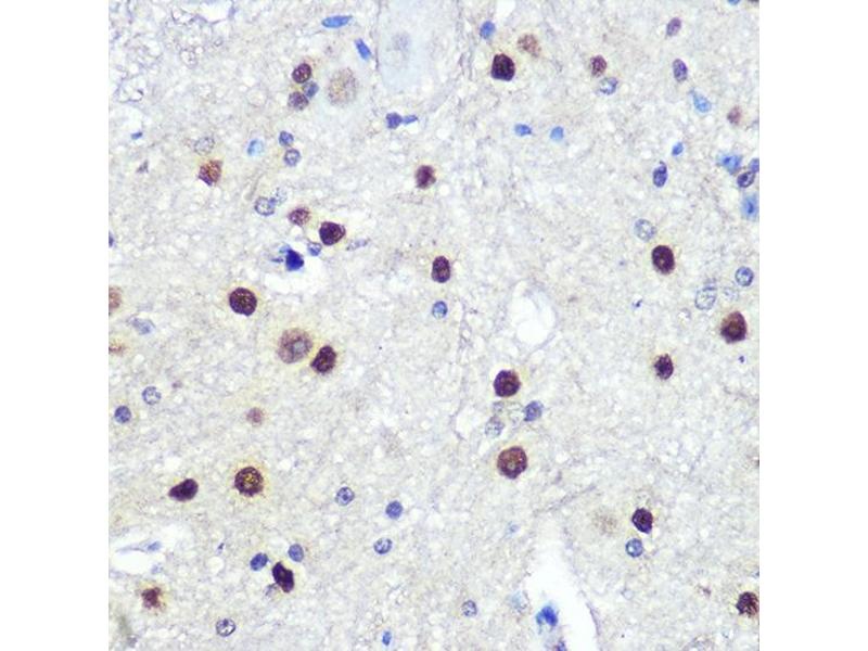
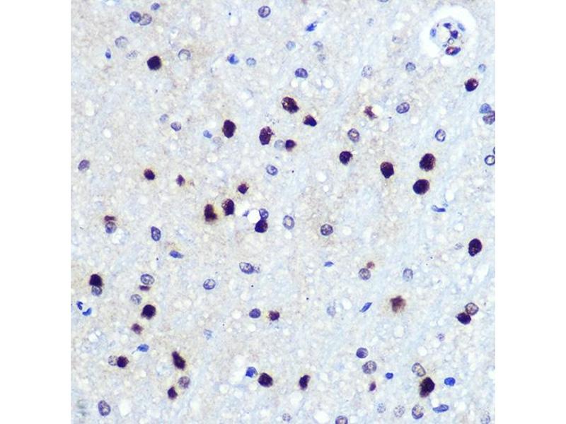
HES1 antibody
Quick Overview for HES1 antibody (ABIN7267624)
Target
See all HES1 AntibodiesReactivity
Host
Clonality
Conjugate
Application
-
-
Purpose
- HES1 Rabbit mAb
-
Cross-Reactivity
- Mouse, Rat
-
Characteristics
- Monoclonal Antibodies
-
Purification
- Affinity purification
-
Immunogen
- A synthesized peptide derived from human HES1
-
Isotype
- IgG
-
-
-
-
Application Notes
- WB,1:500 - 1:2000,IHC,1:50 - 1:200,IP,1:50 - 1:200
-
Restrictions
- For Research Use only
-
-
-
Format
- Liquid
-
Buffer
- PBS with 0.02 % sodium azide,0.05 % BSA,50 % glycerol, pH 7.3.
-
Preservative
- Sodium azide
-
Precaution of Use
- This product contains Sodium azide: a POISONOUS AND HAZARDOUS SUBSTANCE which should be handled by trained staff only.
-
Storage
- -20 °C
-
Storage Comment
- Store at -20°C. Avoid freeze / thaw cycles.
-
-
- HES1 (Hes Family bHLH Transcription Factor 1 (HES1))
-
Alternative Name
- HES1
-
Background
- This protein belongs to the basic helix-loop-helix family of transcription factors. It is a transcriptional repressor of genes that require a bHLH protein for their transcription. The protein has a particular type of basic domain that contains a helix interrupting protein that binds to the N-box rather than the canonical E-box. [provided by RefSeq, Jul 2008],HES-1, HHL, HRY, bHLHb39,Epigenetics & Nuclear Signaling,Neuroscience,Transcription Factors,HES1
-
Molecular Weight
- 30kDa
-
Gene ID
- 3280
-
UniProt
- Q14469
-
Pathways
- DNA Damage Repair
Target
-