Phone:
+1 877 302 8632
Fax:
+1 888 205 9894 (Toll-free)
E-Mail:
orders@antibodies-online.com

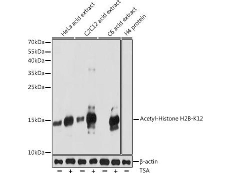
Histone H2B antibody (acLys12)

The Rabbit Polyclonal anti-Histone H2B antibody (ABIN7267731) specifically detects Histone H2B in WB, IHC, IF and ChIP. The antibody is reactive with Human samples.
Catalog No. ABIN7267731
$453.00
Plus shipping costs $50.00
Shipping to: United States
Delivery in 7 to 10 Business Days

Quick Overview for Histone H2B antibody (acLys12) (ABIN7267731)

Target

See all Histone H2B Antibodies
Histone H2B

Reactivity

  • 291
  • 156
  • 147
  • 21
  • 14
  • 9
  • 9
  • 5
  • 5
  • 5
  • 4
  • 3
  • 3
  • 2
  • 1
Human

Host

  • 296
  • 23
  • 2
Rabbit

Clonality

  • 233
  • 88
Polyclonal

Conjugate

  • 199
  • 17
  • 9
  • 9
  • 9
  • 9
  • 9
  • 9
  • 8
  • 7
  • 5
  • 5
  • 2
  • 2
  • 2
  • 2
  • 2
  • 2
  • 2
  • 2
  • 2
  • 2
  • 2
  • 2
  • 2
This Histone H2B antibody is un-conjugated

Application

  • 247
  • 104
  • 102
  • 72
  • 66
  • 34
  • 30
  • 28
  • 27
  • 26
  • 20
  • 7
  • 6
  • 6
  • 2
  • 2
  • 2
  • 1
  • 1
Western Blotting (WB), Immunohistochemistry (IHC), Immunofluorescence (IF), Chromatin Immunoprecipitation (ChIP)
  • Binding Specificity

    • 23
    • 15
    • 14
    • 11
    • 10
    • 10
    • 10
    • 10
    • 9
    • 9
    • 9
    • 8
    • 8
    • 7
    • 6
    • 6
    • 5
    • 5
    • 4
    • 4
    • 4
    • 3
    • 3
    • 3
    • 3
    • 3
    • 3
    • 3
    • 3
    • 3
    • 2
    • 2
    • 2
    • 2
    • 2
    • 2
    • 2
    • 2
    • 2
    • 2
    • 2
    • 2
    • 2
    • 2
    • 2
    • 2
    • 2
    • 2
    • 2
    • 2
    acLys12

    Purpose

    Acetyl-Histone H2B-K12 Rabbit pAb

    Sequence

    APKKG

    Cross-Reactivity

    Human, Mouse, Rat

    Characteristics

    Acetylated Antibodies

    Purification

    Affinity purification

    Immunogen

    A synthetic acetylated peptide around K12 of human Histone H2B (NP_003519.1).

    Isotype

    IgG
  • Application Notes

    WB,1:500 - 1:2000,IHC,1:50 - 1:200,IF,1:50 - 1:200,ChIP,1:50 - 1:200

    Restrictions

    For Research Use only
  • Format

    Liquid

    Buffer

    PBS with 0.02 % sodium azide,50 % glycerol, pH 7.3.

    Preservative

    Sodium azide

    Precaution of Use

    This product contains Sodium azide: a POISONOUS AND HAZARDOUS SUBSTANCE which should be handled by trained staff only.

    Storage

    -20 °C

    Storage Comment

    Store at -20°C. Avoid freeze / thaw cycles.
  • Target

    Histone H2B

    Background

    Histones are basic nuclear proteins that are responsible for the nucleosome structure of the chromosomal fiber in eukaryotes. Two molecules of each of the four core histones (H2A, H2B, H3, and H4) form an octamer, around which approximately 146 bp of DNA is wrapped in repeating units, called nucleosomes. The linker histone, H1, interacts with linker DNA between nucleosomes and functions in the compaction of chromatin into higher order structures. This gene encodes a replication-dependent histone that is a member of the histone H2B family, and generates two transcripts through the use of the conserved stem-loop termination motif, and the polyA addition motif. The protein has antibacterial and antifungal antimicrobial activity.,GL105,H2B,H2B.1,H2BFQ,H2BGL105,H2BQ,Histone H2B,HIST2H2BE,Epigenetics & Nuclear Signaling,Histones,Epigenetics & Nuclear Signaling,Epigenetic Modifications,Acetylation,Histone H2B

    Molecular Weight

    13kDa

    Gene ID

    8349

    UniProt

    Q16778
You are here:
Chat with us!