×
For best experience we recommend to activate Javascript in your browser.
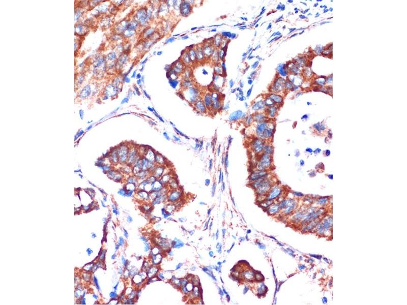
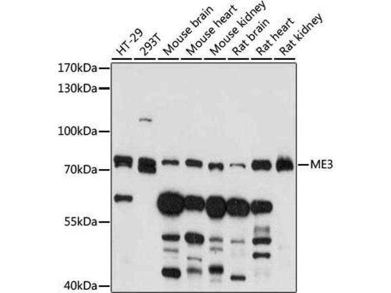
ME3 antibody (AA 505-604)
The Rabbit Polyclonal anti-ME3 antibody is suitable to detect ME3 in samples from Human. It has been validated for WB, IHC and IF.
Catalog No. ABIN7268384
$383.00
Plus shipping costs $50.00
20 μL ABIN7530761
100 μL ABIN7268384
500 μL ABIN7748357
1000 μL ABIN7748360
20 μL ABIN7530761
100 μL ABIN7268384
500 μL ABIN7748357
1000 μL ABIN7748360
Delivery in 7 to 10 Business Days
Quick Overview for ME3 antibody (AA 505-604) (ABIN7268384)
Target
See all ME3 Antibodies
ME3
(Malic Enzyme 3, NADP(+)-Dependent, Mitochondrial (ME3))
Reactivity
All reactivities for ME3 antibodies
Human
Host
All hosts for ME3 antibodies
Rabbit
Clonality
All clonalities for ME3 antibodies
Polyclonal
Conjugate
All conjugates for ME3 antibodies
This ME3 antibody is un-conjugated
Application
All applications for ME3 antibodies
Western Blotting (WB), Immunohistochemistry (IHC), Immunofluorescence (IF)
Product Details anti-ME3 Antibody
(hide)
Binding Specificity
All epitopes for ME3 antibodies
AA 505-604
Purpose
ME3 Rabbit pAb
Sequence
IRHIPDEIFL LTAEQIAQEV SEQHLSQGRL YPPLSTIRDV SLRIAIKVLD YAYKHNLASY YPEPKDKEAF VRSLVYTPDY DSFTLDSYTW PKEAMNVQTV
Cross-Reactivity
Human, Mouse, Rat
Characteristics
Polyclonal Antibodies
Purification
Affinity purification
Immunogen
Recombinant fusion protein containing a sequence corresponding to amino acids 505-604 of human ME3 (NP_001014811.1).
Isotype
IgG
Alternatives
(show)
anti-Malic Enzyme 3, NADP(+)-Dependent, Mitochondrial (ME3) (AA 38-87) antibody
ME3
Reactivity: Human, Mouse, Cow, Dog, Guinea Pig, Rabbit, Zebrafish (Danio rerio), Monkey, Xenopus laevis
WB
Host: Rabbit
Polyclonal
unconjugated
Application Details
(hide)
Application Notes
WB,1:500 - 1:2000,IHC,1:50 - 1:200,IF,1:50 - 1:200
Restrictions
For Research Use only
Handling
(hide)
Format
Liquid
Buffer
PBS with 0.02 % sodium azide,50 % glycerol, pH 7.3.
Preservative
Sodium azide
Precaution of Use
This product contains Sodium azide: a POISONOUS AND HAZARDOUS SUBSTANCE which should be handled by trained staff only.
Storage
-20 °C
Storage Comment
Store at -20°C. Avoid freeze / thaw cycles.
Target Details for ME3
(hide)
Target
ME3
(Malic Enzyme 3, NADP(+)-Dependent, Mitochondrial (ME3))
Alternative Name
ME3
Background
Malic enzyme catalyzes the oxidative decarboxylation of malate to pyruvate using either NAD+ or NADP+ as a cofactor. Mammalian tissues contain 3 distinct isoforms of malic enzyme: a cytosolic NADP(+)-dependent isoform, a mitochondrial NADP(+)-dependent isoform, and a mitochondrial NAD(+)-dependent isoform. This gene encodes a mitochondrial NADP(+)-dependent isoform. Multiple alternatively spliced transcript variants have been found for this gene, but the biological validity of some variants has not been determined.,ME3,NADP-ME,Cancer,Signal Transduction,Cell Biology & Developmental Biology,Endocrine & Metabolism,Mitochondrial metabolism,Mitochondrial markers,Warburg Effect,ME3
Molecular Weight
38kDa/67kDa
Gene ID
10873
UniProt
Q16798
Pathways
Warburg Effect
Recently viewed
(hide)
You are here:
Homepage
anti-ME3 antibody (AA 505-604) (ABIN7268384)
Chat with us , powered by LiveChat