Phone:
+1 877 302 8632
Fax:
+1 888 205 9894 (Toll-free)
E-Mail:
orders@antibodies-online.com

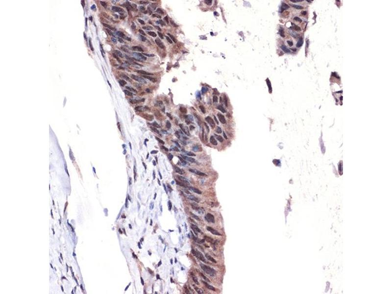
MBD3 antibody

The Rabbit Monoclonal anti-MBD3 antibody is suitable to detect MBD3 in samples from Human. It has been validated for WB and IHC.
Catalog No. ABIN7268492
$393.00
Plus shipping costs $50.00
Shipping to: United States
Delivery in 7 to 10 Business Days

Quick Overview for MBD3 antibody (ABIN7268492)

Target

See all MBD3 Antibodies
MBD3 (Methyl-CpG Binding Domain Protein 3 (MBD3))

Reactivity

  • 92
  • 50
  • 37
  • 4
  • 3
  • 3
  • 3
  • 2
  • 2
  • 1
  • 1
Human

Host

  • 80
  • 10
  • 2
Rabbit

Clonality

  • 55
  • 37
Monoclonal

Conjugate

  • 51
  • 6
  • 4
  • 4
  • 4
  • 4
  • 4
  • 4
  • 3
  • 2
  • 2
  • 2
  • 1
  • 1
This MBD3 antibody is un-conjugated

Application

  • 66
  • 28
  • 25
  • 25
  • 20
  • 15
  • 15
  • 4
  • 1
  • 1
Western Blotting (WB), Immunohistochemistry (IHC)
  • Purpose

    MBD3 Rabbit mAb

    Cross-Reactivity

    Human, Mouse, Rat

    Characteristics

    Monoclonal Antibodies

    Purification

    Affinity purification

    Immunogen

    A synthesized peptide derived from human MBD3

    Isotype

    IgG
  • Application Notes

    WB,1:500 - 1:2000,IHC,1:50 - 1:200

    Restrictions

    For Research Use only
  • Format

    Liquid

    Buffer

    PBS with 0.02 % sodium azide,0.05 % BSA,50 % glycerol, pH 7.3.

    Preservative

    Sodium azide

    Precaution of Use

    This product contains Sodium azide: a POISONOUS AND HAZARDOUS SUBSTANCE which should be handled by trained staff only.

    Storage

    -20 °C

    Storage Comment

    Store at -20°C. Avoid freeze / thaw cycles.
  • Target

    MBD3 (Methyl-CpG Binding Domain Protein 3 (MBD3))

    Alternative Name

    MBD3

    Background

    DNA methylation is the major modification of eukaryotic genomes and plays an essential role in mammalian development. This gene belongs to a family of nuclear proteins which are characterized by the presence of a methyl-CpG binding domain (MBD). The encoded protein is a subunit of the NuRD, a multisubunit complex containing nucleosome remodeling and histone deacetylase activities. Unlike the other family members, the encoded protein is not capable of binding to methylated DNA. The protein mediates the association of metastasis-associated protein 2 with the core histone deacetylase complex. Alternative splicing results in multiple transcript variants of this gene. [provided by RefSeq, Jul 2013],MBD3, methyl-CpG-binding domain protein 3,Epigenetics & Nuclear Signaling,MBD3

    Molecular Weight

    33kDa

    Gene ID

    53615

    UniProt

    O95983

    Pathways

    Chromatin Binding
You are here:
Chat with us!