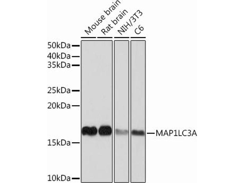
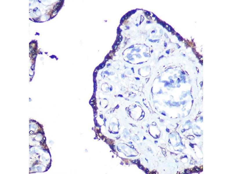
The Rabbit Monoclonal anti-MAP1LC3A antibody (ABIN7268517) specifically detects MAP1LC3A in WB, IHC and IP.
The antibody is reactive with Human samples.
This product contains Sodium azide: a POISONOUS AND HAZARDOUS SUBSTANCE which should be handled by trained staff only.
Storage
-20 °C
Storage Comment
Store at -20°C. Avoid freeze / thaw cycles.
Target
MAP1LC3A
(Microtubule-Associated Protein 1 Light Chain 3 alpha (MAP1LC3A))
Alternative Name
MAP1LC3A
Background
MAP1A and MAP1B are microtubule-associated proteins which mediate the physical interactions between microtubules and components of the cytoskeleton. MAP1A and MAP1B each consist of a heavy chain subunit and multiple light chain subunits. The protein encoded by this gene is one of the light chain subunits and can associate with either MAP1A or MAP1B. Two transcript variants encoding different isoforms have been found for this gene. The expression of variant 1 is suppressed in many tumor cell lines, suggesting that may be involved in carcinogenesis. [provided by RefSeq, Feb 2012],ATG8E, LC3, LC3A, MAP1ALC3, MAP1BLC3,Autophagy,Autophagy_ATGs,Cancer,Cardiovascular,Cell Biology & Developmental Biology,Cytoskeleton,Cytoskeleton_Microtubules,Endocrine & Metabolism,Heart,Mitochondrial metabolism,MAP1LC3A