Phone:
+1 877 302 8632
Fax:
+1 888 205 9894 (Toll-free)
E-Mail:
orders@antibodies-online.com

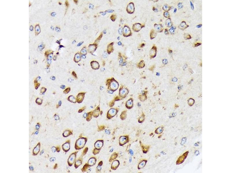
RPS20 antibody

The Rabbit Monoclonal anti-RPS20 antibody (ABIN7270017) specifically detects RPS20 in WB, IF and IHC. The antibody is reactive with Human samples.
Catalog No. ABIN7270017
$393.00
Plus shipping costs $50.00
Shipping to: United States
Delivery in 7 to 10 Business Days

Quick Overview for RPS20 antibody (ABIN7270017)

Target

See all RPS20 Antibodies
RPS20 (Ribosomal Protein S20 (RPS20))

Reactivity

  • 50
  • 48
  • 33
  • 15
  • 2
  • 1
  • 1
Human

Host

  • 62
  • 3
Rabbit

Clonality

  • 41
  • 24
Monoclonal

Conjugate

  • 23
  • 5
  • 3
  • 3
  • 3
  • 3
  • 3
  • 3
  • 2
  • 2
  • 1
  • 1
  • 1
  • 1
  • 1
  • 1
  • 1
  • 1
  • 1
  • 1
  • 1
  • 1
  • 1
  • 1
  • 1
This RPS20 antibody is un-conjugated

Application

  • 34
  • 17
  • 17
  • 15
  • 13
  • 13
  • 12
  • 7
  • 3
  • 1
Western Blotting (WB), Immunofluorescence (IF), Immunohistochemistry (IHC)
  • Purpose

    RPS20 Rabbit mAb

    Cross-Reactivity

    Human, Mouse, Rat

    Characteristics

    Monoclonal Antibodies

    Purification

    Affinity purification

    Immunogen

    A synthesized peptide derived from human RPS20

    Isotype

    IgG
  • Application Notes

    WB,1:500 - 1:2000,IHC,1:50 - 1:200,IF,1:50 - 1:200

    Restrictions

    For Research Use only
  • Format

    Liquid

    Buffer

    PBS with 0.02 % sodium azide,0.05 % BSA,50 % glycerol, pH 7.3.

    Preservative

    Sodium azide

    Precaution of Use

    This product contains Sodium azide: a POISONOUS AND HAZARDOUS SUBSTANCE which should be handled by trained staff only.

    Storage

    -20 °C

    Storage Comment

    Store at -20°C. Avoid freeze / thaw cycles.
  • Target

    RPS20 (Ribosomal Protein S20 (RPS20))

    Alternative Name

    RPS20

    Background

    Ribosomes, the organelles that catalyze protein synthesis, consist of a small 40S subunit and a large 60S subunit. Together these subunits are composed of 4 RNA species and approximately 80 structurally distinct proteins. This gene encodes a ribosomal protein that is a component of the 40S subunit. The protein belongs to the S10P family of ribosomal proteins. It is located in the cytoplasm. This gene is co-transcribed with the small nucleolar RNA gene U54, which is located in its second intron. As is typical for genes encoding ribosomal proteins, there are multiple processed pseudogenes of this gene dispersed through the genome. Two transcript variants encoding different isoforms have been identified for this gene. [provided by RefSeq, Apr 2009],S20,Epigenetics & Nuclear Signaling,RNA Binding,RPS20

    Molecular Weight

    13kDa

    Gene ID

    6224

    UniProt

    P60866
You are here:
Chat with us!