This product contains Sodium azide: a POISONOUS AND HAZARDOUS SUBSTANCE which should be handled by trained staff only.
Storage
-20 °C
Storage Comment
Store at -20°C. Avoid freeze / thaw cycles.
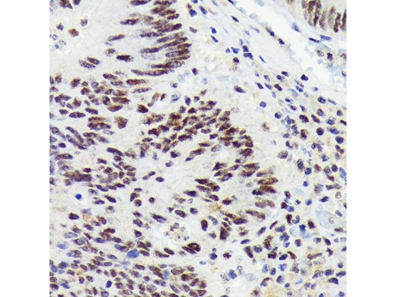
Target
RNF40
(Ring Finger Protein 40, E3 Ubiquitin Protein Ligase (RNF40))
Alternative Name
RNF40
Background
The protein encoded by this gene contains a RING finger, a motif known to be involved in protein-protein and protein-DNA interactions. This protein was reported to interact with the tumor suppressor protein RB1. Studies of the rat counterpart suggested that this protein may function as an E3 ubiquitin-protein ligase, and facilitate the ubiquitination and degradation of syntaxin 1, which is an essential component of the neurotransmitter release machinery. Multiple alternatively spliced transcript variants encoding different isoforms have been found for this gene. [provided by RefSeq, May 2011],BRE1B, RBP95, STARING,Cell Biology & Developmental Biology,Epigenetic writers and erasers of core Histones,Epigenetic writers and erasers of core Histones_Ubiquitination,Epigenetics & Nuclear Signaling,Ubiquitin,RNF40