This product contains Sodium azide: a POISONOUS AND HAZARDOUS SUBSTANCE which should be handled by trained staff only.
Storage
-20 °C
Storage Comment
Store at -20°C. Avoid freeze / thaw cycles.
Target
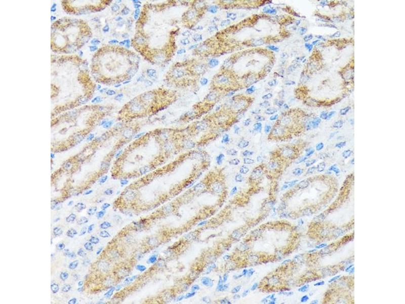
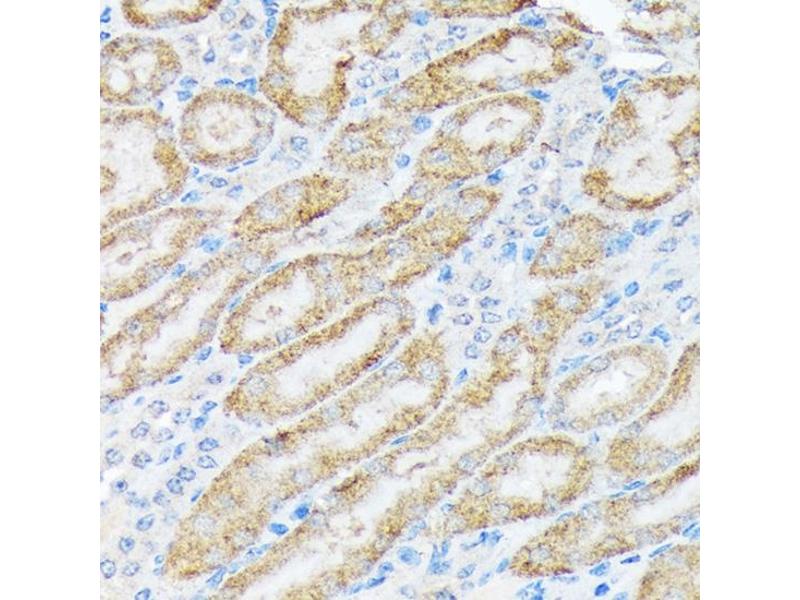
TIRAP
(Toll-Interleukin 1 Receptor (TIR) Domain Containing Adaptor Protein (TIRAP))
Alternative Name
TIRAP
Background
The innate immune system recognizes microbial pathogens through Toll-like receptors (TLRs), which identify pathogen-associated molecular patterns. Different TLRs recognize different pathogen-associated molecular patterns and all TLRs have a Toll-interleukin 1 receptor (TIR) domain, which is responsible for signal transduction. The protein encoded by this gene is a TIR adaptor protein involved in the TLR4 signaling pathway of the immune system. It activates NF-kappa-B, MAPK1, MAPK3 and JNK, which then results in cytokine secretion and the inflammatory response. Alternative splicing of this gene results in several transcript variants, however, not all variants have been fully described. [provided by RefSeq, Jul 2008],BACTS1, Mal, MyD88-2, wyatt,Cardiovascular,Cell Intrinsic Innate Immunity Signaling Pathway,Immunology & Inflammation,Innate Immunity_TLR Signaling,Kinase,Toll-like Receptor Signaling Pathway,TIRAP