Phone:
+1 877 302 8632
Fax:
+1 888 205 9894 (Toll-free)
E-Mail:
orders@antibodies-online.com

Transportin 3 antibody

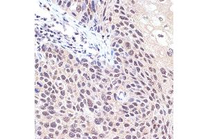
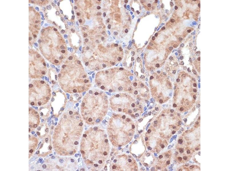
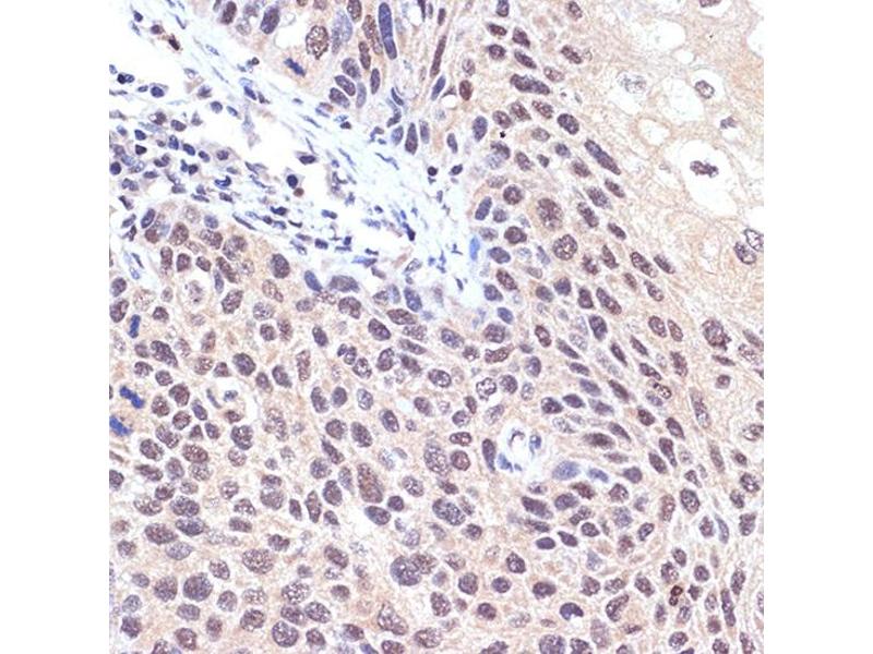
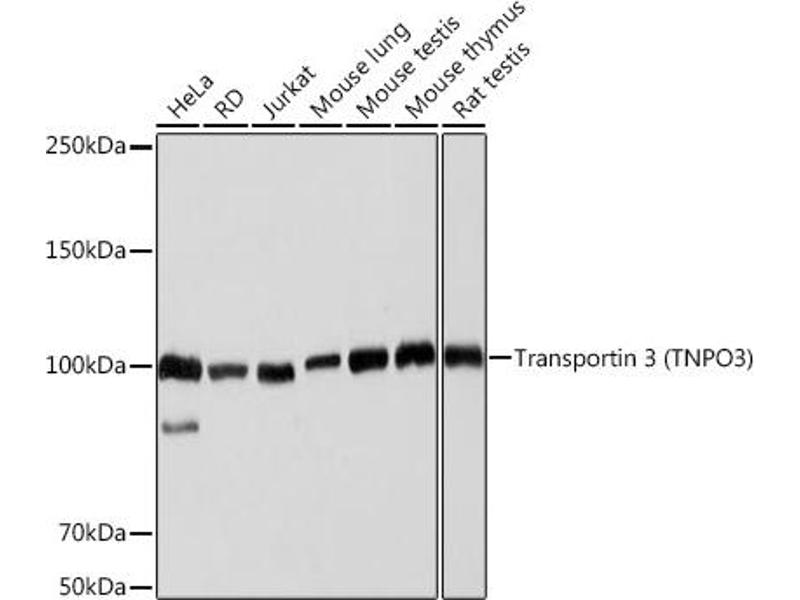
The Rabbit Monoclonal anti-Transportin 3 antibody (ABIN7270971) specifically detects Transportin 3 in WB, IF and IHC. The antibody is reactive with Human samples.
Catalog No. ABIN7270971
$393.00
Plus shipping costs $50.00
Shipping to: United States
Delivery in 7 to 10 Business Days

Quick Overview for Transportin 3 antibody (ABIN7270971)

Target

See all Transportin 3 (TNPO3) Antibodies
Transportin 3 (TNPO3)

Reactivity

  • 31
  • 24
  • 24
  • 2
  • 2
  • 1
  • 1
  • 1
  • 1
  • 1
  • 1
  • 1
Human

Host

  • 29
  • 2
Rabbit

Clonality

  • 21
  • 10
Monoclonal

Conjugate

  • 11
  • 3
  • 2
  • 2
  • 2
  • 2
  • 2
  • 2
  • 2
  • 1
  • 1
  • 1
This Transportin 3 antibody is un-conjugated

Application

  • 19
  • 12
  • 12
  • 11
  • 6
  • 2
  • 1
  • 1
Western Blotting (WB), Immunofluorescence (IF), Immunohistochemistry (IHC)
  • Purpose

    Transportin 3 (TNPO3) Rabbit mAb

    Cross-Reactivity

    Human, Mouse, Rat

    Characteristics

    Monoclonal Antibodies

    Purification

    Affinity purification

    Immunogen

    A synthesized peptide derived from human Transportin 3 (Transportin 3 (TNPO3))

    Isotype

    IgG
  • Application Notes

    WB,1:500 - 1:2000,IHC,1:50 - 1:200,IF,1:50 - 1:200

    Restrictions

    For Research Use only
  • Format

    Liquid

    Buffer

    PBS with 0.02 % sodium azide,0.05 % BSA,50 % glycerol, pH 7.3.

    Preservative

    Sodium azide

    Precaution of Use

    This product contains Sodium azide: a POISONOUS AND HAZARDOUS SUBSTANCE which should be handled by trained staff only.

    Storage

    -20 °C

    Storage Comment

    Store at -20°C. Avoid freeze / thaw cycles.
  • Target

    Transportin 3 (TNPO3)

    Alternative Name

    TNPO3

    Background

    The protein encoded by this gene is a nuclear import receptor for serine/arginine-rich (SR) proteins such as the splicing factors SFRS1 and SFRS2. The encoded protein has also been shown to be involved in HIV-1 infection, apparently through interaction with the HIV-1 capsid protein. Two transcript variants encoding different isoforms as well as a noncoding transcript have been found for this gene.[provided by RefSeq, Jul 2010],IPO12, LGMD1F, MTR10A, TRN-SR, TRN-SR2, TRNSR,Epigenetics & Nuclear Signaling,Nuclear Receptor Signaling,Signal Transduction,TNPO3

    Molecular Weight

    100kDa

    Gene ID

    23534

    UniProt

    Q9Y5L0

    Pathways

    Protein targeting to Nucleus
You are here:
Chat with us!