PBS with 0.02 % sodium azide,50 % glycerol, pH 7.3.
Preservative
Sodium azide
Precaution of Use
This product contains Sodium azide: a POISONOUS AND HAZARDOUS SUBSTANCE which should be handled by trained staff only.
Storage
-20 °C
Storage Comment
Store at -20°C. Avoid freeze / thaw cycles.
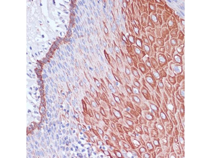
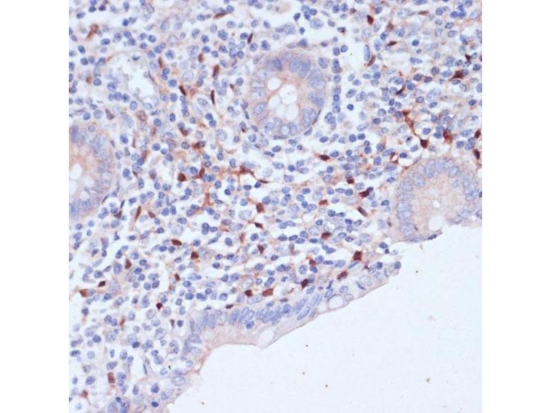
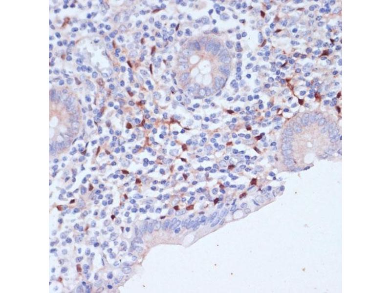
Target
WIPF1
(WAS/WASL Interacting Protein Family, Member 1 (WIPF1))
Alternative Name
WIPF1
Background
This gene encodes a protein that plays an important role in the organization of the actin cytoskeleton. The encoded protein binds to a region of Wiskott-Aldrich syndrome protein that is frequently mutated in Wiskott-Aldrich syndrome, an X-linked recessive disorder. Impairment of the interaction between these two proteins may contribute to the disease. Two transcript variants encoding the same protein have been identified for this gene.,WIPF1,PRPL-2,WAS2,WASPIP,WIP,Signal Transduction,Cell Biology & Developmental Biology,Cytoskeleton,Microfilaments,WIPF1