Phone:
+1 877 302 8632
Fax:
+1 888 205 9894 (Toll-free)
E-Mail:
orders@antibodies-online.com

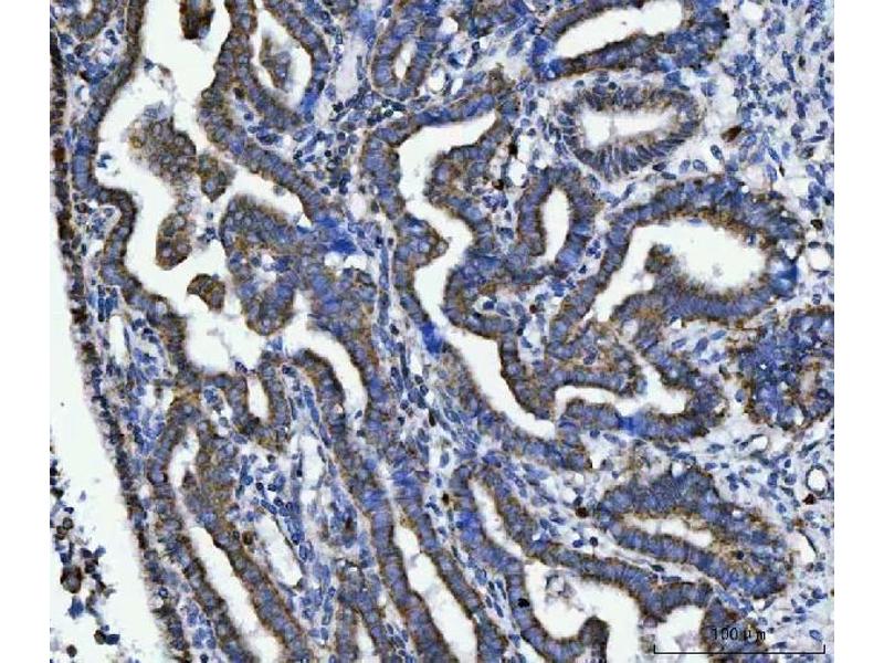
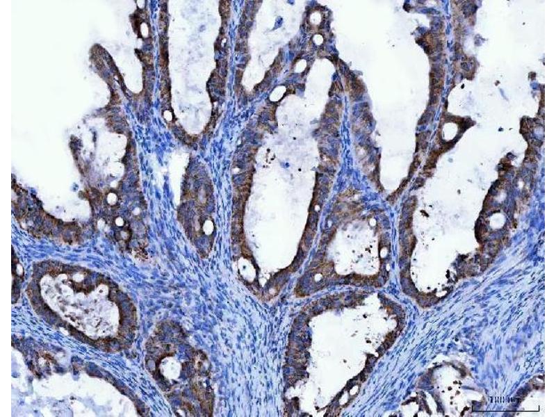
TFG antibody (AA 121-400)

This Rabbit Polyclonal antibody specifically detects TFG in WB, IHC, ELISA, ICC and IF. It exhibits reactivity toward Human, Mouse and Rat.
Catalog No. ABIN7599839
$370.00
Plus shipping costs $50.00
100 μg
Shipping to: United States
Delivery in 4 to 7 Business Days

Quick Overview for TFG antibody (AA 121-400) (ABIN7599839)

Target

See all TFG Antibodies
TFG (Trk-Fused Gene (TFG))

Reactivity

Human, Mouse, Rat

Host

  • 48
  • 8
Rabbit

Clonality

  • 31
  • 25
Polyclonal

Conjugate

  • 30
  • 4
  • 2
  • 2
  • 2
  • 2
  • 2
  • 2
  • 2
  • 2
  • 2
  • 2
  • 1
  • 1
This TFG antibody is un-conjugated

Application

  • 47
  • 19
  • 19
  • 17
  • 12
  • 11
  • 2
  • 1
  • 1
  • 1
Western Blotting (WB), Immunohistochemistry (IHC), ELISA, Immunocytochemistry (ICC), Immunofluorescence (IF)
  • Binding Specificity

    • 7
    • 7
    • 2
    • 2
    • 2
    • 2
    • 2
    • 1
    • 1
    • 1
    • 1
    • 1
    • 1
    • 1
    • 1
    AA 121-400

    Purpose

    Anti-TRK fused gene/TFG Antibody

    Cross-Reactivity (Details)

    No cross-reactivity with other proteins.

    Characteristics

    Anti-TRK fused gene/TFG Antibody (ABIN7599839). Tested in ELISA, IF, IHC, ICC, WB applications. This antibody reacts with Human, Mouse, Rat. This is a premium antibody that guarantees superior quality, high affinity, and strong signals with minimal background in Western blot applications.

    Purification

    Immunogen affinity purified.

    Immunogen

    E.coli-derived human TRK fused gene/TFG recombinant protein (Position: D121-R400).

    Isotype

    IgG
  • Application Notes

    Western blot, 0.1-0.25 μg/mL, Human, Mouse, Rat
    Immunohistochemistry(Paraffin-embedded Section), 2-5 μg/mL, Human, Rat
    Immunocytochemistry/Immunofluorescence, 5 μg/mL, Human
    Immunofluorescence, 5 μg/mL, Human
    ELISA, 0.1-0.5 μg/mL, -

    Restrictions

    For Research Use only
  • Format

    Lyophilized

    Reconstitution

    Adding 0.2 mL of distilled water will yield a concentration of 500 μg/mL.

    Concentration

    500 μg/mL

    Buffer

    Each vial contains 4 mg Trehalose, 0.9 mg NaCl, 0.2 mg Na2HPO4.

    Storage

    4 °C,-20 °C

    Storage Comment

    At -20°C for one year from date of receipt. After reconstitution, at 4°C for one month.
    It can also be aliquotted and stored frozen at -20°C for six months. Avoid repeated freezing and thawing.
  • Target

    TFG (Trk-Fused Gene (TFG))

    Alternative Name

    TFG

    Background

    Synonyms: Tumor necrosis factor receptor superfamily member 13C, B-cell maturation defect, B-cell-activating factor receptor, BAFF receptor, BAFF-R, BLyS receptor 3, CD268, Tnfrsf13c, Baffr, Bcmd, Br3

    Tissue Specificity: Highly expressed in spleen and testis, detected at lower levels in lung and thymus.

    Background: Protein TFG is a protein that in humans is encoded by the TFG gene. There are several documented fusion oncoproteins encoded partially by this gene. This gene also participates in several oncogenic rearrangements resulting in anaplastic lymphoma and mixoid chondrosarcoma, and may play a role in the NF-kappaB pathway. Multiple transcript variants have been found for this gene.

    Molecular Weight

    60 kDa

    Gene ID

    10342

    UniProt

    Q92734
You are here:
Chat with us!