Phone:
+1 877 302 8632
Fax:
+1 888 205 9894 (Toll-free)
E-Mail:
orders@antibodies-online.com

TET1 antibody (AA 194-417)

The Rabbit Polyclonal anti-TET1 antibody (ABIN7600442) specifically detects TET1 in WB, ELISA, IHC, IF, ICC and FACS. The antibody is reactive with Human and Monkey samples.
Catalog No. ABIN7600442
$370.00
Plus shipping costs $50.00
100 μg
Shipping to: United States
Delivery in 4 to 7 Business Days

Quick Overview for TET1 antibody (AA 194-417) (ABIN7600442)

Target

See all TET1 Antibodies
TET1 (Tet Methylcytosine Dioxygenase 1 (TET1))

Reactivity

  • 16
  • 12
  • 4
Human, Monkey

Host

  • 14
  • 7
  • 1
Rabbit

Clonality

  • 14
  • 8
Polyclonal

Conjugate

  • 18
  • 2
  • 1
  • 1
This TET1 antibody is un-conjugated

Application

  • 16
  • 9
  • 6
  • 4
  • 4
  • 4
  • 3
  • 1
  • 1
  • 1
Western Blotting (WB), ELISA, Immunohistochemistry (IHC), Immunofluorescence (IF), Immunocytochemistry (ICC), Flow Cytometry (FACS)
  • Binding Specificity

    • 5
    • 4
    • 2
    • 2
    • 2
    • 2
    • 1
    AA 194-417

    Purpose

    Anti-TET1 Antibody

    Cross-Reactivity (Details)

    No cross-reactivity with other proteins.

    Characteristics

    Anti-TET1 Antibody (ABIN7600442). Tested in ELISA, Flow Cytometry, IF, IHC, ICC, WB applications. This antibody reacts with Human, Monkey. This is a premium antibody that guarantees superior quality, high affinity, and strong signals with minimal background in Western blot applications.

    Purification

    Immunogen affinity purified.

    Immunogen

    E.coli-derived human TET1 recombinant protein (Position: Q194-E417).

    Isotype

    IgG
  • Application Notes

    Western blot, 0.1-0.25 μg/mL, Human, Monkey
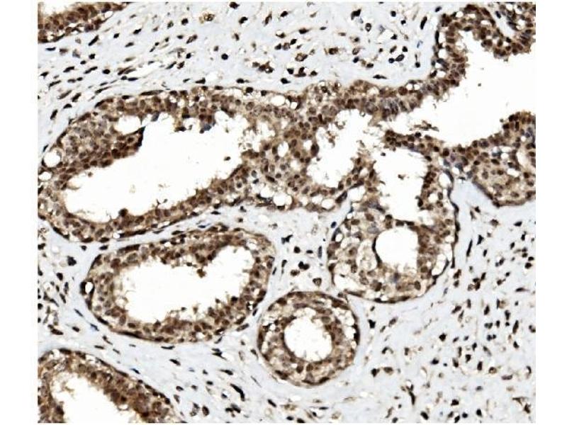
    Immunohistochemistry (Paraffin-embedded Section), 2-5 μg/mL, Human
    Immunocytochemistry/Immunofluorescence, 5 μg/mL, Human
    Flow Cytometry (Fixed), 1-3 μg/1x106 cells, Human
    ELISA, 0.1-0.5 μg/mL, -

    Restrictions

    For Research Use only
  • Format

    Lyophilized

    Reconstitution

    Add 0.2 mL of distilled water will yield a concentration of 500 μg/mL.

    Concentration

    500 μg/mL

    Buffer

    Each vial contains 4 mg Trehalose, 0.9 mg NaCl, 0.2 mg Na2HPO4, 0.01 mg Sodium azide.

    Preservative

    Sodium azide

    Precaution of Use

    This product contains Sodium azide: a POISONOUS AND HAZARDOUS SUBSTANCE which should be handled by trained staff only.

    Storage

    4 °C,-20 °C

    Storage Comment

    Store at -20°C for one year from date of receipt. After reconstitution, at 4°C for one month.
    It can also be aliquotted and stored frozen at -20°C for six months. Avoid repeated freeze-thaw cycles.
  • Target

    TET1 (Tet Methylcytosine Dioxygenase 1 (TET1))

    Alternative Name

    TET1

    Background

    Synonyms: Gap junction alpha-1 protein, Connexin-43, Cx43, Gap junction 43 kDa heart protein, GJA1, GJAL

    Tissue Specificity: Expressed in the heart and fetal cochlea.

    Background: Ten-eleven translocation methylcytosine dioxygenase 1 (TET1) is a member of the TET family of enzymes, in humans it is encoded by the TET1 gene. DNA methylation is an epigenetic mechanism that is important for controlling gene expression. The protein encoded by this gene is a demethylase that belongs to the TET (ten-eleven translocation) family. Members of the TET protein family play a role in the DNA methylation process and gene activation.

    Molecular Weight

    235 kDa

    Gene ID

    80312

    Pathways

    Stem Cell Maintenance, Warburg Effect
You are here:
Chat with us!