Recombinant APP antibody
Quick Overview for Recombinant APP antibody (ABIN7797593)
Target
See all APP AntibodiesAntibody Type
Reactivity
Host
Clonality
Conjugate
Application
Grade
Clone
-
-
Expression System
- HEK-293 Cells
-
Purpose
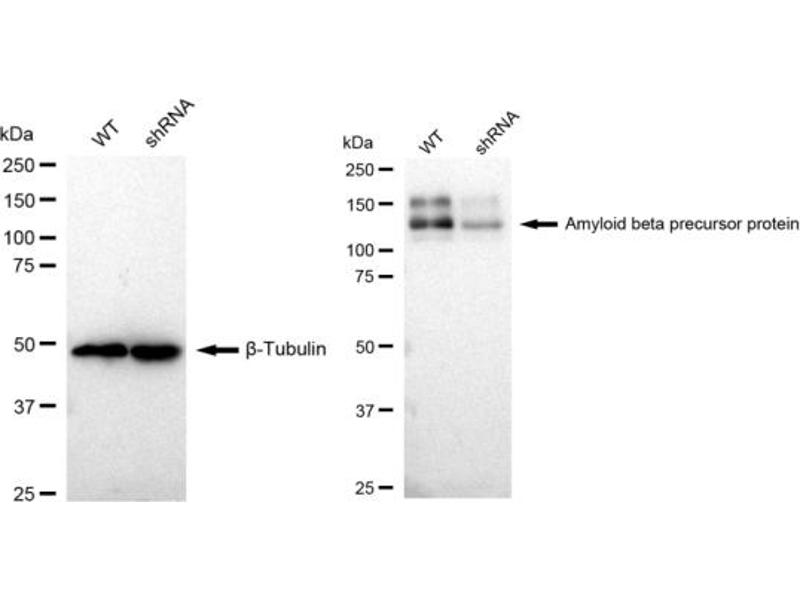
- KD-Validated Amyloid beta precursor protein Recombinant Rabbit mAb
-
Cross-Reactivity
- Mouse, Rat
-
Purification
- Affinity Purified
-
Immunogen
- A synthesized peptide derived from human Amyloid beta A4
-
Isotype
- IgG
-
-
-
-
Application Notes
- Western Blotting (WB): 1:1,000-1:5,000, Flow Cytometry (FCM): 1:200-1:2,000, Immunocytochemistry (ICC): 1:100-1:1,000
-
Comment
-
We assess the antibodies’ specificity and selectivity using knockdown techniques. Our validation approach is straightforward: if an antibody identifies a signal in wild-type (WT) cells, but this signal is absent or noticeably reduced in gene-silenced (KD) cells, we consider the antibody to be highly specific.
-
Restrictions
- For Research Use only
-
-
-
Format
- Liquid
-
Buffer
- PBS (pH 7.4) containing 50% glycerol and 0.02% sodium azide.
-
Preservative
- Sodium azide
-
Precaution of Use
- This product contains Sodium azide: a POISONOUS AND HAZARDOUS SUBSTANCE which should be handled by trained staff only.
-
Storage
- -20 °C
-
Storage Comment
- Store at -20 °C for one year.
-
Expiry Date
- 12 months
-
-
- APP (Amyloid beta (A4) Precursor Protein (APP))
-
Alternative Name
- Amyloid beta precursor protein
-
Molecular Weight
- 87 kDa
-
Gene ID
- 351
-
UniProt
- P05067
-
Pathways
- Caspase Cascade in Apoptosis, EGFR Signaling Pathway, Transition Metal Ion Homeostasis, Skeletal Muscle Fiber Development, Toll-Like Receptors Cascades, Feeding Behaviour
Target
-