MRPS27 antibody
Quick Overview for MRPS27 antibody (ABIN7799435)
Target
See all MRPS27 AntibodiesReactivity
Host
Clonality
Conjugate
Application
Grade
Clone
-
-
Purpose
- KD-Validated MRPS27 Mouse mAb
-
Purification
- Affinity Purified
-
Immunogen
- Recombinant protein of human MRPS27
-
Isotype
- IgG2b
-
-
-
-
Application Notes
- Western Blotting (WB): 1:500-1:2,500, Flow Cytometry (FCM): 1:200-1:2,000
-
Comment
-
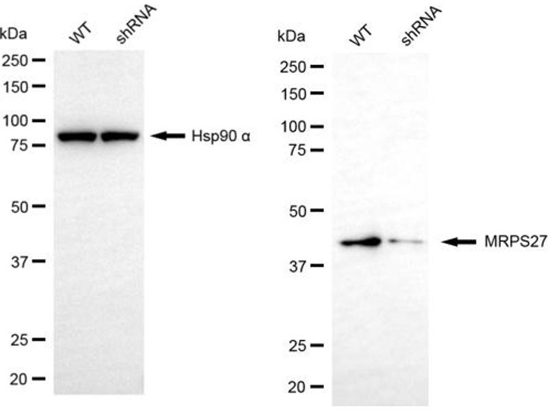
We assess the antibodies’ specificity and selectivity using knockdown techniques. Our validation approach is straightforward: if an antibody identifies a signal in wild-type (WT) cells, but this signal is absent or noticeably reduced in gene-silenced (KD) cells, we consider the antibody to be highly specific.
-
Restrictions
- For Research Use only
-
-
-
Format
- Liquid
-
Buffer
- PBS (pH 7.4) containing 50% glycerol and 0.02% sodium azide.
-
Preservative
- Sodium azide
-
Precaution of Use
- This product contains Sodium azide: a POISONOUS AND HAZARDOUS SUBSTANCE which should be handled by trained staff only.
-
Storage
- -20 °C
-
Storage Comment
- Store at -20 °C for one year.
-
Expiry Date
- 12 months
-
-
- MRPS27 (Mitochondrial Ribosomal Protein S27 (MRPS27))
-
Alternative Name
- MRPS27
-
Molecular Weight
- 48 kDa
-
Gene ID
- 23107
-
UniProt
- Q92552
-
Pathways
- SARS-CoV-2 Protein Interactome
Target
-