PAM antibody
Quick Overview for PAM antibody (ABIN7799761)
Target
See all PAM AntibodiesReactivity
Host
Clonality
Conjugate
Application
-
-
Purpose
- PAM Mouse Oligoclonal Antibody
-
Cross-Reactivity
- Mouse, Rat
-
Purification
- Affinity Purified
-
Immunogen
- Recombinant protein of human PAM
-
Isotype
- IgG
-
-
-
-
Application Notes
- Western Blotting (WB): 1:200-1:1,000, Flow Cytometry (FCM): 1:200-1:2,000
-
Restrictions
- For Research Use only
-
-
-
Format
- Liquid
-
Buffer
- PBS (pH 7.4) containing 50% glycerol and 0.02% sodium azide.
-
Preservative
- Sodium azide
-
Precaution of Use
- This product contains Sodium azide: a POISONOUS AND HAZARDOUS SUBSTANCE which should be handled by trained staff only.
-
Storage
- -20 °C
-
Storage Comment
- Store at -20 °C for one year.
-
Expiry Date
- 12 months
-
-
- PAM (Peptidylglycine alpha-Amidating Monooxygenase (PAM))
-
Alternative Name
- PAM
-
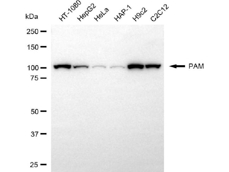
Molecular Weight
- 108 kDa
-
Gene ID
- 5066
-
UniProt
- P19021
Target
-