Recombinant PSMC4 antibody
Quick Overview for Recombinant PSMC4 antibody (ABIN7799941)
Target
See all PSMC4 AntibodiesAntibody Type
Reactivity
Host
Clonality
Conjugate
Application
Clone
-
-
Expression System
- HEK-293 Cells
-
Purpose
- PSMC4 Recombinant Rabbit mAb
-
Cross-Reactivity
- Mouse, Rat
-
Purification
- Affinity Purified
-
Immunogen
- A synthesized peptide derived from human Tbp7
-
Isotype
- IgG
-
-
-
-
Application Notes
- Western Blotting (WB): 1:1,000-1:5,000, Flow Cytometry (FCM): 1:200-1:2,000, Immunocytochemistry (ICC): 1:100-1:1,000
-
Restrictions
- For Research Use only
-
-
-
Format
- Liquid
-
Buffer
- PBS (pH 7.4) containing 50% glycerol and 0.02% sodium azide.
-
Preservative
- Sodium azide
-
Precaution of Use
- This product contains Sodium azide: a POISONOUS AND HAZARDOUS SUBSTANCE which should be handled by trained staff only.
-
Storage
- -20 °C
-
Storage Comment
- Store at -20 °C for one year.
-
Expiry Date
- 12 months
-
-
- PSMC4 (Proteasome (Prosome, Macropain) 26S Subunit, ATPase, 4 (PSMC4))
-
Alternative Name
- PSMC4
-
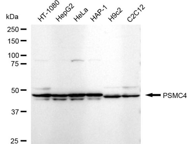
Molecular Weight
- 47 kDa
-
Gene ID
- 5704
-
UniProt
- P43686
-
Pathways
- Mitotic G1-G1/S Phases, DNA Replication, Synthesis of DNA, Ubiquitin Proteasome Pathway
Target
-