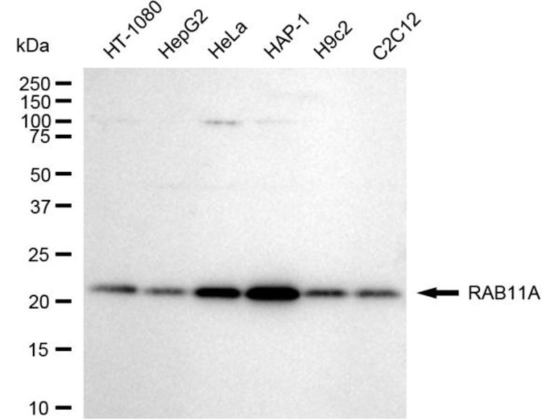
Recombinant RAB11A antibody
Quick Overview for Recombinant RAB11A antibody (ABIN7800089)
Target
See all RAB11A AntibodiesAntibody Type
Reactivity
Host
Clonality
Conjugate
Application
Clone
-
-
Expression System
- HEK-293 Cells
-
Purpose
- RAB11A Recombinant Rabbit mAb
-
Cross-Reactivity
- Mouse, Rat
-
Purification
- Affinity Purified
-
Immunogen
- A synthesized peptide derived from human RAB11A
-
Isotype
- IgG
-
-
-
-
Application Notes
- Western Blotting (WB): 1:1,000-1:5,000, Flow Cytometry (FCM): 1:200-1:2,000, Immunocytochemistry (ICC): 1:100-1:1,000
-
Restrictions
- For Research Use only
-
-
-
Format
- Liquid
-
Buffer
- PBS (pH 7.4) containing 50% glycerol and 0.02% sodium azide.
-
Preservative
- Sodium azide
-
Precaution of Use
- This product contains Sodium azide: a POISONOUS AND HAZARDOUS SUBSTANCE which should be handled by trained staff only.
-
Storage
- -20 °C
-
Storage Comment
- Store at -20 °C for one year.
-
Expiry Date
- 12 months
-
-
- RAB11A (RAB11A, Member RAS Oncogene Family (RAB11A))
-
Alternative Name
- RAB11A
-
Molecular Weight
- 24 kDa
-
Gene ID
- 8766
-
UniProt
- P62491
-
Pathways
- Regulation of Cell Size, Thromboxane A2 Receptor Signaling, Regulation of long-term Neuronal Synaptic Plasticity
Target
-