Phone:
+1 877 302 8632
Fax:
+1 888 205 9894 (Toll-free)
E-Mail:
orders@antibodies-online.com

Recombinant RPL13 antibody

This Rabbit Monoclonal antibody specifically detects RPL13 in WB, FACS and IF (p). It exhibits reactivity toward Human.
Catalog No. ABIN7800218
$598.92
Plus shipping costs $50.00
100 μL
Shipping to: United States
Delivery in 3 to 5 Business Days

Quick Overview for Recombinant RPL13 antibody (ABIN7800218)

Target

See all RPL13 Antibodies
RPL13 (Ribosomal Protein L13 (RPL13))

Antibody Type

Recombinant Antibody

Reactivity

  • 26
  • 20
  • 7
  • 5
  • 3
  • 3
  • 2
  • 2
  • 2
  • 2
  • 2
  • 2
  • 2
  • 1
Human

Host

  • 24
  • 2
Rabbit

Clonality

  • 14
  • 12
Monoclonal

Conjugate

  • 17
  • 1
  • 1
  • 1
  • 1
  • 1
  • 1
  • 1
  • 1
  • 1
This RPL13 antibody is un-conjugated

Application

  • 26
  • 17
  • 15
  • 10
  • 5
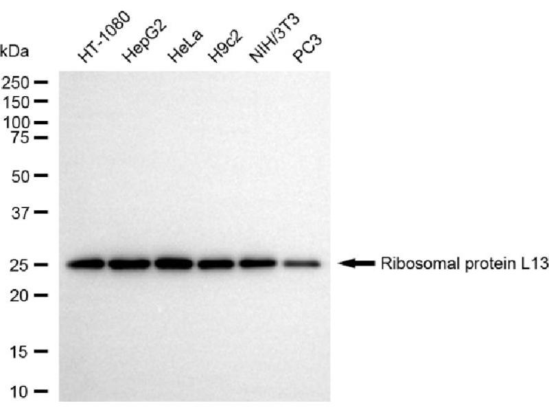
Western Blotting (WB), Flow Cytometry (FACS), Immunofluorescence (Paraffin-embedded Sections) (IF (p))

Grade

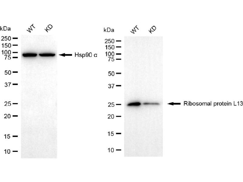
KD Validated

Clone

25GB2610
  • Expression System

    HEK-293 Cells

    Purpose

    KD-Validated Ribosomal Protein L13 Recombinant Rabbit mAb

    Cross-Reactivity

    Mouse, Rat

    Purification

    Affinity Purified

    Immunogen

    A synthesized peptide derived from human RPL13

    Isotype

    IgG
  • Application Notes

    Western blotting (WB): 1:1,000-1:5,000, Flow Cytometry (FCM): 1:200-1:2,000, Immunohistochemistry-Paraffin (IHC-P): 1:100-1:200

    Comment

    We assess the antibodies’ specificity and selectivity using knockdown techniques. Our validation approach is straightforward: if an antibody identifies a signal in wild-type (WT) cells, but this signal is absent or noticeably reduced in gene-silenced (KD) cells, we consider the antibody to be highly specific.

    Restrictions

    For Research Use only
  • Format

    Liquid

    Buffer

    PBS (pH 7.4) containing 50% glycerol and 0.02% sodium azide.

    Preservative

    Sodium azide

    Precaution of Use

    This product contains Sodium azide: a POISONOUS AND HAZARDOUS SUBSTANCE which should be handled by trained staff only.

    Storage

    -20 °C

    Storage Comment

    Store at -20 °C for one year.

    Expiry Date

    12 months
  • Target

    RPL13 (Ribosomal Protein L13 (RPL13))

    Alternative Name

    Ribosomal Protein L13

    Molecular Weight

    24 kDa

    Gene ID

    6137

    UniProt

    P26373
You are here:
Chat with us!