AIMP2 antibody (AA 201-300)
Quick Overview for AIMP2 antibody (AA 201-300) (ABIN741300)
Target
See all AIMP2 AntibodiesReactivity
Host
Clonality
Conjugate
Application
-
-
Binding Specificity
- AA 201-300
-
Cross-Reactivity
- Mouse, Rat
-
Predicted Reactivity
- Human,Cow,Pig,Rabbit
-
Purification
- Purified by Protein A.
-
Immunogen
- KLH conjugated synthetic peptide derived from human AIMP2
-
Isotype
- IgG
-
-
-
-
Application Notes
-
WB 1:300-5000
ELISA 1:500-1000
IHC-P 1:200-400
IHC-F 1:100-500
IF(IHC-P) 1:50-200
IF(IHC-F) 1:50-200
IF(ICC) 1:50-200 -
Restrictions
- For Research Use only
-
-
-
Format
- Liquid
-
Concentration
- 1 μg/μL
-
Buffer
- 0.01M TBS( pH 7.4) with 1 % BSA, 0.02 % Proclin300 and 50 % Glycerol.
-
Preservative
- ProClin
-
Precaution of Use
- This product contains ProClin: a POISONOUS AND HAZARDOUS SUBSTANCE, which should be handled by trained staff only.
-
Storage
- 4 °C,-20 °C
-
Storage Comment
- Shipped at 4°C. Store at -20°C for one year. Avoid repeated freeze/thaw cycles.
-
Expiry Date
- 12 months
-
-
-
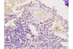
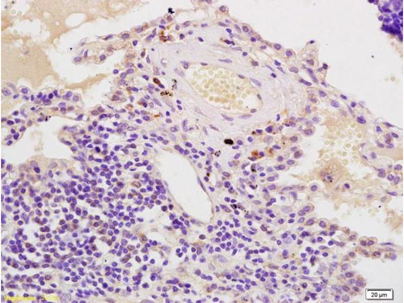
: "Pinellia ternata Attenuates Mucus Secretion and Airway Inflammation after Inhaled Corticosteroid Withdrawal in COPD Rats." in: The American journal of Chinese medicine, Vol. 44, Issue 5, pp. 1027-41, (2016) (PubMed).
-
-
- AIMP2 (Aminoacyl tRNA Synthetase Complex-Interacting Multifunctional Protein 2 (AIMP2))
-
Alternative Name
- AIMP2
-
Background
-
Synonyms: P38, JTV1, JTV-1, PRO0992, Aminoacyl tRNA synthase complex-interacting multifunctional protein 2, Multisynthase complex auxiliary component p38, Protein JTV-1, AIMP2
Background: Required for assembly and stability of the aminoacyl-tRNA synthase complex. Mediates ubiquitination and degradation of FUBP1, a transcriptional activator of MYC, leading to MYC down-regulation which is required for aveolar type II cell differentiation. Blocks MDM2-mediated ubiquitination and degradation of p53/TP53. Functions as a proapoptotic factor.
-
Gene ID
- 7965
-
UniProt
- Q13155
Target
-