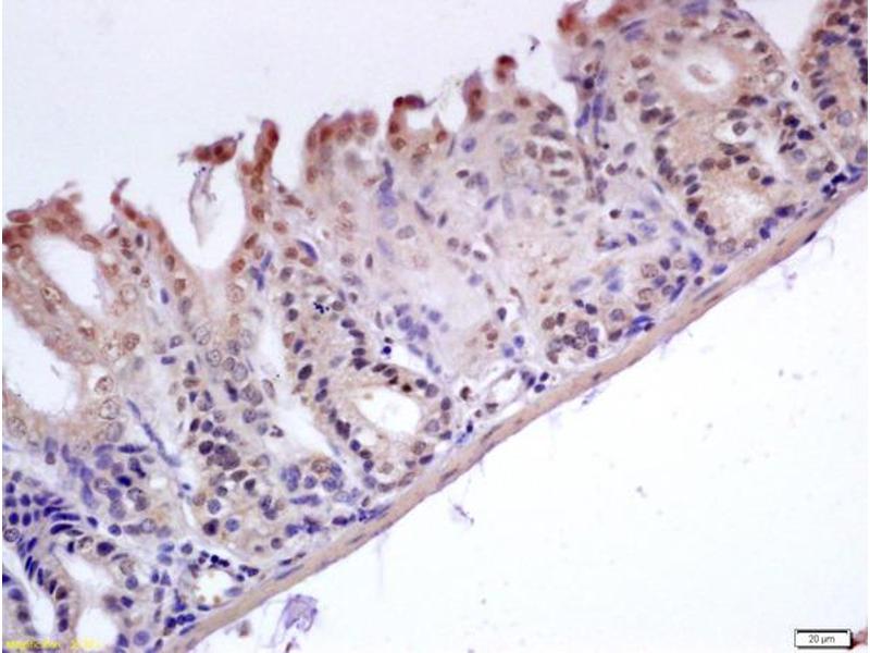
GADD45B antibody (AA 81-160)
Quick Overview for GADD45B antibody (AA 81-160) (ABIN759596)
Target
See all GADD45B AntibodiesReactivity
Host
Clonality
Conjugate
Application
-
-
Binding Specificity
- AA 81-160
-
Cross-Reactivity
- Human, Mouse
-
Predicted Reactivity
- Rat,Dog,Cow,Pig,Horse,Guinea Pig
-
Purification
- Purified by Protein A.
-
Immunogen
- KLH conjugated synthetic peptide derived from human GADD45B.
-
Isotype
- IgG
-
-
-
-
Application Notes
-
WB 1:300-5000
ELISA 1:500-1000
FCM 1:20-100
IHC-P 1:200-400
IHC-F 1:100-500
IF(IHC-P) 1:50-200
IF(IHC-F) 1:50-200
IF(ICC) 1:50-200 -
Restrictions
- For Research Use only
-
-
-
Format
- Liquid
-
Concentration
- 1 μg/μL
-
Buffer
- 0.01M TBS( pH 7.4) with 1 % BSA, 0.02 % Proclin300 and 50 % Glycerol.
-
Preservative
- ProClin
-
Precaution of Use
- This product contains ProClin: a POISONOUS AND HAZARDOUS SUBSTANCE, which should be handled by trained staff only.
-
Storage
- 4 °C,-20 °C
-
Storage Comment
- Shipped at 4°C. Store at -20°C for one year. Avoid repeated freeze/thaw cycles.
-
Expiry Date
- 12 months
-
-
-
: "Neuronal Rac1 is required for learning-evoked neurogenesis." in: The Journal of neuroscience : the official journal of the Society for Neuroscience, Vol. 33, Issue 30, pp. 12229-41, (2013) (PubMed).
-
-
- GADD45B (Growth Arrest and DNA-Damage-Inducible, beta (GADD45B))
-
Alternative Name
- GADD45B
-
Background
-
Synonyms: MYD118, GADD45BETA, Growth arrest and DNA damage-inducible protein GADD45 beta, Myeloid differentiation primary response protein MyD118, Negative growth regulatory protein MyD118, GADD45B
Background: Involved in the regulation of growth and apoptosis. Mediates activation of stress-responsive MTK1/MEKK4 MAPKKK.
-
Gene ID
- 4616
-
UniProt
- O75293
-
Pathways
- Cell Division Cycle
Target
-