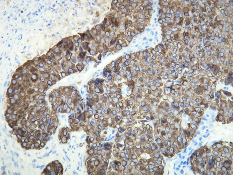
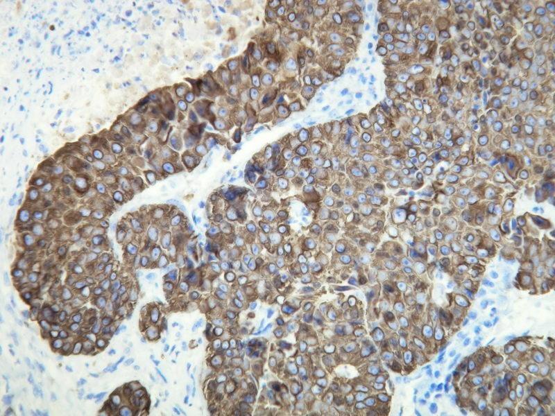
Cytokeratin 18 antibody (C-Term)
Quick Overview for Cytokeratin 18 antibody (C-Term) (ABIN870573)
Target
See all Cytokeratin 18 (KRT18) AntibodiesReactivity
Host
Clonality
Conjugate
Application
Clone
-
-
Binding Specificity
- AA 412-429, C-Term
-
Purpose
- Anti-Cytokeratin 18
-
Specificity
- Cytokeratin 18
-
Immunogen
- Peptide derived from C-terminal region of human cytokeratin 18. Antibody recognizes the epitope between Arg412 - Arg429.
-
Isotype
- IgG
-
-
-
-
Application Notes
- Ready to use antibody dilution. Directly use for application
-
Restrictions
- For Research Use only
-
-
-
Format
- Liquid
-
Buffer
- 20 mM Tris-HCI, pH 8.0, Stabilizer: 20 mg/mL BSA, Preservative: 0.05 % sodium azide
-
Preservative
- Sodium azide
-
Precaution of Use
- This product contains Sodium azide: a POISONOUS AND HAZARDOUS SUBSTANCE which should be handled by trained staff only.
-
Storage
- 4 °C
-
Storage Comment
- +4˚C, Do not freeze!
-
-
- Cytokeratin 18 (KRT18) (Keratin 18 (KRT18))
-
Alternative Name
- Cytokeratin 18
-
Background
- Immunohistochemistry of Cytokeratin 18 is used for diagnostics of cancer in glandular epithelia. Discrepancies in expression are detected in several types of carcinomas: colon, respiratory, urogenital, endocrine and exocrine tissues.
-
UniProt
- P05783
-
Pathways
- Apoptosis, Caspase Cascade in Apoptosis
Target
-