Phone:
+1 877 302 8632
Fax:
+1 888 205 9894 (Toll-free)
E-Mail:
orders@antibodies-online.com

TARS antibody

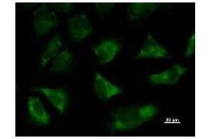
The Mouse Monoclonal anti-TARS antibody (Clone TARSF8H3) (ABIN932184) specifically detects TARS in WB, ICC, FACS and DB. The antibody is reactive with Human samples.
Catalog No. ABIN932184
$1,700.63
Plus shipping costs $50.00
100 μg
Shipping to: United States
Delivery in 16 to 22 Business Days

Quick Overview for TARS antibody (ABIN932184)

Target

See all TARS Antibodies
TARS (threonyl-tRNA Synthetase (TARS))

Reactivity

  • 21
  • 7
  • 6
  • 4
  • 2
  • 2
  • 2
  • 2
  • 2
  • 1
  • 1
  • 1
  • 1
  • 1
Human

Host

  • 16
  • 5
Mouse

Clonality

  • 17
  • 4
Monoclonal

Conjugate

  • 21
This TARS antibody is un-conjugated

Application

  • 21
  • 11
  • 6
  • 5
  • 4
  • 4
  • 3
  • 2
  • 1
  • 1
Western Blotting (WB), Immunocytochemistry (ICC), Flow Cytometry (FACS), Dot Blot (DB)

Clone

TARSF8H3
  • Cross-Reactivity

    Human

    Cross-Reactivity (Details)

    Other species not studied.

    Purification

    Protein G affinity chromatography

    Immunogen

    TARS antibody was raised in mouse using recombinant Human Threonyl-Trna Synthetase

    Isotype

    IgG2a
  • Application Notes

    WB: 0.2-2 µg/mL, FC: 0.5-2 µg/sample, ICC: 2-100 µg/mL
    Optimal conditions should be determined by the investigator.

    Restrictions

    For Research Use only
  • Concentration

    Lot specific

    Buffer

    TARS antibody in PBS (3.0 mM KCl, 1.5 mM KH2 PO4 , 140 mM NaCl, 8.0 mM Na2 HPO4 (pH 7.4)) containing 1 % bovine serum albumin (BSA) and 0.05 % sodium azide (NaN3 ).

    Preservative

    Sodium azide

    Precaution of Use

    This product contains Sodium Azide: a POISONOUS AND HAZARDOUS SUBSTANCE, which should be handled by trained staff only.

    Handling Advice

    Avoid repeated freeze/thaw cycles.
    Dilute only prior to immediate use.

    Storage

    4 °C/-20 °C

    Storage Comment

    Store at 2-8 °C for up to one year. We recommend long term storage at -20 °C.
  • Target

    TARS (threonyl-tRNA Synthetase (TARS))

    Alternative Name

    TARS

    Background

    Aminoacyl-tRNA synthetases catalyze the aminoacylation of tRNA by their cognate amino acid. Because of their central role in linking amino acids with nucleotide triplets contained in tRNAs, aminoacyl-tRNA synthetases are thought to be among the first proteins that appeared in evolution. Threonyl-tRNA synthetase belongs to the class-II aminoacyl-tRNA synthetase family. Synonyms: Monoclonal TARS antibody, Anti-TARS antibody, Threonyl-tRNA synthetase antibody, ThrRS antibody, MGC9344 antibody.
You are here:
Chat with us!