Phone:
+1 877 302 8632
Fax:
+1 888 205 9894 (Toll-free)
E-Mail:
orders@antibodies-online.com

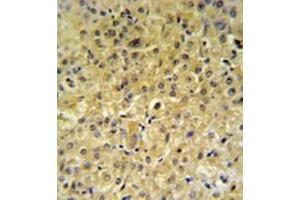
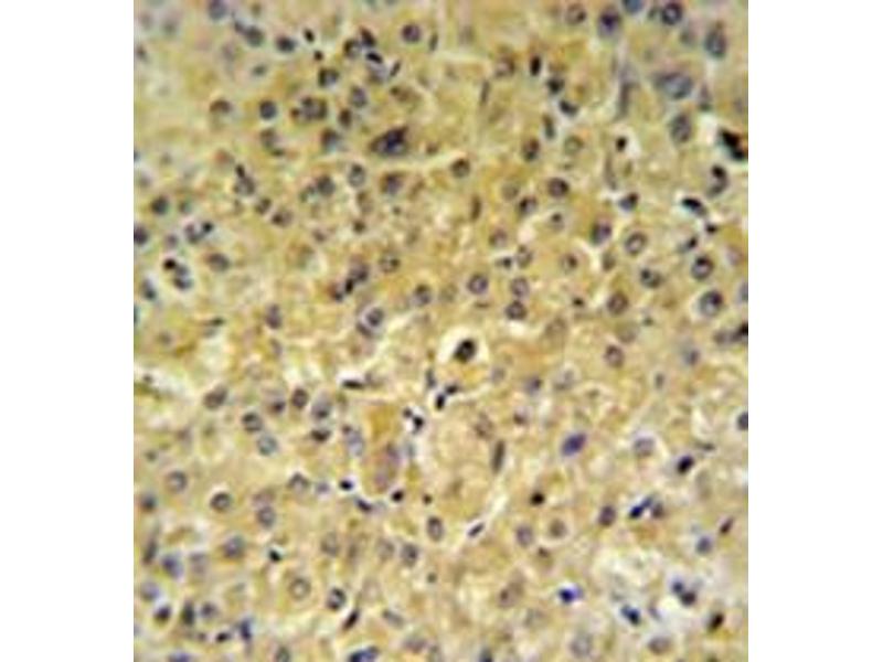
INSC antibody (Middle Region)

The Rabbit Polyclonal anti-INSC antibody (ABIN952908) specifically detects INSC in WB and IHC (p). The antibody is reactive with Human samples.
Catalog No. ABIN952908
$846.00
Plus shipping costs $50.00
0.4 mL
Shipping to: United States
Delivery in 1 to 2 Business Days

Quick Overview for INSC antibody (Middle Region) (ABIN952908)

Target

See all INSC Antibodies
INSC (Inscuteable Homolog (INSC))

Reactivity

  • 45
  • 19
  • 2
  • 1
  • 1
  • 1
  • 1
  • 1
Human

Host

  • 45
Rabbit

Clonality

  • 45
Polyclonal

Conjugate

  • 14
  • 4
  • 3
  • 3
  • 2
  • 2
  • 1
  • 1
  • 1
  • 1
  • 1
  • 1
  • 1
  • 1
  • 1
  • 1
  • 1
  • 1
  • 1
  • 1
  • 1
  • 1
  • 1
This INSC antibody is un-conjugated

Application

  • 22
  • 20
  • 19
  • 13
  • 13
  • 7
  • 3
  • 2
  • 1
Western Blotting (WB), Immunohistochemistry (Paraffin-embedded Sections) (IHC (p))
  • Binding Specificity

    • 15
    • 8
    • 7
    • 4
    • 2
    • 1
    • 1
    • 1
    AA 416-446, Middle Region

    Specificity

    This antibody recognizes Human INSC (Center).

    Purification

    Protein A column, followed by peptide affinity purification

    Immunogen

    KLH conjugated synthetic peptide between 416~446 amino acids from the Central region of Human INSC

    Isotype

    Ig Fraction
  • Application Notes

    Optimal working dilution should be determined by the investigator.

    Restrictions

    For Research Use only
  • Format

    Liquid

    Concentration

    0.25 mg/mL

    Buffer

    PBS containing 0.09 % (W/V) Sodium Azide as preservative

    Preservative

    Sodium azide

    Precaution of Use

    This product contains sodium azide: a POISONOUS AND HAZARDOUS SUBSTANCE which should be handled by trained staff only.

    Handling Advice

    Avoid repeated freezing and thawing.

    Storage

    4 °C/-20 °C

    Storage Comment

    Store undiluted at 2-8 °C for one month or (in aliquots) at -20 °C for longer.
  • Target

    INSC (Inscuteable Homolog (INSC))

    Alternative Name

    INSC

    Background

    In Drosophila, neuroblasts divide asymmetrically into another neuroblast at the apical side and a smaller ganglion mother cell on the basal side. Cell polarization is precisely regulated by 2 apically localized multiprotein signaling complexes that are tethered by Inscuteable, which regulates their apical localization (Izaki et al., 2006 [PubMed 16458856]).Synonyms: Protein inscuteable homolog

    Molecular Weight

    63469 Da

    Gene ID

    387755

    NCBI Accession

    NP_001027024
You are here:
Chat with us!