Phone:
+1 877 302 8632
Fax:
+1 888 205 9894 (Toll-free)
E-Mail:
orders@antibodies-online.com

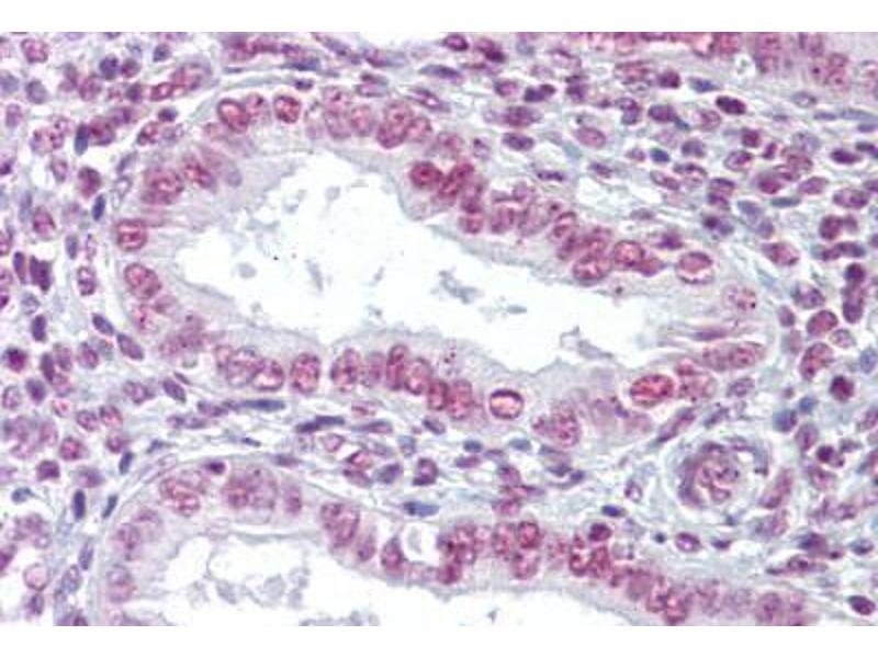
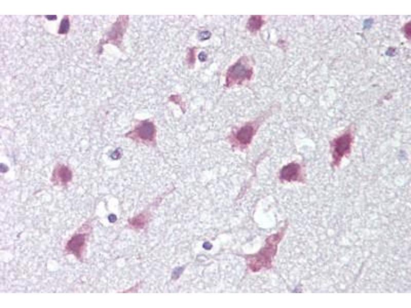
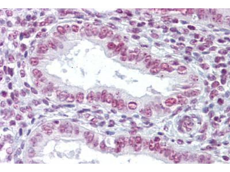
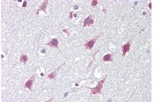
ZMYM3 antibody (C-Term)

The Rabbit Polyclonal anti-ZMYM3 antibody is suitable to detect ZMYM3 in samples from Human and Mouse. It has been validated for WB, IHC and IHC (p).
Catalog No. ABIN959705
$476.30
Plus shipping costs $50.00
50 μg
Shipping to: United States
Delivery in 11 to 15 Business Days

Quick Overview for ZMYM3 antibody (C-Term) (ABIN959705)

Target

See all ZMYM3 Antibodies
ZMYM3 (Zinc Finger Protein 261 (ZMYM3))

Reactivity

  • 20
  • 10
  • 6
  • 5
  • 5
  • 5
  • 5
  • 3
  • 3
  • 2
Human, Mouse

Host

  • 18
  • 2
Rabbit

Clonality

  • 18
  • 2
Polyclonal

Conjugate

  • 16
  • 2
  • 1
  • 1
This ZMYM3 antibody is un-conjugated

Application

  • 13
  • 8
  • 6
  • 4
  • 1
  • 1
  • 1
  • 1
  • 1
  • 1
  • 1
Western Blotting (WB), Immunohistochemistry (IHC), Immunohistochemistry (Paraffin-embedded Sections) (IHC (p))
  • Binding Specificity

    • 5
    • 4
    • 3
    • 2
    • 1
    • 1
    C-Term

    Specificity

    At least three isoforms of ZMYM3 are known to exist, this antibody will detect all three. ZMYM3 antibody is predicted to not cross-react with other ZMYM protein family members.

    Purification

    Immunoaffinity purified

    Isotype

    IgG
  • Application Notes

    Approved: IHC, IHC-P (10 μg/mL), WB (1 - 2 μg/mL)

    Comment

    Target Species of Antibody: Human

    Restrictions

    For Research Use only
  • Format

    Liquid

    Concentration

    Lot specific

    Buffer

    PBS, 0.02 % sodium azide

    Preservative

    Sodium azide

    Precaution of Use

    This product contains Sodium azide: a POISONOUS AND HAZARDOUS SUBSTANCE which should be handled by trained staff only.

    Handling Advice

    avoid freeze thaw cycles. Store undiluted.

    Storage

    4 °C,-20 °C

    Storage Comment

    Store at 4°C for 3 months and -20°C, stable for up to 1 year. Avoid repeated freeze-thaw cycles.

    Expiry Date

    12 months
  • Target

    ZMYM3 (Zinc Finger Protein 261 (ZMYM3))

    Alternative Name

    ZMYM3

    Background

    Name/Gene ID: ZMYM3

    Synonyms: ZMYM3, DXS6673E, KIAA0385, MYM, Zinc finger protein 261, ZNF261, Zinc finger MYM-type protein 3, Zinc finger, MYM-type 3, XFIM, ZNF198L2

    Gene ID

    9203

    UniProt

    Q14202
You are here:
Chat with us!