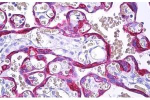
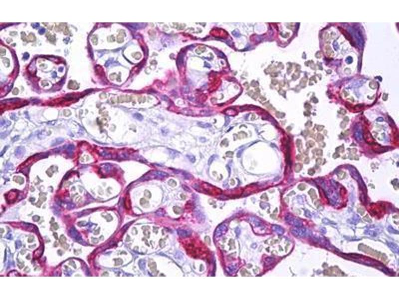
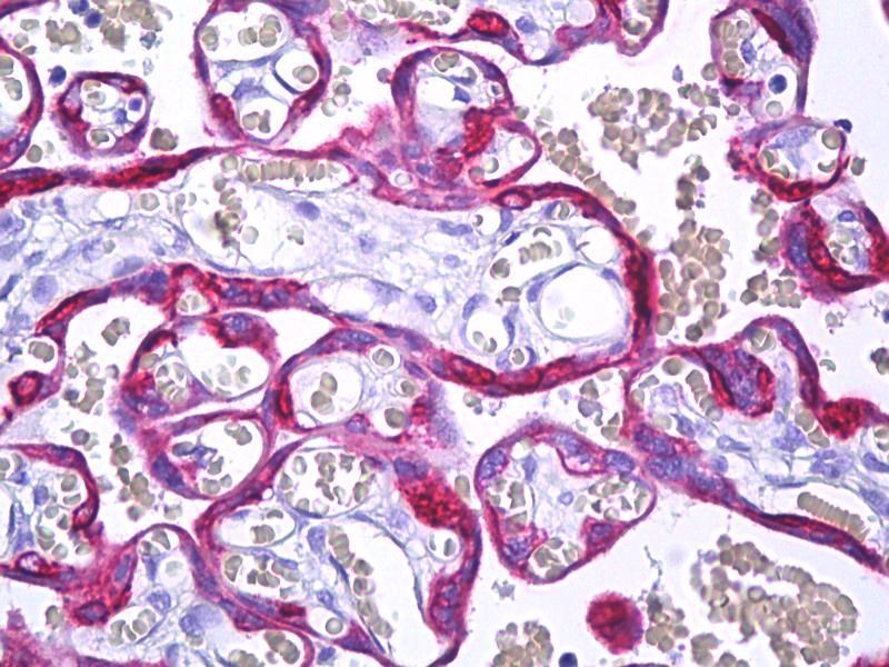
MFGE8 antibody
Quick Overview for MFGE8 antibody (ABIN960988)
Target
See all MFGE8 AntibodiesReactivity
Host
Clonality
Conjugate
Application
Clone
-
-
Specificity
- Recognizes HMFG at ~40-45kD.
-
Purification
- Protein A purified
-
Immunogen
- HMFG Membrane tissue/cell preparation.
-
Isotype
- IgG1
-
-
-
-
Application Notes
-
Approved: ICC, IHC, IHC-Fr, IHC-P (10 μg/mL), WB
Usage: Suitable for use in Western blot, Immunocytochemistry (methanol/acetone fixed cultured human epithelial cells) and Immunohistochemistry (frozen sections and formalin fixed paraffin embedded tissues). -
Comment
-
Target Species of Antibody: Human
-
Restrictions
- For Research Use only
-
-
-
Format
- Liquid
-
Concentration
- Lot specific
-
Buffer
- PBS, 10 mM sodium azide. Sourced in TCS.
-
Preservative
- Sodium azide
-
Precaution of Use
- This product contains Sodium azide: a POISONOUS AND HAZARDOUS SUBSTANCE which should be handled by trained staff only.
-
Handling Advice
- Avoid repeated freezing and thawing
-
Storage
- 4 °C,-20 °C
-
Storage Comment
- Short term: 4°C. Long term: Store at -20°C. Avoid freeze-thaw cycles.
-
-
- MFGE8 (Milk Fat Globule-EGF Factor 8 Protein (MFGE8))
-
Alternative Name
- MFGE8 / MFG-E8
-
Background
-
Name/Gene ID: MFGE8
Synonyms: MFGE8, Breast epithelial antigen BA46, EDIL1, HP47, Lactadherin, Medin, MFGM, Milk fat globule-EGF factor 8, HsT19888, OAcGD3S, SPAG10, Sperm associated antigen 10, MFG-E8, SED1, Sperm surface protein hP47, BA46, HMFG -
Gene ID
- 4240
-
UniProt
- Q08431
-
Pathways
- SARS-CoV-2 Protein Interactome
Target
-