MSK1 antibody
Quick Overview for MSK1 antibody (ABIN961308)
Target
See all MSK1 (RPS6KA5) AntibodiesReactivity
Host
Clonality
Conjugate
Application
Clone
-
-
Specificity
- Human RPS6KA5 / MSK1
-
Purification
- Purified from ascites by Protein A
-
Immunogen
-
Recombinant protein
Type of Immunogen: Recombinant protein -
Isotype
- IgG2a kappa
-
-
-
-
Application Notes
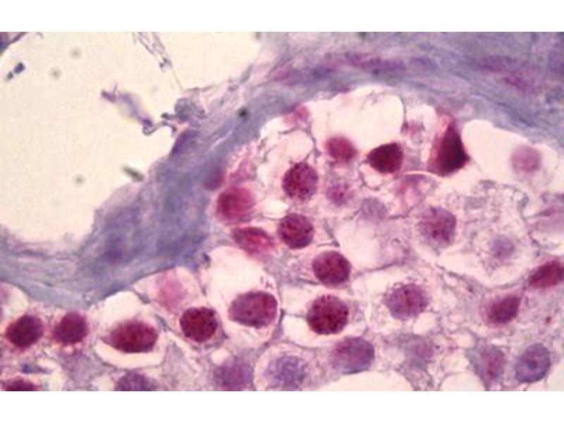
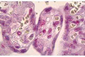
- Approved: ELISA, IHC, IHC-P (10 μg/mL)
-
Comment
-
Target Species of Antibody: Human
-
Restrictions
- For Research Use only
-
-
-
Format
- Liquid
-
Concentration
- Lot specific
-
Buffer
- PBS, pH 7.4
-
Handling Advice
- avoid freeze thaw cycles.
-
Storage
- 4 °C,-20 °C
-
Storage Comment
- Short term 4°C, long term aliquot and store at -20°C, avoid freeze-thaw cycles.
-
-
- MSK1 (RPS6KA5) (Ribosomal Protein S6 Kinase, 90kDa, Polypeptide 5 (RPS6KA5))
-
Alternative Name
- RPS6KA5 / MSK1
-
Background
-
Name/Gene ID: RPS6KA5
Subfamily: MSK
Family: Protein Kinase
Synonyms: RPS6KA5, MSPK1, RLPK, MSK1, RSK-like protein kinase, RSKL, S6K-alpha-5 -
Gene ID
- 9252
-
UniProt
- O75582
-
Pathways
- MAPK Signaling, EGFR Signaling Pathway, Neurotrophin Signaling Pathway, Activation of Innate immune Response, Toll-Like Receptors Cascades
Target
-