MFGE8 antibody
Quick Overview for MFGE8 antibody (ABIN961592)
Target
See all MFGE8 AntibodiesReactivity
Host
Clonality
Conjugate
Application
Clone
-
-
Specificity
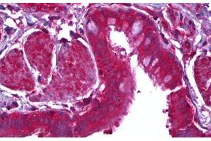
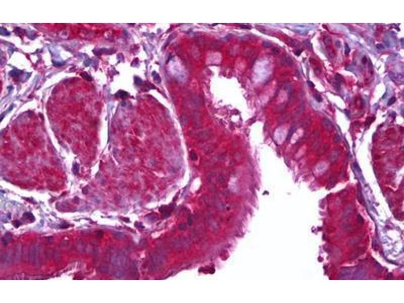
- Human MFGE8 / MFG-E8
-
Purification
- Purified from ascites by Protein A
-
Immunogen
-
Recombinant protein encoding aa 61-170 of NP_006919
Type of Immunogen: Recombinant protein -
Isotype
- IgG2a kappa
-
-
-
-
Application Notes
-
Approved: ELISA, IHC, IHC-P (5 μg/mL), IP, WB
Usage: Sandwich ELISA: Recombinant protein. Western Blot: Recombinant protein. -
Comment
-
Target Species of Antibody: Human
-
Restrictions
- For Research Use only
-
-
-
Format
- Liquid
-
Concentration
- Lot specific
-
Buffer
- PBS, pH 7.4
-
Handling Advice
- avoid freeze thaw cycles.
-
Storage
- 4 °C,-20 °C
-
Storage Comment
- Short term 4°C, long term aliquot and store at -20°C, avoid freeze-thaw cycles.
-
-
- MFGE8 (Milk Fat Globule-EGF Factor 8 Protein (MFGE8))
-
Alternative Name
- MFGE8 / MFG-E8
-
Background
-
Name/Gene ID: MFGE8
Synonyms: MFGE8, Breast epithelial antigen BA46, EDIL1, HP47, Lactadherin, Medin, MFGM, Milk fat globule-EGF factor 8, HsT19888, OAcGD3S, SPAG10, Sperm associated antigen 10, MFG-E8, SED1, Sperm surface protein hP47, BA46, HMFG -
Gene ID
- 4240
-
NCBI Accession
- NP_006919
-
UniProt
- Q08431
-
Pathways
- SARS-CoV-2 Protein Interactome
Target
-