Phone:
+1 877 302 8632
Fax:
+1 888 205 9894 (Toll-free)
E-Mail:
orders@antibodies-online.com

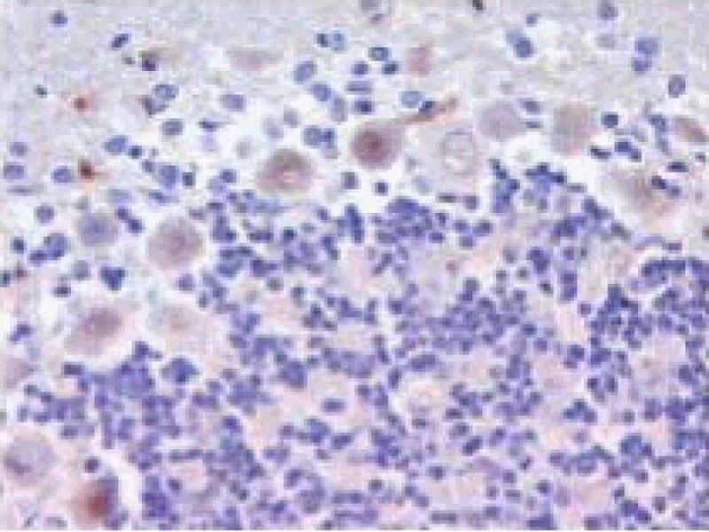
NINJ1 antibody (AA 1-152)

Cited in 3+ publications. The Mouse Monoclonal anti-NINJ1 antibody (Clone 50-Ninjurin) (ABIN968172) specifically detects NINJ1 in WB, IHC, IF and IP. The antibody is reactive with Human, Mouse, Rat and Dog samples.
Catalog No. ABIN968172
Shipping to: United States
Contact our Customer Service for availability and price in your country. Contact Info

Quick Overview for NINJ1 antibody (AA 1-152) (ABIN968172)

Target

See all NINJ1 Antibodies
NINJ1 (Ninjurin 1 (NINJ1))

Reactivity

  • 25
  • 19
  • 8
  • 4
  • 3
  • 3
  • 1
  • 1
  • 1
  • 1
Human, Mouse, Rat, Dog

Host

  • 33
  • 3
Mouse

Clonality

  • 35
  • 1
Monoclonal

Conjugate

  • 14
  • 3
  • 2
  • 2
  • 1
  • 1
  • 1
  • 1
  • 1
  • 1
  • 1
  • 1
  • 1
  • 1
  • 1
  • 1
  • 1
  • 1
  • 1
This NINJ1 antibody is un-conjugated

Application

  • 28
  • 13
  • 13
  • 12
  • 4
  • 3
  • 3
  • 2
  • 1
Western Blotting (WB), Immunohistochemistry (IHC), Immunofluorescence (IF), Immunoprecipitation (IP)

Clone

50-Ninjurin
  • Binding Specificity

    • 20
    • 3
    • 2
    • 2
    • 1
    • 1
    • 1
    • 1
    AA 1-152

    Cross-Reactivity

    Dog (Canine), Rat (Rattus), Mouse (Murine)

    Characteristics

    1. Since applications vary, each investigator should titrate the reagent to obtain optimal results.
    2. Please refer to us for technical protocols.
    3. Source of all serum proteins is from USDA inspected abattoirs located in the United States.
    4. Caution: Sodium azide yields highly toxic hydrazoic acid under acidic conditions. Dilute azide compounds in running water before discarding to avoid accumulation of potentially explosive deposits in plumbing.

    Purification

    The monoclonal antibody was purified from tissue culture supernatant or ascites by affinity chromatography.

    Immunogen

    Human Ninjurin aa. 1-152

    Isotype

    IgG2a
  • Comment

    Related Products: ABIN968587, ABIN967389

    Restrictions

    For Research Use only
  • Format

    Liquid

    Concentration

    250 μg/mL

    Buffer

    Aqueous buffered solution containing BSA, glycerol, and ≤0.09 % sodium azide.

    Preservative

    Sodium azide

    Precaution of Use

    This product contains Sodium azide: a POISONOUS AND HAZARDOUS SUBSTANCE which should be handled by trained staff only.

    Storage

    -20 °C

    Storage Comment

    Store undiluted at -20° C.
  • Chen, Coustan-Smith, Suzuki, Neale, Mihara, Pui, Campana: "Identification of novel markers for monitoring minimal residual disease in acute lymphoblastic leukemia." in: Blood, Vol. 97, Issue 7, pp. 2115-20, (2001) (PubMed).

    Araki, Zimonjic, Popescu, Milbrandt: "Mechanism of homophilic binding mediated by ninjurin, a novel widely expressed adhesion molecule." in: The Journal of biological chemistry, Vol. 272, Issue 34, pp. 21373-80, (1997) (PubMed).

    Araki, Milbrandt: "Ninjurin, a novel adhesion molecule, is induced by nerve injury and promotes axonal growth." in: Neuron, Vol. 17, Issue 2, pp. 353-61, (1996) (PubMed).

  • Target

    NINJ1 (Ninjurin 1 (NINJ1))

    Alternative Name

    Ninjurin

    Background

    Ninjurin is a protein whose expression is dramatically increased after sciatic nerve transection and crush injuries. The Ninjurin gene encodes for a protein of 152 amino acids with two putative transmembrane domains. Ninjurin was iodinated in vivo and promoted the aggregation of Jurkat cells expressing Ninjurin, indicating a portion of Ninjurin is exposed to the cell surface. The adhesive properties of Ninjurin were energy and temperature dependent, required Ca2+ and Mg2+, and the integrity of the cytoskeleton. Also, the adhesion domain of Ninjurin is located at the extracellular NH2-terminal domain. Although its predicted mass is 16 kDa, Ninjurin migrates as a 18-22 kDa protein in SDS-PAGE, depending on the cell line or tissue. mRNA analysis revealed that Ninjurin is widely expressed with the highest levels in liver, thymus, heart, and the lowest level in brain.

    Molecular Weight

    18-22 kDa
You are here:
Chat with us!