Phone:
+1 877 302 8632
Fax:
+1 888 205 9894 (Toll-free)
E-Mail:
orders@antibodies-online.com

AMACR antibody

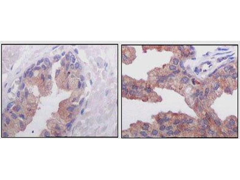
There are 2+ publications for this product available. The Mouse Monoclonal anti-AMACR antibody is suitable to detect AMACR in samples from Human and Mouse. It has been validated for WB, IHC, ELISA and ICC.
Catalog No. ABIN968957
$516.25
Plus shipping costs $50.00
100 μL
Shipping to: United States
Delivery in 3 to 5 Business Days

Quick Overview for AMACR antibody (ABIN968957)

Target

See all AMACR Antibodies
AMACR (alpha-Methylacyl-CoA Racemase (AMACR))

Reactivity

  • 157
  • 23
  • 22
  • 10
  • 6
  • 3
  • 3
  • 1
  • 1
  • 1
Human, Mouse

Host

  • 94
  • 63
  • 2
Mouse

Clonality

  • 104
  • 55
Monoclonal

Conjugate

  • 82
  • 11
  • 7
  • 6
  • 6
  • 6
  • 6
  • 6
  • 6
  • 6
  • 3
  • 3
  • 2
  • 1
  • 1
  • 1
  • 1
  • 1
  • 1
  • 1
  • 1
  • 1
This AMACR antibody is un-conjugated

Application

  • 115
  • 107
  • 36
  • 36
  • 34
  • 18
  • 12
  • 11
  • 8
  • 8
  • 6
  • 6
  • 3
  • 2
  • 1
  • 1
  • 1
  • 1
Western Blotting (WB), Immunohistochemistry (IHC), ELISA, Immunocytochemistry (ICC)

Clone

2A10F3
  • Purpose

    AMACR Antibody

    Purification

    Ascitic fluid

    Immunogen

    Purified recombinant fragment of human AMACR expressed in E. Coli.

    Isotype

    IgG2b
  • Application Notes

    ELISA: 1/10000

    ICC: 1/200 - 1/1000

    Restrictions

    For Research Use only
  • Format

    Liquid

    Buffer

    Ascitic fluid containing 0.03 % sodium azide.

    Preservative

    Sodium azide

    Precaution of Use

    This product contains Sodium azide: a POISONOUS AND HAZARDOUS SUBSTANCE which should be handled by trained staff only.

    Storage

    4 °C,-20 °C

    Storage Comment

    Store at 4°C short term. Aliquot and store at -20°C long term. Avoid freeze/thaw cycles.
  • Chen, Watson, Marengo, Decker, Coleman, Nelson, Sikes: "Gene expression in the LNCaP human prostate cancer progression model: progression associated expression in vitro corresponds to expression changes associated with prostate cancer progression in vivo." in: Cancer letters, Vol. 244, Issue 2, pp. 274-88, (2006) (PubMed).

    Epstein, Herawi: "Prostate needle biopsies containing prostatic intraepithelial neoplasia or atypical foci suspicious for carcinoma: implications for patient care." in: The Journal of urology, Vol. 175, Issue 3 Pt 1, pp. 820-34, (2006) (PubMed).

  • Target

    AMACR (alpha-Methylacyl-CoA Racemase (AMACR))

    Alternative Name

    AMACR

    Background

    AMACR (alpha-methylacyl-CoA racemase) has been recently described as prostate cancer-specific gene that encodes a protein involved in the beta-oxidation of branched chain fatty acids. Expression of AMACR protein is found in prostatic adenocarcinoma but not in benign prostatic tissue. It stains premalignant lesions of prostate: high-grade prostatic intraepithelial neoplasia (PIN) and atypical adenomatous hyperplasia. AMACR can be used as a positive marker for PIN. Defects in AMACR are the cause of congenital bile acid synthesis defect type 4 (CBAS4), also known as cholestasis, intrahepatic, with defective conversion of trihydroxycoprostanic acid to cholic acid or trihydroxycoprostanic acid in bile. Clinical features include neonatal jaundice, intrahepatic cholestasis, bile duct deficiency and absence of cholic acid from bile.

    Molecular Weight

    42 kDa

    UniProt

    Q9UHK6

    Pathways

    Monocarboxylic Acid Catabolic Process
You are here:
Chat with us!