Phone:
+1 877 302 8632
Fax:
+1 888 205 9894 (Toll-free)
E-Mail:
orders@antibodies-online.com

Cyclin B1 antibody

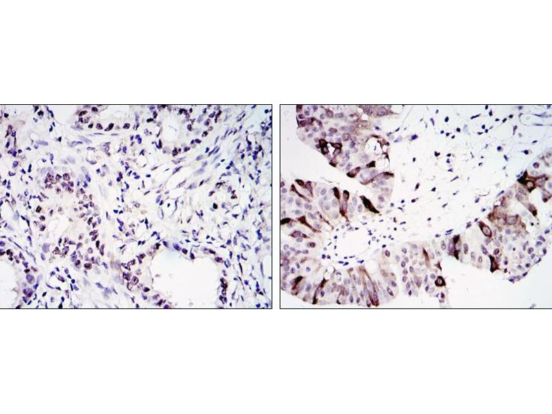
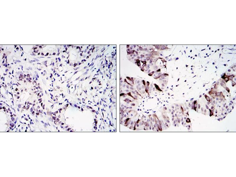
There are 2+ publications for this product available. The Mouse Monoclonal anti-Cyclin B1 antibody is suitable to detect Cyclin B1 in samples from Human. It has been validated for WB, IHC and ELISA.
Catalog No. ABIN969005
$500.94
Plus shipping costs $50.00
100 μL
Shipping to: United States
Delivery in 3 to 5 Business Days

Quick Overview for Cyclin B1 antibody (ABIN969005)

Target

See all Cyclin B1 (CCNB1) Antibodies
Cyclin B1 (CCNB1)

Reactivity

  • 229
  • 101
  • 45
  • 24
  • 21
  • 16
  • 5
  • 4
  • 4
  • 3
  • 3
  • 2
  • 2
  • 1
  • 1
Human

Host

  • 197
  • 40
  • 1
Mouse

Clonality

  • 147
  • 91
Monoclonal

Conjugate

  • 111
  • 12
  • 6
  • 6
  • 6
  • 4
  • 4
  • 4
  • 4
  • 4
  • 4
  • 4
  • 4
  • 4
  • 4
  • 4
  • 4
  • 4
  • 4
  • 4
  • 4
  • 4
  • 3
  • 3
  • 3
  • 3
  • 3
  • 3
  • 3
  • 3
  • 3
  • 2
This Cyclin B1 antibody is un-conjugated

Application

  • 166
  • 87
  • 76
  • 66
  • 58
  • 41
  • 40
  • 39
  • 35
  • 27
  • 11
  • 9
  • 9
  • 8
  • 4
  • 2
  • 2
  • 1
  • 1
Western Blotting (WB), Immunohistochemistry (IHC), ELISA

Clone

1B10
  • Purpose

    CCNB1 Antibody

    Purification

    Ascitic fluid

    Immunogen

    Purified recombinant fragment of human CCNB1 expressed in E. Coli.

    Isotype

    IgG1
  • Application Notes

    ELISA: 1/10000

    Restrictions

    For Research Use only
  • Format

    Liquid

    Buffer

    Ascitic fluid containing 0.03 % sodium azide.

    Preservative

    Sodium azide

    Precaution of Use

    This product contains Sodium azide: a POISONOUS AND HAZARDOUS SUBSTANCE which should be handled by trained staff only.

    Storage

    4 °C,-20 °C

    Storage Comment

    Store at 4°C short term. Aliquot and store at -20°C long term. Avoid freeze/thaw cycles.
  • Zhang, Li, Guo, Cao, Zhao, Jiang, Ma, Yi, Li, Jiang, Wu, Wang, Si: "DH166, a beta-carboline derivative, inhibits the kinase activity of PLK1." in: Cancer biology & therapy, Vol. 8, Issue 24, pp. 2374-83, (2010) (PubMed).

    Okayama, Kumamoto, Saitou, Hayase, Kofunato, Sato, Miyamoto, Nakamura, Ohki, Sekikawa, Takenoshita: "CD44v6, MMP-7 and nuclear Cdx2 are significant biomarkers for prediction of lymph node metastasis in primary gastric cancer." in: Oncology reports, Vol. 22, Issue 4, pp. 745-55, (2009) (PubMed).

  • Target

    Cyclin B1 (CCNB1)

    Alternative Name

    CCNB1

    Background

    The protein encoded by this gene is a regulatory protein involved in mitosis. The gene product complexes with p34(cdc2) to form the maturation-promoting factor (MPF). Two alternative transcripts have been found, a constitutively expressed transcript and a cell cycle-regulated transcript, that is expressed predominantly during G2/M phase. The different transcripts result from the use of alternate transcription initiation sites. (provided by RefSeq) It has higher expression in tumor tissues .

    Molecular Weight

    60 kDa

    Gene ID

    891

    UniProt

    P14635

    Pathways

    Cell Division Cycle, AMPK Signaling, Mitotic G1-G1/S Phases, M Phase
You are here:
Chat with us!