Phone:
+1 877 302 8632
Fax:
+1 888 205 9894 (Toll-free)
E-Mail:
orders@antibodies-online.com

Endoglin antibody

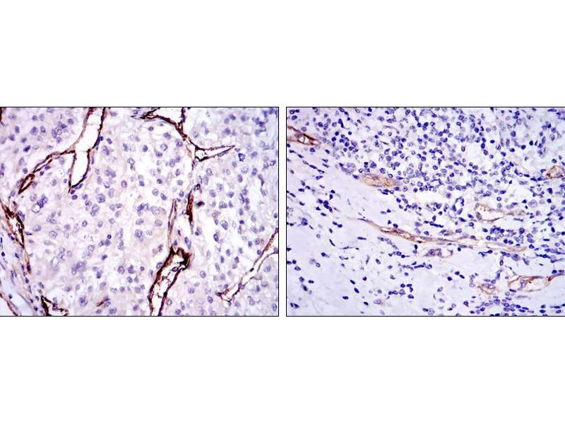
Cited in 2+ publications. The Mouse Monoclonal anti-Endoglin antibody (Clone 3A9) (ABIN969012) specifically detects Endoglin in FACS, IHC, ELISA and ICC. The antibody is reactive with Human samples.
Catalog No. ABIN969012
$473.33
Plus shipping costs $50.00
100 μL
Shipping to: United States
Delivery in 3 to 5 Business Days

Quick Overview for Endoglin antibody (ABIN969012)

Target

See all Endoglin (ENG) Antibodies
Endoglin (ENG)

Reactivity

  • 255
  • 76
  • 74
  • 25
  • 20
  • 19
  • 17
  • 3
  • 3
  • 3
  • 1
  • 1
Human

Host

  • 150
  • 130
  • 24
  • 6
  • 2
  • 1
  • 1
Mouse

Clonality

  • 190
  • 123
  • 1
Monoclonal

Conjugate

  • 132
  • 29
  • 29
  • 26
  • 21
  • 7
  • 3
  • 3
  • 3
  • 3
  • 3
  • 3
  • 2
  • 2
  • 2
  • 2
  • 2
  • 2
  • 2
  • 2
  • 2
  • 2
  • 2
  • 2
  • 2
  • 2
  • 2
  • 2
  • 2
  • 2
  • 2
  • 2
  • 2
  • 2
  • 1
  • 1
  • 1
  • 1
  • 1
  • 1
  • 1
  • 1
This Endoglin antibody is un-conjugated

Application

  • 175
  • 171
  • 102
  • 54
  • 50
  • 35
  • 26
  • 25
  • 25
  • 18
  • 13
  • 10
  • 7
  • 7
  • 5
  • 4
  • 2
  • 2
  • 2
  • 1
  • 1
  • 1
Flow Cytometry (FACS), Immunohistochemistry (IHC), ELISA, Immunocytochemistry (ICC)

Clone

3A9
  • Purpose

    CD105 Antibody

    Purification

    Ascitic fluid

    Immunogen

    Purified recombinant fragment of human CD105 expressed in E. Coli.

    Isotype

    IgG1
  • Application Notes

    ELISA: 1/10000

    FCM: 1/200 - 1/400

    ICC: 1/200 - 1/1000

    Restrictions

    For Research Use only
  • Format

    Liquid

    Buffer

    Ascitic fluid containing 0.03 % sodium azide.

    Preservative

    Sodium azide

    Precaution of Use

    This product contains Sodium azide: a POISONOUS AND HAZARDOUS SUBSTANCE which should be handled by trained staff only.

    Storage

    4 °C,-20 °C

    Storage Comment

    Store at 4°C short term. Aliquot and store at -20°C long term. Avoid freeze/thaw cycles.
  • Valeria, Maddalena, Enrica, Onofrio, Gaetano: "Endoglin (CD105) expression in the human heart throughout gestation: an immunohistochemical study." in: Reproductive sciences (Thousand Oaks, Calif.), Vol. 15, Issue 10, pp. 1018-26, (2008) (PubMed).

    Fujita, Ewing, Chan, Mangold, Partin, Isaacs, Pavlovich: "Endoglin (CD105) as a urinary and serum marker of prostate cancer." in: International journal of cancer. Journal international du cancer, Vol. 124, Issue 3, pp. 664-9, (2008) (PubMed).

  • Target

    Endoglin (ENG)

    Alternative Name

    CD105

    Background

    This gene encodes a homodimeric transmembrane protein which is a major glycoprotein of the vascular endothelium. This protein is a component of the transforming growth factor beta receptor complex and it binds TGFB1 and TGFB3 with high affinity. Mutations in this gene cause hereditary hemorrhagic telangiectasia, also known as Osler-Rendu-Weber syndrome 1, an autosomal dominant multisystemic vascular dysplasia.

    Molecular Weight

    71 kDa

    UniProt

    P17813
You are here:
Chat with us!