Phone:
+1 877 302 8632
Fax:
+1 888 205 9894 (Toll-free)
E-Mail:
orders@antibodies-online.com

CRTC3 antibody

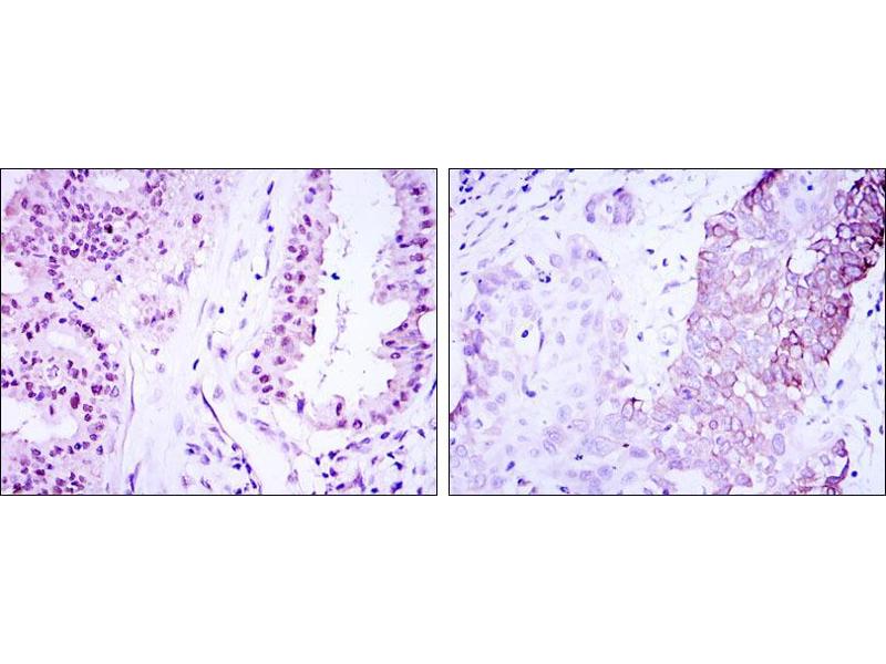
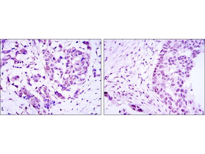
There are 2+ publications for this product available. The Mouse Monoclonal anti-CRTC3 antibody is suitable to detect CRTC3 in samples from Human and Monkey. It has been validated for WB, IHC, ICC and ELISA.
Catalog No. ABIN969068
$548.16
Plus shipping costs $50.00
100 μL
Shipping to: United States
Delivery in 3 to 5 Business Days

Quick Overview for CRTC3 antibody (ABIN969068)

Target

See all CRTC3 Antibodies
CRTC3 (CREB Regulated Transcription Coactivator 3 (CRTC3))

Reactivity

  • 46
  • 16
  • 14
  • 2
  • 1
  • 1
  • 1
  • 1
Human, Monkey

Host

  • 44
  • 2
Mouse

Clonality

  • 29
  • 17
Monoclonal

Conjugate

  • 20
  • 3
  • 2
  • 2
  • 1
  • 1
  • 1
  • 1
  • 1
  • 1
  • 1
  • 1
  • 1
  • 1
  • 1
  • 1
  • 1
  • 1
  • 1
  • 1
  • 1
  • 1
  • 1
This CRTC3 antibody is un-conjugated

Application

  • 38
  • 21
  • 16
  • 15
  • 13
  • 13
  • 13
  • 6
  • 4
  • 3
  • 2
  • 1
Western Blotting (WB), Immunohistochemistry (IHC), Immunocytochemistry (ICC), ELISA

Clone

5G9
  • Purpose

    CRTC3 Antibody

    Purification

    Ascitic fluid

    Immunogen

    Purified recombinant fragment of human CRTC3 expressed in E. Coli.

    Isotype

    IgG1
  • Application Notes

    ELISA: 1/10000

    ICC: 1/200 - 1/1000

    Restrictions

    For Research Use only
  • Format

    Liquid

    Buffer

    Ascitic fluid containing 0.03 % sodium azide.

    Preservative

    Sodium azide

    Precaution of Use

    This product contains Sodium azide: a POISONOUS AND HAZARDOUS SUBSTANCE which should be handled by trained staff only.

    Storage

    4 °C,-20 °C

    Storage Comment

    Store at 4°C short term. Aliquot and store at -20°C long term. Avoid freeze/thaw cycles.
  • Nakayama, Miyabe, Okabe, Sakuma, Ijichi, Hasegawa, Nagatsuka, Shimozato, Inagaki: "Clinicopathological significance of the CRTC3-MAML2 fusion transcript in mucoepidermoid carcinoma." in: Modern pathology : an official journal of the United States and Canadian Academy of Pathology, Inc, Vol. 22, Issue 12, pp. 1575-81, (2009) (PubMed).

    Fehr, Röser, Heidorn, Hallas, Löning, Bullerdiek: "A new type of MAML2 fusion in mucoepidermoid carcinoma." in: Genes, chromosomes & cancer, Vol. 47, Issue 3, pp. 203-6, (2008) (PubMed).

  • Target

    CRTC3 (CREB Regulated Transcription Coactivator 3 (CRTC3))

    Alternative Name

    CRTC3

    Background

    Transcriptional coactivator for CREB1 which activates transcription through both consensus and variant cAMP response element (CRE) sites. Acts as a coactivator, in the SIK/TORC signaling pathway, being active when dephosphorylated and acts independently of CREB1 'Ser-133' phosphorylation. Enhances the interaction of CREB1 with TAF4. Regulates the expression of specific CREB-activated genes such as the steroidogenic gene, StAR. Potent coactivator of PPARGC1A and inducer of mitochondrial biogenesis in muscle cells. Also coactivator for TAX activation of the human T-cell leukemia virus type 1 (HTLV-1) long terminal repeats (LTR) .Tissue specificity: Predominantly expressed in B and T lymphocytes. Highest levels in lung. Also expressed in brain, colon, heart, kidney, ovary, and prostate. Weak expression in liver, pancreas, muscle, small intestine, spleen and stomach.

    Molecular Weight

    68 kDa

    Gene ID

    64784

    UniProt

    Q6UUV7

    Pathways

    SARS-CoV-2 Protein Interactome, The Global Phosphorylation Landscape of SARS-CoV-2 Infection
You are here:
Chat with us!