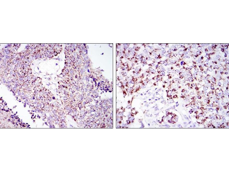
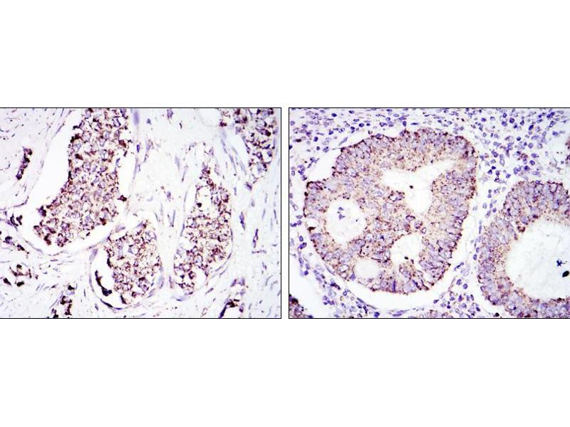
HSPD1 antibody
Quick Overview for HSPD1 antibody (ABIN969200)
Target
See all HSPD1 AntibodiesReactivity
Host
Clonality
Conjugate
Application
Clone
-
-
Purpose
- HSP60 Antibody
-
Purification
- Ascitic fluid
-
Immunogen
- Purified recombinant fragment of human HSP60 expressed in E. Coli.
-
Isotype
- IgG1
-
-
-
-
Application Notes
-
ELISA: 1/10000
FCM: 1/200 - 1/400
ICC: 1/200 - 1/1000
-
Restrictions
- For Research Use only
-
-
-
Format
- Liquid
-
Buffer
- Ascitic fluid containing 0.03 % sodium azide.
-
Preservative
- Sodium azide
-
Precaution of Use
- This product contains Sodium azide: a POISONOUS AND HAZARDOUS SUBSTANCE which should be handled by trained staff only.
-
Storage
- 4 °C,-20 °C
-
Storage Comment
- Store at 4°C short term. Aliquot and store at -20°C long term. Avoid freeze/thaw cycles.
-
-
-
: "Serum levels of antibodies to Chlamydia pneumoniae and human HSP60 in giant cell arteritis patients." in: Clinical and experimental rheumatology, Vol. 26, Issue 6, pp. 1107-10, (2009) (PubMed).
: "Heat shock proteins 27, 60 and 70 as prognostic markers of prostate cancer." in: APMIS : acta pathologica, microbiologica, et immunologica Scandinavica, Vol. 116, Issue 10, pp. 888-95, (2009) (PubMed).
-
-
- HSPD1 (Heat Shock 60kDa Protein 1 (Chaperonin) (HSPD1))
-
Alternative Name
- HSP60
-
Background
- This gene encodes a member of the chaperonin family. The encoded mitochondrial protein may function as a signaling molecule in the innate immune system. This protein is essential for the folding and assembly of newly imported proteins in the mitochondria. This gene is adjacent to a related family member and the region between the 2 genes functions as a bidirectional promoter. Several pseudogenes have been associated with this gene. Two transcript variants encoding the same protein have been identified for this gene. Mutations associated with this gene cause autosomal recessive spastic paraplegia 13. (provided by RefSeq)
-
Molecular Weight
- 61 kDa
-
Gene ID
- 3329
-
UniProt
- P10809
-
Pathways
- Activation of Innate immune Response, Regulation of Leukocyte Mediated Immunity, Positive Regulation of Immune Effector Process, Production of Molecular Mediator of Immune Response, Positive Regulation of Endopeptidase Activity
Target
-