Phone:
+1 877 302 8632
Fax:
+1 888 205 9894 (Toll-free)
E-Mail:
orders@antibodies-online.com

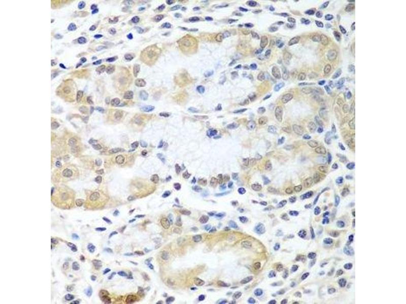
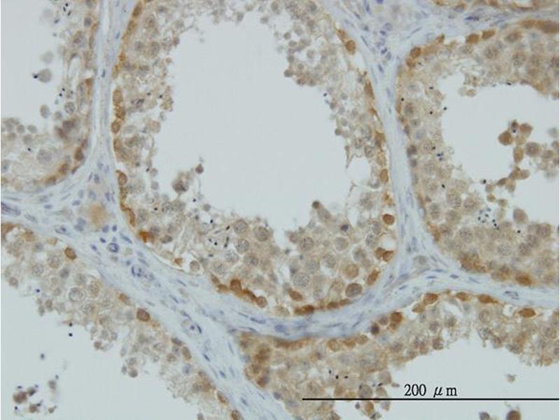
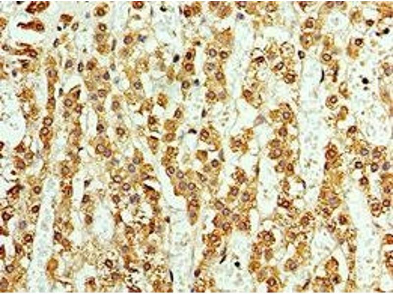
ASNA1 Antibodies

(ArsA Arsenite Transporter, ATP-Binding, Homolog 1 (ASNA1))

Choose one of 46 ASNA1 antibodies from our product listing based on 8 publications and 26 validation images.

Explore reliable ASNA1 antibodies from a broad selection of renowned manufacturers. Our portfolio enables accurate ASNA1 detection across multiple species, including Human, Mouse, Rat, Cow, Zebrafish (Danio rerio), Dog, Guinea Pig, Horse, Rabbit, Hamster, Monkey, Pig, Saccharomyces cerevisiae, Xenopus laevis, and supports diverse research applications such as WB, ELISA, IF (cc), IF (p), IF.

Quickly find the right antibody using our search, filter, and comparison tools. Each product page provides detailed validation data, literature references, and customer feedback. Unlike comparison-only resources, you can conveniently purchase antibodies directly through our site. Choose from polyclonal, monoclonal, or recombinant ASNA1 antibodies derived from various hosts such as Rabbit, Mouse, Goat. Browse our products below and order directly to support your research with confidence.

Alternative names for ASNA1 are ASNA1, ATEG_04670, arsA2, arsA, HCAG_00048, LOC5574421, CC1G_08655, CpipJ_CPIJ005690, PTRG_02265, pKlebpneu12_p77, UREG_07455, BDBG_06308, MCYG_00630, LOC100284977, Asna1, asna1, asna1.S, MGYG_01332, asnA1, Tsp_06776, asna-1.

46 results

ASNA1 Reactivity: Human WB, ELISA, IF, IHC (p), RNAi Host: Mouse Monoclonal 2H3 unconjugated
Pubmed 3 references
Catalog No. ABIN559968
$489.14
Plus shipping costs $50.00
100 μg
Shipping to: United States
Delivery in 11 to 14 Business Days
 
ASNA1 Reactivity: Human WB, IF, IHC (p), ICC Host: Rabbit Polyclonal unconjugated
Catalog No. ABIN2856957
$564.19
Plus shipping costs $50.00
100 μL
Shipping to: United States
Delivery in 3 to 5 Business Days
 
ASNA1 Reactivity: Human WB, IF Host: Rabbit Polyclonal unconjugated
Catalog No. ABIN1678763
$383.00
Plus shipping costs $50.00
100 μg (More quantities available)
Shipping to: United States
Delivery in 7 to 10 Business Days
 
Verified ASNA1 Reactivity: Human, Mouse, Rat WB, ELISA Host: Goat Polyclonal unconjugated
Pubmed 1 reference
Catalog No. ABIN263183
$488.25
Plus shipping costs $50.00
100 μg
Shipping to: United States
Delivery in 1 to 3 Business Days
 
ASNA1 Reactivity: Human ELISA, IHC, IF Host: Rabbit Polyclonal unconjugated
Catalog No. ABIN7145033
$394.68
Plus shipping costs $50.00
100 μL (More quantities available)
Shipping to: United States
Delivery in 13 to 17 Business Days
 
ASNA1 Reactivity: Human, Mouse, Rat, Cow, Zebrafish (Danio rerio), Dog, Guinea Pig, Horse, Rabbit, Hamster, Monkey, Pig, Xenopus laevis WB Host: Rabbit Polyclonal unconjugated
Pubmed 4 references
Catalog No. ABIN6746776
$690.07
Plus shipping costs $50.00
100 μL
Shipping to: United States
Delivery in 11 to 15 Business Days
 
ASNA1 Reactivity: Human, Mouse ELISA, IHC Host: Rabbit Polyclonal unconjugated
Catalog No. ABIN7254112
$538.80
Plus shipping costs $50.00
200 μL (More quantities available)
Shipping to: United States
Delivery in 11 to 15 Business Days
 
ASNA1 Reactivity: Human WB Host: Rabbit Polyclonal unconjugated
Catalog No. ABIN926434
$1,297.32
Plus shipping costs $50.00
100 μL
Shipping to: United States
Delivery in 16 to 22 Business Days
 
ASNA1 Reactivity: Human WB, ELISA, IF, ICC, FACS Host: Mouse Monoclonal AT2A1 unconjugated
Catalog No. ABIN5776059
$411.54
Plus shipping costs $50.00
100 μL (More quantities available)
Shipping to: United States
Delivery in 13 to 18 Business Days
 
ASNA1 Reactivity: Human WB Host: Mouse Polyclonal unconjugated
Catalog No. ABIN947585
$489.14
Plus shipping costs $50.00
50 μg
Shipping to: United States
Delivery in 11 to 14 Business Days
 
ASNA1 Reactivity: Human, Mouse, Rat, Cow, Zebrafish (Danio rerio), Dog, Guinea Pig, Horse, Rabbit, Hamster, Monkey, Pig WB Host: Rabbit Polyclonal unconjugated
Catalog No. ABIN6746777
$690.07
Plus shipping costs $50.00
100 μL
Shipping to: United States
Delivery in 11 to 15 Business Days
 
ASNA1 Reactivity: Human IF (cc), IF (p) Host: Rabbit Polyclonal AbBy Fluor® 680
Catalog No. ABIN4996919
$458.46
Plus shipping costs $50.00
100 μL
Shipping to: United States
Delivery in 16 to 20 Business Days
 
ASNA1 Reactivity: Human IF (cc), IF (p) Host: Rabbit Polyclonal AbBy Fluor® 750
Catalog No. ABIN4996920
$458.46
Plus shipping costs $50.00
100 μL
Shipping to: United States
Delivery in 16 to 20 Business Days
 
ASNA1 Reactivity: Human WB, ELISA, IHC Host: Rabbit Polyclonal unconjugated
Catalog No. ABIN7568162
$355.94
Plus shipping costs $50.00
100 μg
Shipping to: United States
Delivery in 12 to 15 Business Days
 
ASNA1 Reactivity: Human, Mouse WB, IF, IHC (p), ICC Host: Rabbit Polyclonal unconjugated
Catalog No. ABIN5622568
$1,856.25
Plus shipping costs $50.00
100 μL
Shipping to: United States
Delivery in 9 to 12 Business Days
 
ASNA1 Reactivity: Human WB, ELISA Host: Mouse Monoclonal AT2A1 unconjugated
Catalog No. ABIN2134187
$886.61
Plus shipping costs $50.00
50 μL
Shipping to: United States
Delivery in 9 to 12 Business Days
 
ASNA1 Reactivity: Human IF (cc), IF (p) Host: Rabbit Polyclonal AbBy Fluor® 647
Catalog No. ABIN883844
$458.46
Plus shipping costs $50.00
100 μL
Shipping to: United States
Delivery in 16 to 20 Business Days
 
ASNA1 Reactivity: Human IF (cc), IF (p) Host: Rabbit Polyclonal AbBy Fluor® 488
Catalog No. ABIN883843
$458.46
Plus shipping costs $50.00
100 μL
Shipping to: United States
Delivery in 16 to 20 Business Days
 
ASNA1 Reactivity: Human IF (cc), IF (p) Host: Rabbit Polyclonal Cy5.5
Catalog No. ABIN883842
$470.46
Plus shipping costs $50.00
100 μL
Shipping to: United States
Delivery in 16 to 20 Business Days
 
ASNA1 Reactivity: Human IF (cc), IF (p) Host: Rabbit Polyclonal Cy5
Catalog No. ABIN883841
$470.46
Plus shipping costs $50.00
100 μL
Shipping to: United States
Delivery in 16 to 20 Business Days
 
  • Type Primary
    • Primary
  • Application
    • Western Blotting (WB)
    • ELISA
    • Immunofluorescence (Cultured Cells) (IF (cc))
    • Immunofluorescence (Paraffin-embedded Sections) (IF (p))
    • Immunofluorescence (IF)
    • Immunohistochemistry (Paraffin-embedded Sections) (IHC (p))
    • Immunohistochemistry (IHC)
    • Immunocytochemistry (ICC)
    • Immunoprecipitation (IP)
    • Immunohistochemistry (Frozen Sections) (IHC (fro))
    • Flow Cytometry (FACS)
    • Enzyme Immunoassay (EIA)
    • Immunohistochemistry (Formalin-fixed Paraffin-embedded Sections) (IHC (fp))
    • RNA Interference (RNAi)
    • Immunofluorescence (fixed cells) (IF/ICC)
  • Reactivity
    • Human
    • Mouse
    • Rat
    • Cow
    • Zebrafish (Danio rerio)
    • Dog
    • Guinea Pig
    • Horse
    • Rabbit
    • Hamster
    • Monkey
    • Pig
    • Saccharomyces cerevisiae
    • Xenopus laevis
  • Cited in publications
  • Images available
  • Preservative free only
  • Carrier free only
  • Host
    • Rabbit
    • Mouse
    • Goat
  • Clonality
    • Polyclonal
    • Monoclonal
  • Clone
    • AT2A1
    • 2H3
  • Binding Specificity
    • AA 64-155
    • AA 284-312
    • AA 1-348
    • C-Term
    • AA 45-279
    • AA 1-50
    • AA 218-267
    • AA 239-348
    • AA 36-348
    • Internal Region
  • Conjugate
    • Un-conjugated
    • Biotin
    • FITC
    • HRP
    • APC
    • AbBy Fluor® 350
    • AbBy Fluor® 488
    • AbBy Fluor® 555
    • AbBy Fluor® 594
    • AbBy Fluor® 647
    • AbBy Fluor® 680
    • AbBy Fluor® 750
    • Cy3
    • Cy5
    • Cy5.5
    • Cy7
    • PE
  • Isotype
    • IgG
    • IgG2b kappa
    • IgG1
    • IgG2b
  • Format
    • Liquid
    • Lyophilized
  • Grade
    • Verified
  • Supplier
    • antibodies-online
    • FabGennix
    • Acris
    • Aviva Systems Biology
    • ProteoGenix
    • RayBiotech
    • Wuhan Fine biotech

Latest Publications for our ASNA1 Antibodies

Ott, Marques, Funk, Bailer: "Asna1/TRC40 that mediates membrane insertion of tail-anchored proteins is required for efficient release of Herpes simplex virus 1 virions." in: Virology journal, Vol. 13, Issue 1, pp. 175, (2016) (PubMed).

Baron, Pedrioli, Tyagi, Johnson, Wood, Fountaine, Wightman, Alexandru: "VAPB/ALS8 interacts with FFAT-like proteins including the p97 cofactor FAF1 and the ASNA1 ATPase." in: BMC biology, Vol. 12, pp. 39, (2014) (PubMed).

Kim, Yun, Lee, Jeong, Baek, Song, Ju, Youdim, Jin, Kim, Oh: "Gel-based protease proteomics for identifying the novel calpain substrates in dopaminergic neuronal cell." in: The Journal of biological chemistry, Vol. 288, Issue 51, pp. 36717-32, (2013) (PubMed).

Rabu, Wipf, Brodsky, High: "A precursor-specific role for Hsp40/Hsc70 during tail-anchored protein integration at the endoplasmic reticulum." in: The Journal of biological chemistry, Vol. 283, Issue 41, pp. 27504-13, (2008) (PubMed).

Hemmingsson, Zhang, Still, Naredi: "ASNA1, an ATPase targeting tail-anchored proteins, regulates melanoma cell growth and sensitivity to cisplatin and arsenite." in: Cancer chemotherapy and pharmacology, Vol. 63, Issue 3, pp. 491-9, (2008) (PubMed).

Kao, Nordenson, Still, Rönnlund, Tuck, Naredi: "ASNA-1 positively regulates insulin secretion in C. elegans and mammalian cells." in: Cell, Vol. 128, Issue 3, pp. 577-87, (2007) (PubMed).

Ordentlich, Downes, Xie, Genin, Spinner, Evans: "Unique forms of human and mouse nuclear receptor corepressor SMRT." in: Proceedings of the National Academy of Sciences of the United States of America, Vol. 96, Issue 6, pp. 2639-44, (1999) (PubMed).

Wagner, Norris, Knotts, Weigel, McDonnell: "The nuclear corepressors NCoR and SMRT are key regulators of both ligand- and 8-bromo-cyclic AMP-dependent transcriptional activity of the human progesterone receptor." in: Molecular and cellular biology, Vol. 18, Issue 3, pp. 1369-78, (1998) (PubMed).

Nagy, Kao, Chakravarti, Lin, Hassig, Ayer, Schreiber, Evans: "Nuclear receptor repression mediated by a complex containing SMRT, mSin3A, and histone deacetylase." in: Cell, Vol. 89, Issue 3, pp. 373-80, (1997) (PubMed).

Chen, Evans: "A transcriptional co-repressor that interacts with nuclear hormone receptors." in: Nature, Vol. 377, Issue 6548, pp. 454-7, (1995) (PubMed).

Aliases for ASNA1 Antibodies

arsA arsenite transporter, ATP-binding, homolog 1 (bacterial) (ASNA1) Antibodies
arsenical pump-driving ATPase (ATEG_04670) Antibodies
arsenical pump-driving ATPase (arsA2) Antibodies
pseudo (arsA) Antibodies
arsenical pump-driving ATPase (HCAG_00048) Antibodies
ATPase ASNA1 homolog (LOC5574421) Antibodies
arsenical pump-driving ATPase (CC1G_08655) Antibodies
arsenical pump-driving ATPase (CpipJ_CPIJ005690) Antibodies
arsenical pump-driving ATPase (PTRG_02265) Antibodies
arsenite-translocating ATPase; arsenical resistance ATPase; arsenite-transporting ATPase (pKlebpneu12_p77) Antibodies
arsenical pump-driving ATPase (UREG_07455) Antibodies
arsenical pump-driving ATPase (BDBG_06308) Antibodies
arsenical pump-driving ATPase (MCYG_00630) Antibodies
arsenical pump-driving ATPase (LOC100284977) Antibodies
arsA arsenite transporter, ATP-binding, homolog 1 (bacterial) (Asna1) Antibodies
arsA arsenite transporter, ATP-binding, homolog 1 (bacterial) (asna1) Antibodies
arsA arsenite transporter, ATP-binding, homolog 1 (bacterial) S homeolog (asna1.S) Antibodies
arsenical pump-driving ATPase (MGYG_01332) Antibodies
L-asparaginase (asnA1) Antibodies
arsenical pump-driving ATPase (Tsp_06776) Antibodies
ATPase asna-1 (asna-1) Antibodies
1810048H22Rik Antibodies
ArsA Antibodies
ARSA-I Antibodies
arsa-i Antibodies
ARSA1 Antibodies
arsa1 Antibodies
ASNA-I Antibodies
ASNA1 Antibodies
asna1 Antibodies
GET3 Antibodies
hASNA-I Antibodies
MGC146316 Antibodies
TRC40 Antibodies
wu:fd05d03 Antibodies
zgc:56540 Antibodies
zgc:86799 Antibodies
You are here:
Chat with us!