Phone:
+1 877 302 8632
Fax:
+1 888 205 9894 (Toll-free)
E-Mail:
orders@antibodies-online.com

ATP5C1 Antibodies

(ATP Synthase, H+ Transporting, Mitochondrial F1 Complex, gamma Polypeptide 1 (ATP5C1))

Choose one of 30 ATP5C1 antibodies from our product listing based on 1 publication and 26 validation images.

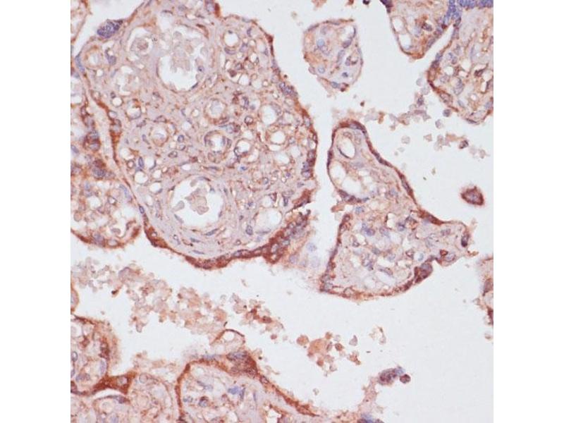
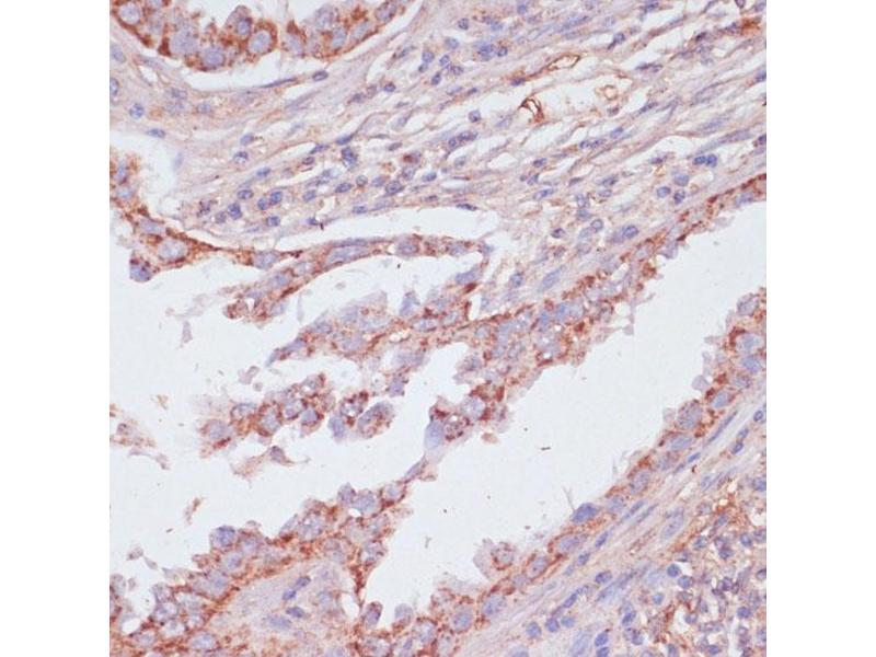
Explore reliable ATP5C1 antibodies from a broad selection of renowned manufacturers. Our portfolio enables accurate ATP5C1 detection across multiple species, including Human, Rat, Mouse, Cow, Dog, Guinea Pig, Horse, Monkey, Rabbit, Zebrafish (Danio rerio), and supports diverse research applications such as WB, ELISA, IHC, FACS, IF.

Quickly find the right antibody using our search, filter, and comparison tools. Each product page provides detailed validation data, literature references, and customer feedback. Unlike comparison-only resources, you can conveniently purchase antibodies directly through our site. Choose from polyclonal, monoclonal, or recombinant ATP5C1 antibodies derived from various hosts such as Rabbit, Goat, Mouse. Browse our products below and order directly to support your research with confidence.

Alternative names for ATP5C1 are ATP5C1, Atp5c1.

30 results

ATP5C1 Reactivity: Human WB, IHC, IF Host: Rabbit Polyclonal unconjugated
Catalog No. ABIN7265723
$383.00
Plus shipping costs $50.00
100 μL (More quantities available)
Shipping to: United States
Delivery in 7 to 10 Business Days
 
ATP5C1 Reactivity: Human WB, FACS, IHC (p) Host: Rabbit Polyclonal RB23852 unconjugated
Pubmed 1 reference
Catalog No. ABIN653186
$451.00
Plus shipping costs $50.00
400 μL (More quantities available)
Shipping to: United States
Delivery in 10 to 12 Business Days
 
KD Validated ATP5C1 Reactivity: Human WB, FACS Host: Mouse Monoclonal 24GB7990 unconjugated
Catalog No. ABIN7797682
$598.92
Plus shipping costs $50.00
100 μL
Shipping to: United States
Delivery in 3 to 5 Business Days
 
ATP5C1 Reactivity: Human, Rat, Mouse WB, ELISA, IF, ICC Host: Rabbit Polyclonal unconjugated
Catalog No. ABIN6257083
$494.77
Plus shipping costs $50.00
100 μL (More quantities available)
Shipping to: United States
Delivery in 11 to 13 Business Days
 
ATP5C1 Reactivity: Human, Rat, Mouse WB, ELISA, IHC Host: Rabbit Polyclonal unconjugated
Catalog No. ABIN7252273
$538.80
Plus shipping costs $50.00
200 μL (More quantities available)
Shipping to: United States
Delivery in 11 to 15 Business Days
 
Verified ATP5C1 Reactivity: Human, Rat WB, ELISA, IHC Host: Goat Polyclonal unconjugated
Catalog No. ABIN2613390
$488.25
Plus shipping costs $50.00
100 μg
Shipping to: United States
Delivery in 1 to 3 Business Days
 
Verified ATP5C1 Reactivity: Rat WB, ELISA Host: Goat Polyclonal unconjugated
Catalog No. ABIN2613391
$488.25
Plus shipping costs $50.00
100 μg
Shipping to: United States
Delivery in 1 to 3 Business Days
 
ATP5C1 Reactivity: Human, Rat, Mouse WB, ELISA Host: Rabbit Polyclonal unconjugated
Catalog No. ABIN2890140
$649.00
Plus shipping costs $50.00
100 μL (More quantities available)
Shipping to: United States
Delivery in 11 to 15 Business Days
 
ATP5C1 Reactivity: Human, Rat, Mouse, Monkey WB, IHC Host: Rabbit Polyclonal unconjugated
Catalog No. ABIN7302812
$330.77
Plus shipping costs $50.00
100 μL (More quantities available)
Shipping to: United States
Delivery in 13 to 15 Business Days
 
ATP5C1 Reactivity: Human, Rat, Mouse WB, ELISA, IHC (p) Host: Rabbit Polyclonal unconjugated
Catalog No. ABIN7213722
$379.10
Plus shipping costs $50.00
100 μL (More quantities available)
Shipping to: United States
Delivery in 12 to 16 Business Days
 
ATP5C1 Reactivity: Human, Rat, Mouse IHC, IF Host: Rabbit Polyclonal unconjugated
Catalog No. ABIN7384072
$300.00
Plus shipping costs $50.00
60 μL
Shipping to: United States
Delivery in 11 to 15 Business Days
 
ATP5C1 Reactivity: Human, Rat, Mouse WB, IHC Host: Rabbit Polyclonal unconjugated
Catalog No. ABIN2893753
$659.27
Plus shipping costs $50.00
100 μL (More quantities available)
Shipping to: United States
Delivery in 11 to 15 Business Days
 
ATP5C1 Reactivity: Human, Mouse WB Host: Rabbit Polyclonal unconjugated
Catalog No. ABIN7453041
$538.15
Plus shipping costs $50.00
100 μg (More quantities available)
Shipping to: United States
Delivery in 3 to 5 Business Days
 
ATP5C1 Reactivity: Human WB Host: Rabbit Polyclonal unconjugated
Catalog No. ABIN7453042
$538.15
Plus shipping costs $50.00
100 μg (More quantities available)
Shipping to: United States
Delivery in 3 to 5 Business Days
 
ATP5C1 Reactivity: Human WB, ELISA, IHC, FACS Host: Rabbit Polyclonal unconjugated
Catalog No. ABIN2589380
$1,153.53
Plus shipping costs $50.00
200 μL
Shipping to: United States
Delivery in 11 to 15 Business Days
 
ATP5C1 Reactivity: Human WB, IHC, FACS, IHC (p) Host: Rabbit Polyclonal unconjugated
Catalog No. ABIN1806056
$643.13
Plus shipping costs $50.00
400 μL
Shipping to: United States
Delivery in 11 to 15 Business Days
 
ATP5C1 Reactivity: Human WB, ELISA, IHC, FACS Host: Rabbit Polyclonal Biotin
Catalog No. ABIN1966032
$1,480.60
Plus shipping costs $50.00
200 μL
Shipping to: United States
Delivery in 11 to 15 Business Days
 
ATP5C1 Reactivity: Human WB, ELISA, IHC, FACS Host: Rabbit Polyclonal FITC
Catalog No. ABIN1969811
$1,480.60
Plus shipping costs $50.00
200 μL
Shipping to: United States
Delivery in 11 to 15 Business Days
 
ATP5C1 Reactivity: Human WB, ELISA, IHC, FACS Host: Rabbit Polyclonal HRP
Catalog No. ABIN1972081
$1,480.60
Plus shipping costs $50.00
200 μL
Shipping to: United States
Delivery in 11 to 15 Business Days
 
ATP5C1 Reactivity: Human WB, ELISA, IHC, FACS Host: Rabbit Polyclonal PE
Catalog No. ABIN1974400
$1,480.60
Plus shipping costs $50.00
200 μL
Shipping to: United States
Delivery in 11 to 15 Business Days
 
  • Type Primary
    • Primary
  • Application
    • Western Blotting (WB)
    • ELISA
    • Immunohistochemistry (IHC)
    • Flow Cytometry (FACS)
    • Immunofluorescence (IF)
    • Immunohistochemistry (Paraffin-embedded Sections) (IHC (p))
    • Immunocytochemistry (ICC)
  • Reactivity
    • Human
    • Rat
    • Mouse
    • Cow
    • Dog
    • Guinea Pig
    • Horse
    • Monkey
    • Rabbit
    • Zebrafish (Danio rerio)
  • Cited in publications
  • Images available
  • Preservative free only
  • Carrier free only
  • Host
    • Rabbit
    • Goat
    • Mouse
  • Clonality
    • Polyclonal
    • Monoclonal
  • Clone
    • 24GB7990
    • RB23852
  • Binding Specificity
    • AA 40-67
    • N-Term
    • AA 100-180
    • AA 131-180
    • AA 156-266
    • AA 175-225
    • AA 248-298
    • AA 26-298
    • AA 27-40
    • AA 46-76
    • Asp165
    • C-Term
    • Center
    • Internal Region
  • Conjugate
    • Un-conjugated
    • FITC
    • APC
    • Alexa Fluor 488
    • Alexa Fluor 555
    • Alexa Fluor 594
    • Alexa Fluor 647
    • Alexa Fluor 680
    • Alexa Fluor 750
    • Biotin
    • HRP
    • PE
  • Isotype
    • IgG
    • Ig Fraction
    • IgG1
  • Format
    • Liquid
  • Grade
    • Verified
    • KD Validated
  • Supplier
    • antibodies-online
    • Signalway
    • Abbexa
    • Aviva Systems Biology
    • Cohesion Biosciences
    • USBio

Latest Publications for our ATP5C1 Antibodies

Magalon, Le Grand, El Waly, Moulis, Pruss, Bordet, Cayre, Belenguer, Carré, Durbec: "Olesoxime favors oligodendrocyte differentiation through a functional interplay between mitochondria and microtubules." in: Neuropharmacology, Vol. 111, pp. 293-303, (2017) (PubMed).

Aliases for ATP5C1 Antibodies

ATP synthase, H+ transporting, mitochondrial F1 complex, gamma polypeptide 1 (ATP5C1) Antibodies
ATP synthase, H+ transporting, mitochondrial F1 complex, gamma polypeptide 1 (Atp5c1) Antibodies
1700094F02Rik Antibodies
ATP5C Antibodies
ATP5CL1 Antibodies
You are here:
Chat with us!