Phone:
+1 877 302 8632
Fax:
+1 888 205 9894 (Toll-free)
E-Mail:
orders@antibodies-online.com

CMIP Antibodies

(C-Maf Inducing Protein (CMIP))

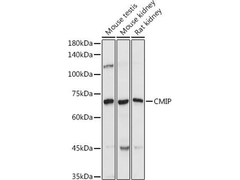
Choose one of 20 CMIP antibodies from our product listing based on 3 publications and 8 validation images.

Explore reliable CMIP antibodies from a broad selection of renowned manufacturers. Our portfolio enables accurate CMIP detection across multiple species, including Human, Mouse, Rat, and supports diverse research applications such as WB, ELISA, IHC, IP, ICC.

Quickly find the right antibody using our search, filter, and comparison tools. Each product page provides detailed validation data, literature references, and customer feedback. Unlike comparison-only resources, you can conveniently purchase antibodies directly through our site. Choose from polyclonal, monoclonal, or recombinant CMIP antibodies derived from various hosts such as Rabbit. Browse our products below and order directly to support your research with confidence.

Alternative names for CMIP are Cmip, CMIP, cmip.L.

20 results

CMIP Reactivity: Human WB, IHC Host: Rabbit Polyclonal unconjugated
Catalog No. ABIN7265970
$383.00
Plus shipping costs $50.00
100 μL (More quantities available)
Shipping to: United States
Delivery in 7 to 10 Business Days
 
CMIP Reactivity: Human WB Host: Rabbit Polyclonal RB42683 unconjugated
Pubmed 3 references
Catalog No. ABIN1881214
$451.00
Plus shipping costs $50.00
400 μL (More quantities available)
Shipping to: United States
Delivery in 10 to 12 Business Days
 
CMIP Reactivity: Human, Mouse, Rat WB, IHC, ICC, IF Host: Rabbit Polyclonal unconjugated
Catalog No. ABIN6260902
$494.77
Plus shipping costs $50.00
100 μL (More quantities available)
Shipping to: United States
Delivery in 11 to 13 Business Days
 
CMIP Reactivity: Human ELISA, IHC Host: Rabbit Polyclonal unconjugated
Catalog No. ABIN7146028
$394.68
Plus shipping costs $50.00
100 μg (More quantities available)
Shipping to: United States
Delivery in 13 to 17 Business Days
 
CMIP Reactivity: Human WB, ELISA, IHC Host: Rabbit Polyclonal unconjugated
Catalog No. ABIN7568340
$355.94
Plus shipping costs $50.00
100 μg
Shipping to: United States
Delivery in 12 to 15 Business Days
 
CMIP Reactivity: Human ELISA Host: Rabbit Polyclonal Biotin
Catalog No. ABIN7146029
$394.68
Plus shipping costs $50.00
100 μg (More quantities available)
Shipping to: United States
Delivery in 13 to 17 Business Days
 
CMIP Reactivity: Human ELISA Host: Rabbit Polyclonal HRP
Catalog No. ABIN7146031
$394.68
Plus shipping costs $50.00
100 μg (More quantities available)
Shipping to: United States
Delivery in 13 to 17 Business Days
 
CMIP Reactivity: Human Host: Rabbit Polyclonal FITC
Catalog No. ABIN7146030
$394.68
Plus shipping costs $50.00
100 μg (More quantities available)
Shipping to: United States
Delivery in 13 to 17 Business Days
 
CMIP Reactivity: Human IP Host: Rabbit Polyclonal unconjugated
Catalog No. ABIN7451178
$538.15
Plus shipping costs $50.00
100 μg (More quantities available)
Shipping to: United States
Delivery in 3 to 5 Business Days
 
CMIP Reactivity: Human WB, ELISA Host: Rabbit Polyclonal unconjugated
Catalog No. ABIN2595575
$1,153.53
Plus shipping costs $50.00
200 μL
Shipping to: United States
Delivery in 11 to 15 Business Days
 
CMIP Reactivity: Human WB Host: Rabbit Polyclonal unconjugated
Catalog No. ABIN1806823
$643.13
Plus shipping costs $50.00
400 μL
Shipping to: United States
Delivery in 11 to 15 Business Days
 
CMIP Reactivity: Human WB, ELISA Host: Rabbit Polyclonal FITC
Catalog No. ABIN1970912
$1,480.60
Plus shipping costs $50.00
200 μL
Shipping to: United States
Delivery in 11 to 15 Business Days
 
CMIP Reactivity: Human WB, ELISA Host: Rabbit Polyclonal HRP
Catalog No. ABIN1972795
$1,480.60
Plus shipping costs $50.00
200 μL
Shipping to: United States
Delivery in 11 to 15 Business Days
 
CMIP Reactivity: Human WB, ELISA Host: Rabbit Polyclonal PE
Catalog No. ABIN1975493
$1,480.60
Plus shipping costs $50.00
200 μL
Shipping to: United States
Delivery in 11 to 15 Business Days
 
CMIP Reactivity: Human WB, ELISA Host: Rabbit Polyclonal Biotin
Catalog No. ABIN1968612
$1,480.60
Plus shipping costs $50.00
200 μL
Shipping to: United States
Delivery in 11 to 15 Business Days
 
CMIP Reactivity: Human WB, ELISA Host: Rabbit Polyclonal APC
Catalog No. ABIN1964477
$1,480.60
Plus shipping costs $50.00
200 μL
Shipping to: United States
Delivery in 11 to 15 Business Days
 
CMIP Reactivity: Human, Mouse, Rat WB, ELISA, IHC, IP Host: Rabbit Polyclonal unconjugated
Catalog No. ABIN7112106
$450.46
Plus shipping costs $50.00
100 μg
Shipping to: United States
Delivery in 13 to 17 Business Days
 
CMIP Reactivity: Human WB, ELISA Host: Rabbit Polyclonal unconjugated
Catalog No. ABIN2235318
$920.00
Plus shipping costs $50.00
200 μL
Shipping to: United States
Delivery in 11 to 17 Business Days
 
CMIP Reactivity: Human Host: Rabbit Polyclonal unconjugated
Catalog No. ABIN7806088
$291.72
Plus shipping costs $50.00
100 μg
Shipping to: United States
Delivery in 7 to 10 Business Days
 
CMIP Reactivity: Human WB Host: Rabbit Polyclonal unconjugated
Catalog No. ABIN7837070
$553.85
Plus shipping costs $50.00
200 μL
Shipping to: United States
Delivery in 1 to 2 Business Days
 
  • Type Primary
    • Primary
  • Application
    • Western Blotting (WB)
    • ELISA
    • Immunohistochemistry (IHC)
    • Immunoprecipitation (IP)
    • Immunocytochemistry (ICC)
    • Immunofluorescence (IF)
  • Reactivity
    • Human
    • Mouse
    • Rat
  • Cited in publications
  • Images available
  • Preservative free only
  • Carrier free only
  • Host
    • Rabbit
  • Clonality
    • Polyclonal
  • Clone
    • RB42683
  • Binding Specificity
    • AA 735-764
    • AA 157-274
    • C-Term
    • AA 640-773
    • AA 701-780
    • AA 723-773
  • Conjugate
    • Un-conjugated
    • Biotin
    • FITC
    • HRP
    • APC
    • PE
  • Isotype
    • IgG
    • Ig Fraction
  • Format
    • Liquid
  • Supplier
    • antibodies-online
    • Cohesion Biosciences
    • ProteoGenix
    • USBio

Latest Publications for our CMIP Antibodies

Audard, Zhang, Copie-Bergman, Rucker-Martin, Ory, Candelier, Baia, Lang, Pawlak, Sahali: "Occurrence of minimal change nephrotic syndrome in classical Hodgkin lymphoma is closely related to the induction of c-mip in Hodgkin-Reed Sternberg cells and podocytes." in: Blood, Vol. 115, Issue 18, pp. 3756-62, (2010) (PubMed).

Kamal, Pawlak, BenMohamed, Valanciuté, Dahan, Candelier, Lang, Guellaën, Sahali: "C-mip interacts with the p85 subunit of PI3 kinase and exerts a dual effect on ERK signaling via the recruitment of Dip1 and DAP kinase." in: FEBS letters, Vol. 584, Issue 3, pp. 500-6, (2010) (PubMed).

Hanna, Kruskal, Ezekowitz, Bloom, Collier: "Role of macrophage oxidative burst in the action of anthrax lethal toxin." in: Molecular medicine (Cambridge, Mass.), Vol. 1, Issue 1, pp. 7-18, (1996) (PubMed).

Aliases for CMIP Antibodies

c-Maf-inducing protein (Cmip) Antibodies
c-Maf inducing protein (CMIP) Antibodies
c-Maf inducing protein (Cmip) Antibodies
c-Maf inducing protein L homeolog (cmip.L) Antibodies
4933407C03Rik Antibodies
5830471E12Rik Antibodies
AI314065 Antibodies
AI464126 Antibodies
RGD1306101 Antibodies
TCMIP Antibodies
tcmip Antibodies
You are here:
Chat with us!