Phone:
+1 877 302 8632
Fax:
+1 888 205 9894 (Toll-free)
E-Mail:
orders@antibodies-online.com

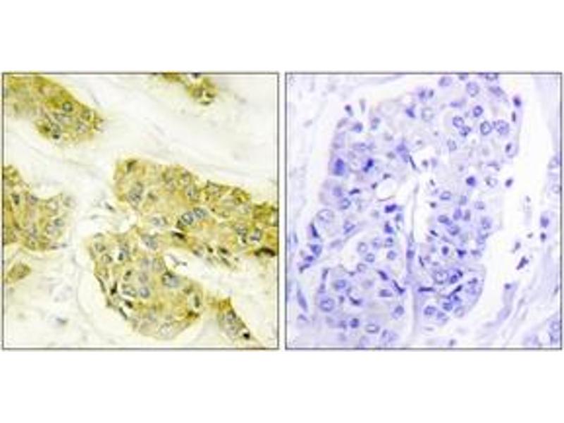
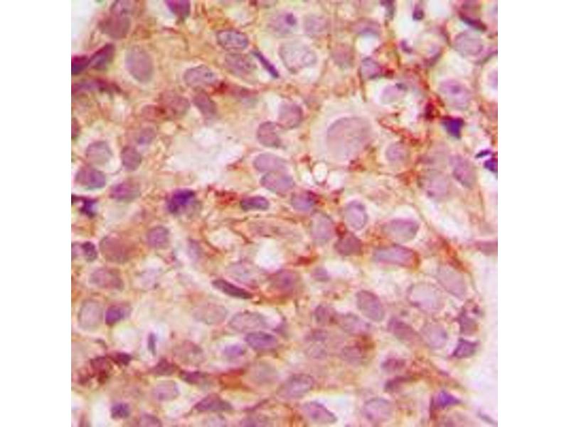
COL5A3 Antibodies

(Collagen, Type V, alpha 3 (COL5A3))

Choose one of 16 COL5A3 antibodies from our product listing based on 10 validation images.

Explore reliable COL5A3 antibodies from a broad selection of renowned manufacturers. Our portfolio enables accurate COL5A3 detection across multiple species, including Human, Monkey, Mouse, and supports diverse research applications such as WB, ELISA, IF, IHC, ICC.

Quickly find the right antibody using our search, filter, and comparison tools. Each product page provides detailed validation data, literature references, and customer feedback. Unlike comparison-only resources, you can conveniently purchase antibodies directly through our site. Choose from polyclonal, monoclonal, or recombinant COL5A3 antibodies derived from various hosts such as Rabbit, Mouse. Browse our products below and order directly to support your research with confidence.

Alternative names for COL5A3 are COL5A3, Col5a3.

16 results

COL5A3 Reactivity: Human ELISA, WB Host: Mouse Monoclonal 4B8 unconjugated
Catalog No. ABIN565485
$520.15
Plus shipping costs $50.00
100 μg
Shipping to: United States
Delivery in 11 to 14 Business Days
 
COL5A3 Reactivity: Human ELISA, IHC, WB, IF Host: Rabbit Polyclonal unconjugated
Catalog No. ABIN7188649
$262.68
Plus shipping costs $50.00
100 μg (More quantities available)
Shipping to: United States
Delivery in 13 to 17 Business Days
 
COL5A3 Reactivity: Human, Monkey, Mouse IHC, WB, IF Host: Rabbit Polyclonal unconjugated
Catalog No. ABIN7298124
$330.77
Plus shipping costs $50.00
100 μL (More quantities available)
Shipping to: United States
Delivery in 13 to 15 Business Days
 
COL5A3 Reactivity: Human ELISA, WB Host: Mouse Polyclonal unconjugated
Catalog No. ABIN565484
$359.85
Plus shipping costs $50.00
50 μL
Shipping to: United States
Delivery in 11 to 14 Business Days
 
COL5A3 Reactivity: Human ELISA, IHC, IF Host: Rabbit Polyclonal unconjugated
Catalog No. ABIN1534345
$341.00
Plus shipping costs $50.00
100 μL (More quantities available)
Shipping to: United States
Delivery in 2 to 4 Business Days
 
COL5A3 Reactivity: Human IHC, WB, IF, ICC, IP Host: Rabbit Polyclonal unconjugated
Catalog No. ABIN5619326
$799.11
Plus shipping costs $50.00
100 μL
Shipping to: United States
Delivery in 9 to 12 Business Days
 
COL5A3 Reactivity: Human ELISA, WB, IF, IHC (p) Host: Rabbit Polyclonal unconjugated
Catalog No. ABIN7214290
$379.10
Plus shipping costs $50.00
100 μL (More quantities available)
Shipping to: United States
Delivery in 12 to 16 Business Days
 
COL5A3 Reactivity: Human, Monkey IHC, WB, IF, IHC (p), ICC, IP Host: Rabbit Polyclonal unconjugated
Catalog No. ABIN2595877
$502.33
Plus shipping costs $50.00
100 μL
Shipping to: United States
Delivery in 11 to 15 Business Days
 
COL5A3 Reactivity: Human ELISA, WB Host: Mouse Monoclonal unconjugated
Catalog No. ABIN2595876
$1,111.00
Plus shipping costs $50.00
100 μg
Shipping to: United States
Delivery in 11 to 15 Business Days
 
COL5A3 Reactivity: Human Host: Rabbit Polyclonal Biotin
Catalog No. ABIN6882839
$515.90
Plus shipping costs $50.00
100 μL
Shipping to: United States
Delivery in 6 to 9 Business Days
 
COL5A3 Reactivity: Human Host: Rabbit Polyclonal Alexa Fluor 680
Catalog No. ABIN6914965
$515.90
Plus shipping costs $50.00
100 μL
Shipping to: United States
Delivery in 6 to 9 Business Days
 
COL5A3 Reactivity: Human Host: Rabbit Polyclonal Alexa Fluor 555
Catalog No. ABIN6898902
$515.90
Plus shipping costs $50.00
100 μL
Shipping to: United States
Delivery in 6 to 9 Business Days
 
COL5A3 Reactivity: Human Host: Rabbit Polyclonal Alexa Fluor 750
Catalog No. ABIN6866776
$515.90
Plus shipping costs $50.00
100 μL
Shipping to: United States
Delivery in 6 to 9 Business Days
 
COL5A3 Reactivity: Human Host: Rabbit Polyclonal Alexa Fluor 647
Catalog No. ABIN6850713
$515.90
Plus shipping costs $50.00
100 μL
Shipping to: United States
Delivery in 6 to 9 Business Days
 
COL5A3 Reactivity: Human Host: Rabbit Polyclonal Alexa Fluor 594
Catalog No. ABIN6842586
$515.90
Plus shipping costs $50.00
100 μL
Shipping to: United States
Delivery in 6 to 9 Business Days
 
COL5A3 Reactivity: Human Host: Rabbit Polyclonal Alexa Fluor 488
Catalog No. ABIN6826523
$515.90
Plus shipping costs $50.00
100 μL
Shipping to: United States
Delivery in 6 to 9 Business Days
 
  • Type Primary
    • Primary
  • Application
    • Western Blotting (WB)
    • ELISA
    • Immunofluorescence (IF)
    • Immunohistochemistry (IHC)
    • Immunocytochemistry (ICC)
    • Immunohistochemistry (Paraffin-embedded Sections) (IHC (p))
    • Immunoprecipitation (IP)
  • Reactivity
    • Human
    • Monkey
    • Mouse
  • Images available
  • Carrier free only
  • Host
    • Rabbit
    • Mouse
  • Clonality
    • Polyclonal
    • Monoclonal
  • Clone
    • 4B8
  • Binding Specificity
    • N-Term
    • AA 157-244
    • AA 157-245
    • AA 190-270
    • AA 221-270
  • Conjugate
    • Un-conjugated
    • Alexa Fluor 488
    • Alexa Fluor 555
    • Alexa Fluor 594
    • Alexa Fluor 647
    • Alexa Fluor 680
    • Alexa Fluor 750
    • Biotin
  • Isotype
    • IgG
    • IgG2b
    • IgG2b kappa
  • Format
    • Liquid
  • Supplier
    • Signalway
    • antibodies-online
    • Assay Biotechnology Company, Inc.
    • Cohesion Biosciences

Aliases for COL5A3 Antibodies

collagen type V alpha 3 chain (COL5A3) Antibodies
collagen, type V, alpha 3 (Col5a3) Antibodies
collagen type V alpha 3 chain (Col5a3) Antibodies
COL5A3 Antibodies
You are here:
Chat with us!