Phone:
+1 877 302 8632
Fax:
+1 888 205 9894 (Toll-free)
E-Mail:
orders@antibodies-online.com

Cyclin G1 Antibodies

(Cyclin G1 (CCNG1))

Choose one of 54 Cyclin G1 antibodies from our product listing based on 1 publication and 32 validation images.

Explore reliable Cyclin G1 antibodies from a broad selection of renowned manufacturers. Our portfolio enables accurate Cyclin G1 detection across multiple species, including Human, Mouse, Rat, Cow, Dog, Pig, Bat, Guinea Pig, Monkey, Rabbit, and supports diverse research applications such as WB, ELISA, FACS, IF (cc), IF (p).

Quickly find the right antibody using our search, filter, and comparison tools. Each product page provides detailed validation data, literature references, and customer feedback. Unlike comparison-only resources, you can conveniently purchase antibodies directly through our site. Choose from polyclonal, monoclonal, or recombinant Cyclin G1 antibodies derived from various hosts such as Rabbit, Mouse. Browse our products below and order directly to support your research with confidence.

Alternative names for Cyclin G1 are CCNG1, Ccng1, CycG, ccng1, ccng1.S.

54 results

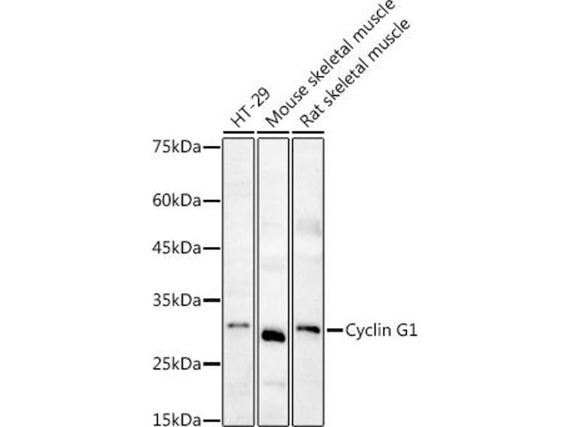
CCNG1 Reactivity: Human, Mouse WB, ELISA, IF (cc), IF (p), IHC (p), IHC (fro) Host: Rabbit Polyclonal unconjugated
Catalog No. ABIN685837
$384.62
Plus shipping costs $50.00
100 μL
Shipping to: United States
Delivery in 4 to 7 Business Days
 
CCNG1 Reactivity: Mouse WB, FACS Host: Rabbit Polyclonal RB14997 unconjugated
Pubmed 1 reference
Catalog No. ABIN655159
$451.00
Plus shipping costs $50.00
400 μL (More quantities available)
Shipping to: United States
Delivery in 10 to 12 Business Days
 
CCNG1 Reactivity: Human WB, IHC Host: Rabbit Polyclonal unconjugated
Catalog No. ABIN6138095
$383.00
Plus shipping costs $50.00
100 μL (More quantities available)
Shipping to: United States
Delivery in 7 to 10 Business Days
 
CCNG1 Reactivity: Human WB, ELISA Host: Mouse Polyclonal unconjugated
Catalog No. ABIN560215
$339.54
Plus shipping costs $50.00
50 μL
Shipping to: United States
Delivery in 11 to 14 Business Days
 
CCNG1 Reactivity: Human WB, FACS Host: Rabbit Polyclonal RB14706 unconjugated
Catalog No. ABIN654893
$451.00
Plus shipping costs $50.00
400 μL (More quantities available)
Shipping to: United States
Delivery in 10 to 12 Business Days
 
CCNG1 Reactivity: Human, Mouse, Rat WB, ELISA, IHC, IF, ICC Host: Rabbit Polyclonal unconjugated
Catalog No. ABIN6261154
$494.77
Plus shipping costs $50.00
100 μL (More quantities available)
Shipping to: United States
Delivery in 11 to 13 Business Days
 
CCNG1 Reactivity: Human WB, IF Host: Mouse Polyclonal unconjugated
Catalog No. ABIN514113
$489.14
Plus shipping costs $50.00
50 μg
Shipping to: United States
Delivery in 11 to 14 Business Days
 
CCNG1 Reactivity: Human, Mouse, Rat WB, ELISA, IHC Host: Rabbit Polyclonal unconjugated
Catalog No. ABIN7254448
$538.80
Plus shipping costs $50.00
200 μL (More quantities available)
Shipping to: United States
Delivery in 11 to 15 Business Days
 
CCNG1 Reactivity: Human, Mouse, Rat, Cow, Pig, Dog WB Host: Rabbit Polyclonal unconjugated
Catalog No. ABIN926892
$1,297.32
Plus shipping costs $50.00
100 μL
Shipping to: United States
Delivery in 16 to 22 Business Days
 
CCNG1 Reactivity: Human ELISA Host: Mouse Monoclonal 1E3 unconjugated
Catalog No. ABIN560216
$489.14
Plus shipping costs $50.00
100 μg
Shipping to: United States
Delivery in 11 to 14 Business Days
 
CCNG1 Reactivity: Human, Cow, Bat, Guinea Pig, Monkey, Rabbit WB Host: Rabbit Polyclonal unconjugated
Catalog No. ABIN6744350
$690.07
Plus shipping costs $50.00
100 μL
Shipping to: United States
Delivery in 11 to 15 Business Days
 
CCNG1 Reactivity: Human, Mouse WB, FACS, EIA Host: Rabbit Polyclonal unconjugated
Catalog No. ABIN951758
$846.00
Plus shipping costs $50.00
0.4 mL
Shipping to: United States
Delivery in 1 to 2 Business Days
 
CCNG1 Reactivity: Human, Mouse, Rat WB, ELISA, IHC Host: Rabbit Polyclonal unconjugated
Catalog No. ABIN1533251
$341.00
Plus shipping costs $50.00
100 μL (More quantities available)
Shipping to: United States
Delivery in 2 to 4 Business Days
 
CCNG1 Reactivity: Human, Mouse, Rat, Cow, Pig, Dog WB, IHC Host: Rabbit Polyclonal unconjugated
Catalog No. ABIN2792152
$483.54
Plus shipping costs $50.00
100 μL (More quantities available)
Shipping to: United States
Delivery in 2 to 4 Business Days
 
CCNG1 Reactivity: Human, Mouse WB, IF (cc), IF (p) Host: Rabbit Polyclonal AbBy Fluor® 750
Catalog No. ABIN5000823
$458.46
Plus shipping costs $50.00
100 μL
Shipping to: United States
Delivery in 16 to 20 Business Days
 
CCNG1 Reactivity: Human, Mouse WB, IF (cc), IF (p) Host: Rabbit Polyclonal AbBy Fluor® 680
Catalog No. ABIN5000822
$458.46
Plus shipping costs $50.00
100 μL
Shipping to: United States
Delivery in 16 to 20 Business Days
 
CCNG1 Reactivity: Human, Mouse WB, ELISA, IHC (p), IHC (fro) Host: Rabbit Polyclonal Biotin
Catalog No. ABIN685839
$451.08
Plus shipping costs $50.00
100 μL
Shipping to: United States
Delivery in 16 to 20 Business Days
 
CCNG1 Reactivity: Human, Mouse WB, IF (cc), IF (p) Host: Rabbit Polyclonal Cy3
Catalog No. ABIN685840
$470.46
Plus shipping costs $50.00
100 μL
Shipping to: United States
Delivery in 16 to 20 Business Days
 
CCNG1 Reactivity: Human, Mouse WB, ELISA, IHC (p), IHC (fro) Host: Rabbit Polyclonal HRP
Catalog No. ABIN685846
$470.46
Plus shipping costs $50.00
100 μL
Shipping to: United States
Delivery in 16 to 20 Business Days
 
CCNG1 Reactivity: Human, Mouse WB, IF (cc), IF (p) Host: Rabbit Polyclonal FITC
Catalog No. ABIN685844
$470.46
Plus shipping costs $50.00
100 μL
Shipping to: United States
Delivery in 16 to 20 Business Days
 
  • Type Primary
    • Primary
  • Application
    • Western Blotting (WB)
    • ELISA
    • Flow Cytometry (FACS)
    • Immunofluorescence (Cultured Cells) (IF (cc))
    • Immunofluorescence (Paraffin-embedded Sections) (IF (p))
    • Immunohistochemistry (IHC)
    • Immunofluorescence (IF)
    • Immunohistochemistry (Frozen Sections) (IHC (fro))
    • Immunohistochemistry (Paraffin-embedded Sections) (IHC (p))
    • Enzyme Immunoassay (EIA)
    • Immunocytochemistry (ICC)
  • Reactivity
    • Human
    • Mouse
    • Rat
    • Cow
    • Dog
    • Pig
    • Bat
    • Guinea Pig
    • Monkey
    • Rabbit
  • Cited in publications
  • Images available
  • Preservative free only
  • Carrier free only
  • Host
    • Rabbit
    • Mouse
  • Clonality
    • Polyclonal
    • Monoclonal
  • Clone
    • 1E3
    • RB14706
    • RB14997
  • Binding Specificity
    • AA 181-295
    • AA 20-53
    • N-Term
    • C-Term
    • AA 1-110
    • AA 1-295
    • AA 243-272
    • AA 249-280
    • AA 161-210
    • AA 27-61
    • Ile194
    • Internal Region
  • Conjugate
    • Un-conjugated
    • Biotin
    • Alexa Fluor 488
    • Alexa Fluor 555
    • Alexa Fluor 594
    • Alexa Fluor 647
    • Alexa Fluor 680
    • Alexa Fluor 750
    • FITC
    • HRP
    • APC
    • AbBy Fluor® 350
    • AbBy Fluor® 488
    • AbBy Fluor® 555
    • AbBy Fluor® 594
    • AbBy Fluor® 647
    • AbBy Fluor® 680
    • AbBy Fluor® 750
    • Cy3
    • Cy5
    • Cy5.5
    • Cy7
    • PE
  • Isotype
    • IgG
    • Ig Fraction
    • IgG2a
  • Format
    • Liquid
    • Lyophilized
  • Supplier
    • antibodies-online
    • Signalway
    • Acris
    • USBio
    • Assay Biotechnology Company, Inc.
    • Aviva Systems Biology

Latest Publications for our Cyclin G1 Antibodies

Selcuklu, Donoghue, Rehmet, de Souza Gomes, Fort, Kovvuru, Muniyappa, Kerin, Enright, Spillane: "MicroRNA-9 inhibition of cell proliferation and identification of novel miR-9 targets by transcriptome profiling in breast cancer cells." in: The Journal of biological chemistry, Vol. 287, Issue 35, pp. 29516-28, (2012) (PubMed).

Aliases for Cyclin G1 Antibodies

cyclin G1 (CCNG1) Antibodies
cyclin G1 (Ccng1) Antibodies
Cyclin G (CycG) Antibodies
cyclin G1 (ccng1) Antibodies
cyclin G1 S homeolog (ccng1.S) Antibodies
AI314029 Antibodies
anon-EST:Liang-1.25 Antibodies
anon-EST:Liang-2.24 Antibodies
cb138 Antibodies
CCNG Antibodies
Ccng Antibodies
ccng1 Antibodies
CG 11525 Antibodies
CG11525 Antibodies
clone 1.25 Antibodies
clone 2.24 Antibodies
CYCG Antibodies
dCycG Antibodies
Dmel\\CG11525 Antibodies
fd08g04 Antibodies
i205 Antibodies
i261 Antibodies
sb:cb138 Antibodies
wu:fb07e04 Antibodies
wu:fd08g04 Antibodies
zgc:56595 Antibodies
You are here:
Chat with us!