Phone:
+1 877 302 8632
Fax:
+1 888 205 9894 (Toll-free)
E-Mail:
orders@antibodies-online.com

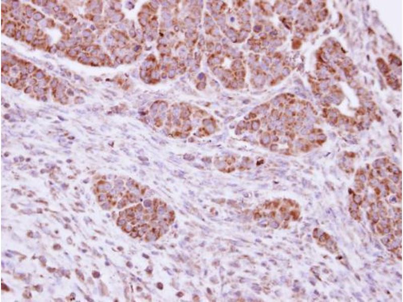
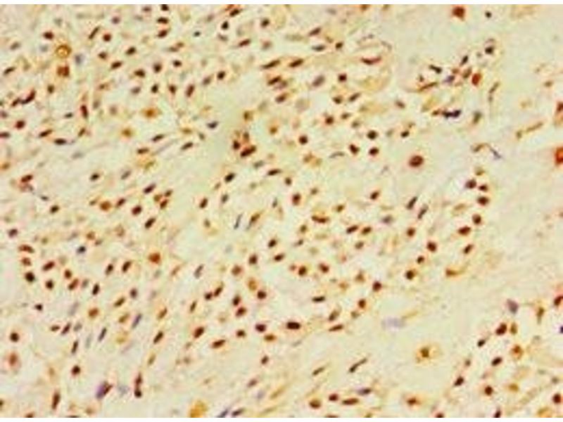
DUSP7 Antibodies

(Dual Specificity Phosphatase 7 (DUSP7))

Choose one of 42 DUSP7 antibodies from our product listing based on 15 validation images.

Explore reliable DUSP7 antibodies from a broad selection of renowned manufacturers. Our portfolio enables accurate DUSP7 detection across multiple species, including Human, Mouse, Rat, Cow, Guinea Pig, Horse, Zebrafish (Danio rerio), Dog, Pig, Rabbit, Monkey, Xenopus laevis, and supports diverse research applications such as WB, ELISA, IF (cc), IF (p), IHC.

Quickly find the right antibody using our search, filter, and comparison tools. Each product page provides detailed validation data, literature references, and customer feedback. Unlike comparison-only resources, you can conveniently purchase antibodies directly through our site. Choose from polyclonal, monoclonal, or recombinant DUSP7 antibodies derived from various hosts such as Rabbit, Mouse. Browse our products below and order directly to support your research with confidence.

Alternative names for DUSP7 are DUSP7, dusp7, dus7, Dusp7.

42 results

DUSP7 Reactivity: Human WB, IHC (p), ICC, IF Host: Rabbit Polyclonal unconjugated
Catalog No. ABIN2856666
$564.19
Plus shipping costs $50.00
100 μL
Shipping to: United States
Delivery in 3 to 5 Business Days
 
DUSP7 Reactivity: Human WB, IHC, ELISA Host: Rabbit Polyclonal unconjugated
Catalog No. ABIN7150785
$394.68
Plus shipping costs $50.00
100 μL (More quantities available)
Shipping to: United States
Delivery in 13 to 17 Business Days
 
DUSP7 Reactivity: Human WB, IHC (p) Host: Rabbit Polyclonal RB5816 unconjugated
Catalog No. ABIN392865
$451.00
Plus shipping costs $50.00
400 μL (More quantities available)
Shipping to: United States
Delivery in 10 to 12 Business Days
 
DUSP7 Reactivity: Human, Mouse, Rat IHC, ELISA Host: Rabbit Polyclonal unconjugated
Catalog No. ABIN7246991
$538.80
Plus shipping costs $50.00
200 μL (More quantities available)
Shipping to: United States
Delivery in 11 to 15 Business Days
 
DUSP7 Reactivity: Human, Mouse, Rat, Cow, Guinea Pig, Horse, Pig WB Host: Rabbit Polyclonal unconjugated
Catalog No. ABIN6750329
$690.07
Plus shipping costs $50.00
100 μL
Shipping to: United States
Delivery in 11 to 15 Business Days
 
DUSP7 Reactivity: Human WB Host: Mouse Polyclonal unconjugated
Catalog No. ABIN515109
$489.14
Plus shipping costs $50.00
50 μg
Shipping to: United States
Delivery in 11 to 14 Business Days
 
DUSP7 Reactivity: Human WB Host: Rabbit Polyclonal unconjugated
Catalog No. ABIN515110
$474.46
Plus shipping costs $50.00
100 μg
Shipping to: United States
Delivery in 11 to 14 Business Days
 
DUSP7 Reactivity: Human WB, IHC (p), EIA Host: Rabbit Polyclonal unconjugated
Catalog No. ABIN360782
$846.00
Plus shipping costs $50.00
0.4 mL
Shipping to: United States
Delivery in 1 to 2 Business Days
 
DUSP7 Reactivity: Human WB, IF (cc), IF (p) Host: Rabbit Polyclonal AbBy Fluor® 750
Catalog No. ABIN5001564
$458.46
Plus shipping costs $50.00
100 μL
Shipping to: United States
Delivery in 16 to 20 Business Days
 
DUSP7 Reactivity: Human WB, IF (cc), IF (p) Host: Rabbit Polyclonal AbBy Fluor® 680
Catalog No. ABIN5001563
$458.46
Plus shipping costs $50.00
100 μL
Shipping to: United States
Delivery in 16 to 20 Business Days
 
DUSP7 Reactivity: Human WB, IHC, ELISA Host: Rabbit Polyclonal unconjugated
Catalog No. ABIN7569066
$355.94
Plus shipping costs $50.00
100 μg
Shipping to: United States
Delivery in 12 to 15 Business Days
 
DUSP7 Reactivity: Human WB, IF (cc), IF (p) Host: Rabbit Polyclonal Cy5.5
Catalog No. ABIN894613
$470.46
Plus shipping costs $50.00
100 μL
Shipping to: United States
Delivery in 16 to 20 Business Days
 
DUSP7 Reactivity: Human WB, ELISA, IHC (p), IHC (fro) Host: Rabbit Polyclonal Biotin
Catalog No. ABIN894610
$451.08
Plus shipping costs $50.00
100 μL
Shipping to: United States
Delivery in 16 to 20 Business Days
 
DUSP7 Reactivity: Human WB, IF (cc), IF (p) Host: Rabbit Polyclonal AbBy Fluor® 647
Catalog No. ABIN894609
$458.46
Plus shipping costs $50.00
100 μL
Shipping to: United States
Delivery in 16 to 20 Business Days
 
DUSP7 Reactivity: Human WB, IF (cc), IF (p) Host: Rabbit Polyclonal AbBy Fluor® 555
Catalog No. ABIN894606
$458.46
Plus shipping costs $50.00
100 μL
Shipping to: United States
Delivery in 16 to 20 Business Days
 
DUSP7 Reactivity: Human WB, IF (cc), IF (p) Host: Rabbit Polyclonal FITC
Catalog No. ABIN894604
$470.46
Plus shipping costs $50.00
100 μL
Shipping to: United States
Delivery in 16 to 20 Business Days
 
DUSP7 Reactivity: Human WB, IF (cc), IF (p) Host: Rabbit Polyclonal AbBy Fluor® 488
Catalog No. ABIN894603
$458.46
Plus shipping costs $50.00
100 μL
Shipping to: United States
Delivery in 16 to 20 Business Days
 
DUSP7 Reactivity: Human WB, IF (cc), IF (p) Host: Rabbit Polyclonal AbBy Fluor® 350
Catalog No. ABIN894602
$458.46
Plus shipping costs $50.00
100 μL
Shipping to: United States
Delivery in 16 to 20 Business Days
 
DUSP7 Reactivity: Human WB, IF (cc), IF (p) Host: Rabbit Polyclonal Cy7
Catalog No. ABIN894600
$470.46
Plus shipping costs $50.00
100 μL
Shipping to: United States
Delivery in 16 to 20 Business Days
 
DUSP7 Reactivity: Human WB, IF (cc), IF (p) Host: Rabbit Polyclonal Cy5
Catalog No. ABIN894599
$470.46
Plus shipping costs $50.00
100 μL
Shipping to: United States
Delivery in 16 to 20 Business Days
 
  • Type Primary
    • Primary
  • Application
    • Western Blotting (WB)
    • ELISA
    • Immunofluorescence (Cultured Cells) (IF (cc))
    • Immunofluorescence (Paraffin-embedded Sections) (IF (p))
    • Immunohistochemistry (IHC)
    • Immunohistochemistry (Paraffin-embedded Sections) (IHC (p))
    • Immunohistochemistry (Frozen Sections) (IHC (fro))
    • Immunocytochemistry (ICC)
    • Immunofluorescence (IF)
    • Enzyme Immunoassay (EIA)
    • Immunohistochemistry (Formalin-fixed Paraffin-embedded Sections) (IHC (fp))
    • Immunofluorescence (fixed cells) (IF/ICC)
  • Reactivity
    • Human
    • Mouse
    • Rat
    • Cow
    • Guinea Pig
    • Horse
    • Zebrafish (Danio rerio)
    • Dog
    • Pig
    • Rabbit
    • Monkey
    • Xenopus laevis
  • Images available
  • Preservative free only
  • Carrier free only
  • Host
    • Rabbit
    • Mouse
  • Clonality
    • Polyclonal
  • Clone
    • RB5816
  • Binding Specificity
    • AA 321-419
    • AA 96-127
    • AA 1-320
    • N-Term
    • AA 258-350
    • AA 100-385
    • AA 139-188
    • AA 160-419
    • AA 258-320
    • AA 67-116
    • C-Term
    • Center
    • Internal Region
  • Conjugate
    • Un-conjugated
    • Biotin
    • FITC
    • HRP
    • APC
    • AbBy Fluor® 350
    • AbBy Fluor® 488
    • AbBy Fluor® 555
    • AbBy Fluor® 594
    • AbBy Fluor® 647
    • AbBy Fluor® 680
    • AbBy Fluor® 750
    • Cy3
    • Cy5
    • Cy5.5
    • Cy7
    • PE
  • Isotype
    • IgG
    • Ig Fraction
  • Format
    • Liquid
    • Lyophilized
  • Supplier
    • antibodies-online
    • Acris
    • Aviva Systems Biology
    • Cohesion Biosciences
    • ProteoGenix
    • RayBiotech
    • Signalway
    • USBio

Latest Publications for our DUSP7 Antibodies

Orlev, Ehud, Tamar, Orit, Yoel, Witz: "Does the dual-specificity MAPK phosphatase Pyst2-L lead a monogamous relationship with the Erk2 protein?" in: Immunology letters, Vol. 92, Issue 1-2, pp. 149-56, (2004) (PubMed).

Levy-Nissenbaum, Sagi-Assif, Kapon, Hantisteanu, Burg, Raanani, Avigdor, Ben-Bassat, Witz: "Dual-specificity phosphatase Pyst2-L is constitutively highly expressed in myeloid leukemia and other malignant cells." in: Oncogene, Vol. 22, Issue 48, pp. 7649-60, (2003) (PubMed).

Levy-Nissenbaum, Sagi-Assif, Raanani, Avigdor, Ben-Bassat, Witz: "cDNA microarray analysis reveals an overexpression of the dual-specificity MAPK phosphatase PYST2 in acute leukemia." in: Methods in enzymology, Vol. 366, pp. 103-13, (2003) (PubMed).

Aliases for DUSP7 Antibodies

dual specificity phosphatase 7 (DUSP7) Antibodies
dual specificity phosphatase 7 (dusp7) Antibodies
Dual specificity protein phosphatase 7 (dus7) Antibodies
dual specificity phosphatase 7 (Dusp7) Antibodies
AU015694 Antibodies
DUSP7 Antibodies
mkp-x Antibodies
mkp-X Antibodies
mkpx Antibodies
MKPX Antibodies
Mkpx Antibodies
pyst2 Antibodies
PYST2 Antibodies
Pyst2 Antibodies
You are here:
Chat with us!