Phone:
+1 877 302 8632
Fax:
+1 888 205 9894 (Toll-free)
E-Mail:
orders@antibodies-online.com

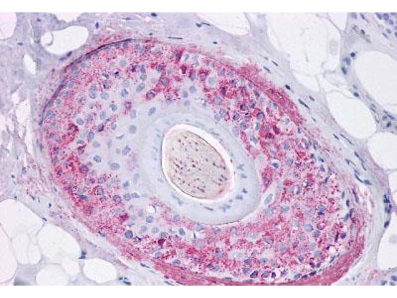
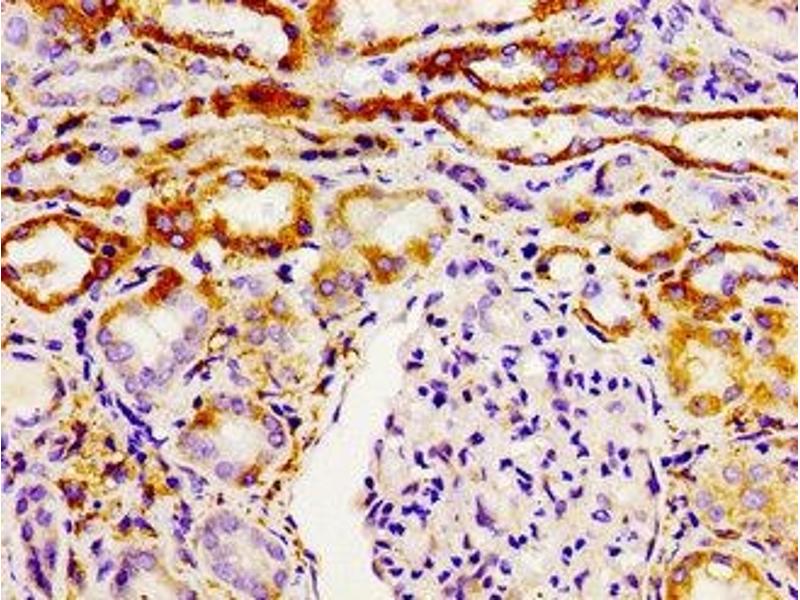
GHSR Antibodies

(Growth Hormone Secretagogue Receptor (GHSR))

Choose one of 45 GHSR antibodies from our product listing based on 26 validation images.

Explore reliable GHSR antibodies from a broad selection of renowned manufacturers. Our portfolio enables accurate GHSR detection across multiple species, including Human, Mouse, Rat, Cow, Dog, Guinea Pig, Horse, Rabbit, Sheep, Bat, Goat, Hamster, Monkey, Pig, and supports diverse research applications such as WB, ELISA, IHC, IHC (p), ICC.

Quickly find the right antibody using our search, filter, and comparison tools. Each product page provides detailed validation data, literature references, and customer feedback. Unlike comparison-only resources, you can conveniently purchase antibodies directly through our site. Choose from polyclonal, monoclonal, or recombinant GHSR antibodies derived from various hosts such as Rabbit. Browse our products below and order directly to support your research with confidence.

Alternative names for GHSR are GHSR, Smp_164730, Ghsr.

45 results

KO Validated GHSR Reactivity: Rat WB, IHC, FACS, IF, IC, LCI Host: Rabbit Polyclonal unconjugated
Catalog No. ABIN7043264
$854.77
Plus shipping costs $50.00
25 μL (More quantities available)
Shipping to: United States
Delivery in 11 to 14 Business Days
 
GHSR Reactivity: Human, Mouse, Rat WB, IHC Host: Rabbit Polyclonal unconjugated
Catalog No. ABIN3188065
$402.79
Plus shipping costs $50.00
100 μL (More quantities available)
Shipping to: United States
Delivery in 11 to 15 Business Days
 
GHSR Reactivity: Human, Mouse WB, IHC (p) Host: Rabbit Polyclonal RB18124 unconjugated
Catalog No. ABIN655816
$451.00
Plus shipping costs $50.00
400 μL (More quantities available)
Shipping to: United States
Delivery in 10 to 12 Business Days
 
GHSR Reactivity: Human, Monkey IHC, IHC (p) Host: Rabbit Polyclonal unconjugated
Catalog No. ABIN1048650
$498.30
Plus shipping costs $50.00
50 μg
Shipping to: United States
Delivery in 11 to 15 Business Days
 
GHSR Reactivity: Human, Mouse, Rat WB, ELISA, IHC, ICC, IF Host: Rabbit Polyclonal unconjugated
Catalog No. ABIN6257250
$494.77
Plus shipping costs $50.00
100 μL (More quantities available)
Shipping to: United States
Delivery in 11 to 13 Business Days
 
GHSR Reactivity: Human ELISA, IHC Host: Rabbit Polyclonal unconjugated
Catalog No. ABIN7154513
$394.68
Plus shipping costs $50.00
100 μg (More quantities available)
Shipping to: United States
Delivery in 13 to 17 Business Days
 
GHSR Reactivity: Human, Mouse, Rat, Cow, Dog, Guinea Pig, Horse, Rabbit, Sheep, Goat, Bat, Hamster, Monkey, Pig WB Host: Rabbit Polyclonal unconjugated
Catalog No. ABIN6748194
$690.07
Plus shipping costs $50.00
100 μL
Shipping to: United States
Delivery in 11 to 15 Business Days
 
GHSR Reactivity: Human, Rat, Cow, Dog, Guinea Pig, Horse, Rabbit, Sheep, Bat, Hamster WB Host: Rabbit Polyclonal unconjugated
Catalog No. ABIN6748308
$690.07
Plus shipping costs $50.00
100 μL
Shipping to: United States
Delivery in 11 to 15 Business Days
 
GHSR Reactivity: Human WB Host: Rabbit Polyclonal unconjugated
Catalog No. ABIN7267520
$383.00
Plus shipping costs $50.00
100 μL (More quantities available)
Shipping to: United States
Delivery in 7 to 10 Business Days
 
GHSR Reactivity: Human, Mouse, Rat WB, ELISA Host: Rabbit Polyclonal unconjugated
Catalog No. ABIN790871
$552.20
Plus shipping costs $50.00
100 μL
Shipping to: United States
Delivery in 11 to 15 Business Days
 
GHSR Reactivity: Human, Mouse WB, IHC (p), EIA Host: Rabbit Polyclonal unconjugated
Catalog No. ABIN952512
$846.00
Plus shipping costs $50.00
0.4 mL
Shipping to: United States
Delivery in 1 to 2 Business Days
 
GHSR Reactivity: Rat FACS Host: Rabbit Polyclonal FITC
Catalog No. ABIN7043265
$1,198.15
Plus shipping costs $50.00
50 μL (More quantities available)
Shipping to: United States
Delivery in 11 to 14 Business Days
 
GHSR Reactivity: Human WB, IHC, ICC, IP Host: Rabbit Polyclonal unconjugated
Catalog No. ABIN7639882
$326.15
Plus shipping costs $50.00
100 μL (More quantities available)
Shipping to: United States
Delivery in 13 to 17 Business Days
 
GHSR Reactivity: Human WB, ELISA, IHC Host: Rabbit Polyclonal unconjugated
Catalog No. ABIN7569565
$355.94
Plus shipping costs $50.00
100 μg
Shipping to: United States
Delivery in 12 to 15 Business Days
 
KO Validated GHSR Reactivity: Human WB, IHC (p), ICC, IF Host: Rabbit Polyclonal unconjugated
Catalog No. ABIN7464860
$740.00
Plus shipping costs $50.00
100 μL
Shipping to: United States
Delivery in 3 to 5 Business Days
 
GHSR Reactivity: Human ELISA Host: Rabbit Polyclonal HRP
Catalog No. ABIN7154516
$394.68
Plus shipping costs $50.00
100 μg (More quantities available)
Shipping to: United States
Delivery in 13 to 17 Business Days
 
GHSR Reactivity: Human ELISA Host: Rabbit Polyclonal Biotin
Catalog No. ABIN7154514
$394.68
Plus shipping costs $50.00
100 μg (More quantities available)
Shipping to: United States
Delivery in 13 to 17 Business Days
 
GHSR Reactivity: Human Host: Rabbit Polyclonal FITC
Catalog No. ABIN7154515
$394.68
Plus shipping costs $50.00
100 μg (More quantities available)
Shipping to: United States
Delivery in 13 to 17 Business Days
 
GHSR Reactivity: Rat WB, ELISA Host: Rabbit Polyclonal unconjugated
Catalog No. ABIN6735074
$1,300.20
Plus shipping costs $50.00
100 μg
Shipping to: United States
Delivery in 11 to 15 Business Days
 
GHSR Reactivity: Human ELISA Host: Rabbit Polyclonal unconjugated
Catalog No. ABIN1822529
$1,592.07
Plus shipping costs $50.00
200 μg
Shipping to: United States
Delivery in 11 to 15 Business Days
 
  • Type Primary
    • Primary
  • Application
    • Western Blotting (WB)
    • ELISA
    • Immunohistochemistry (IHC)
    • Immunohistochemistry (Paraffin-embedded Sections) (IHC (p))
    • Immunocytochemistry (ICC)
    • Immunofluorescence (IF)
    • Flow Cytometry (FACS)
    • Immunoprecipitation (IP)
    • Enzyme Immunoassay (EIA)
    • Immunochromatography (IC)
    • Live Cell Imaging (LCI)
  • Reactivity
    • Human
    • Mouse
    • Rat
    • Cow
    • Dog
    • Guinea Pig
    • Horse
    • Rabbit
    • Sheep
    • Bat
    • Goat
    • Hamster
    • Monkey
    • Pig
  • Images available
  • Preservative free only
  • Carrier free only
  • Host
    • Rabbit
  • Clonality
    • Polyclonal
  • Clone
    • RB18124
  • Binding Specificity
    • C-Term
    • AA 326-357
    • AA 1-40
    • AA 333-365
    • N-Term
    • AA 1-70
    • AA 197-207
    • Extracellular
    • Extracellular Domain
    • AA 1-100
    • AA 237-286
    • AA 245-289
    • AA 330-366
    • Cytosolic
    • Internal Region
  • Conjugate
    • Un-conjugated
    • FITC
    • Biotin
    • HRP
    • APC
    • Alexa Fluor 488
    • Alexa Fluor 555
    • Alexa Fluor 594
    • Alexa Fluor 647
    • Alexa Fluor 680
    • Alexa Fluor 750
    • PE
  • Isotype
    • IgG
    • Ig Fraction
  • Format
    • Liquid
    • Lyophilized
  • Grade
    • KO Validated
  • Supplier
    • antibodies-online
    • Signalway
    • USBio
    • Alomone Labs
    • Covalab
    • Abbexa
    • Acris
    • Aviva Systems Biology
    • Biomatik

Aliases for GHSR Antibodies

growth hormone secretagogue receptor (GHSR) Antibodies
growth hormone secretagogue receptor,putative (Smp_164730) Antibodies
growth hormone secretagogue receptor (Ghsr) Antibodies
C530020I22Rik Antibodies
GHSR Antibodies
You are here:
Chat with us!