Phone:
+1 877 302 8632
Fax:
+1 888 205 9894 (Toll-free)
E-Mail:
orders@antibodies-online.com

HSF1 Antibodies

(Heat Shock Factor Protein 1 (HSF1))

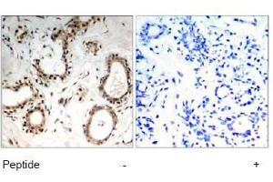
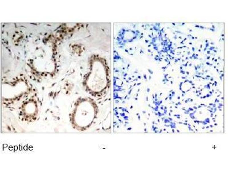
Choose one of 212 HSF1 antibodies from our product listing based on 4 publications and 203 validation images.

Explore reliable HSF1 antibodies from a broad selection of renowned manufacturers. Our portfolio enables accurate HSF1 detection across multiple species, including Human, Mouse, Rat, Cow, Rabbit, Dog, Monkey, Guinea Pig, Pig, Hamster, Horse, Chlamydomonas reinhardtii, Goat, Mammalian, and supports diverse research applications such as WB, IHC, ELISA, IF, ICC.

Quickly find the right antibody using our search, filter, and comparison tools. Each product page provides detailed validation data, literature references, and customer feedback. Unlike comparison-only resources, you can conveniently purchase antibodies directly through our site. Choose from polyclonal, monoclonal, or recombinant HSF1 antibodies derived from various hosts such as Rabbit, Rat, Mouse. Browse our products below and order directly to support your research with confidence.

Alternative names for HSF1 are hsf1, hsf-1, Hsf1, HSF1, hsf1.S.

212 results

HSF1 Reactivity: Human, Cow, Monkey WB, IHC, IF Host: Rabbit Polyclonal unconjugated
Catalog No. ABIN7300840
$376.92
Plus shipping costs $50.00
100 μL (More quantities available)
Shipping to: United States
Delivery in 13 to 15 Business Days
 
HSF1 Reactivity: Human, Mouse, Rat WB, IHC (p), FACS Host: Rabbit Monoclonal 370000 unconjugated
Catalog No. ABIN5557489
$490.77
Plus shipping costs $50.00
100 μL
Shipping to: United States
Delivery in 8 to 12 Business Days
 
HSF1 Reactivity: Human WB, ELISA Host: Rabbit Polyclonal unconjugated
Catalog No. ABIN7180023
$392.04
Plus shipping costs $50.00
100 μL
Shipping to: United States
Delivery in 13 to 17 Business Days
 
HSF1 Reactivity: Human, Mouse WB, ELISA, IHC, IF Host: Rabbit Polyclonal unconjugated
Catalog No. ABIN3185092
$402.79
Plus shipping costs $50.00
100 μL (More quantities available)
Shipping to: United States
Delivery in 11 to 15 Business Days
 
HSF1 Reactivity: Human, Mouse, Rat, Cow, Rabbit, Dog, Pig WB Host: Rabbit Polyclonal unconjugated
Catalog No. ABIN6736058
$690.07
Plus shipping costs $50.00
100 μL
Shipping to: United States
Delivery in 11 to 15 Business Days
 
HSF1 Reactivity: Human, Mouse, Rat, Cow WB Host: Rabbit Polyclonal unconjugated
Catalog No. ABIN927650
$1,297.32
Plus shipping costs $50.00
100 μL
Shipping to: United States
Delivery in 16 to 22 Business Days
 
HSF1 Reactivity: Human, Mouse WB, ELISA, IHC, IF Host: Rabbit Polyclonal unconjugated
Catalog No. ABIN3182032
$402.79
Plus shipping costs $50.00
100 μL (More quantities available)
Shipping to: United States
Delivery in 11 to 15 Business Days
 
HSF1 Reactivity: Human ELISA, IHC Host: Rabbit Polyclonal unconjugated
Catalog No. ABIN7138775
$475.20
Plus shipping costs $50.00
100 μL
Shipping to: United States
Delivery in 13 to 17 Business Days
 
HSF1 Reactivity: Human, Mouse WB, ELISA, IHC Host: Rabbit Polyclonal unconjugated
Catalog No. ABIN1532016
$341.00
Plus shipping costs $50.00
100 μL (More quantities available)
Shipping to: United States
Delivery in 2 to 4 Business Days
 
HSF1 Reactivity: Human, Mouse ELISA, IHC Host: Rabbit Polyclonal unconjugated
Pubmed 1 reference
Catalog No. ABIN1532015
$341.00
Plus shipping costs $50.00
100 μL (More quantities available)
Shipping to: United States
Delivery in 2 to 4 Business Days
 
HSF1 Reactivity: Human, Mouse ELISA, IF Host: Rabbit Polyclonal unconjugated
Catalog No. ABIN3031161
$612.54
Plus shipping costs $50.00
0.4 mL (More quantities available)
Shipping to: United States
Delivery in 2 to 4 Business Days
 
HSF1 Reactivity: Human WB, IHC (p) Host: Rabbit Polyclonal unconjugated
Catalog No. ABIN197434
$588.00
Plus shipping costs $50.00
0.1 mL (More quantities available)
Shipping to: United States
Delivery in 1 to 2 Business Days
 
HSF1 Reactivity: Human, Mouse WB, IF/ICC Host: Rabbit Polyclonal unconjugated
Catalog No. ABIN3001529
$780.66
Plus shipping costs $50.00
400 μL (More quantities available)
Shipping to: United States
Delivery in 10 to 18 Business Days
 
HSF1 Reactivity: Human, Mouse WB, ELISA, IHC Host: Rabbit Polyclonal unconjugated
Catalog No. ABIN1531865
$341.00
Plus shipping costs $50.00
100 μL (More quantities available)
Shipping to: United States
Delivery in 2 to 4 Business Days
 
HSF1 Reactivity: Human WB, IHC (p) Host: Rabbit Polyclonal unconjugated
Catalog No. ABIN5535409
$680.63
Plus shipping costs $50.00
400 μL
Shipping to: United States
Delivery in 2 to 4 Business Days
 
HSF1 Reactivity: Human, Mouse, Rat, Cow, Rabbit, Guinea Pig, Dog, Pig WB Host: Rabbit Polyclonal unconjugated
Catalog No. ABIN2792576
$483.54
Plus shipping costs $50.00
100 μL (More quantities available)
Shipping to: United States
Delivery in 2 to 4 Business Days
 
HSF1 Reactivity: Human, Mouse, Rat WB, IF (p), IF (cc) Host: Rabbit Polyclonal AbBy Fluor® 750
Catalog No. ABIN5004894
$458.46
Plus shipping costs $50.00
100 μL
Shipping to: United States
Delivery in 16 to 20 Business Days
 
HSF1 Reactivity: Human, Mouse, Rat WB, IF (p), IF (cc) Host: Rabbit Polyclonal AbBy Fluor® 680
Catalog No. ABIN5004893
$458.46
Plus shipping costs $50.00
100 μL
Shipping to: United States
Delivery in 16 to 20 Business Days
 
HSF1 Reactivity: Human WB, IHC, IP, IF Host: Rabbit Monoclonal R08-4I1 unconjugated Recombinant Antibody
Catalog No. ABIN7516749
$634.34
Plus shipping costs $50.00
100 μL
Shipping to: United States
Delivery in 11 to 14 Business Days
 
HSF1 Reactivity: Human WB, ELISA, IHC, ICC Host: Rabbit Monoclonal 2A72A7 unconjugated Recombinant Antibody
Catalog No. ABIN7541784
$917.40
Plus shipping costs $50.00
100 μL
Shipping to: United States
Delivery in 11 to 14 Business Days
 
  • Type Primary
    • Primary
  • Application
    • Western Blotting (WB)
    • Immunohistochemistry (IHC)
    • ELISA
    • Immunofluorescence (IF)
    • Immunocytochemistry (ICC)
    • Immunoprecipitation (IP)
    • Gel Shift (GS)
    • Flow Cytometry (FACS)
    • Immunohistochemistry (Paraffin-embedded Sections) (IHC (p))
    • Immunofluorescence (Paraffin-embedded Sections) (IF (p))
    • Immunofluorescence (Cultured Cells) (IF (cc))
    • Immunohistochemistry (Frozen Sections) (IHC (fro))
    • Immunohistochemistry (Formalin-fixed Paraffin-embedded Sections) (IHC (fp))
    • Immunofluorescence (fixed cells) (IF/ICC)
    • Enzyme Immunoassay (EIA)
    • Immunochromatography (IC)
    • Fluorescence Microscopy (FM)
    • Radioimmunoassay (RIA)
  • Reactivity
    • Human
    • Mouse
    • Rat
    • Cow
    • Rabbit
    • Dog
    • Monkey
    • Guinea Pig
    • Pig
    • Hamster
    • Horse
    • Chlamydomonas reinhardtii
    • Goat
    • Mammalian
  • Cited in publications
  • Images available
  • Preservative free only
  • Carrier free only
  • Host
    • Rabbit
    • Rat
    • Mouse
    • Sheep
  • Clonality
    • Polyclonal
    • Monoclonal
  • Clone
    • 4B4
    • 10H8
    • S07-0G0
    • SR2246
    • SU31-03
    • 10H4
    • 10F711
    • 1A11
    • 23GB2715
    • 24GB5400
    • 24GB5405
    • 24GB5445
    • 25GB555
    • 2A7
    • 2A72A7
    • 370000
    • 4D5F4
    • BHI-8
    • R08-4I1
    • RB2562
  • Binding Specificity
    • pSer326
    • AA 378-395
    • AA 425-439
    • AA 351-450
    • pThr142
    • AA 278-309
    • AA 72-100
    • pSer303
    • C-Term
    • pSer307
    • AA 1-529
    • AA 420-529
    • N-Term
    • Sumoylation Site
    • pSer121
    • AA 225-275
    • AA 256-359
    • AA 301-305
    • AA 305-309
    • AA 425-475
    • AA 479-529
    • Center
    • Ser121
    • Ser303
    • Ser307
    • Thr142
    • AA 1-503
    • AA 108-157
    • AA 124-247
    • AA 15-288
    • AA 267-315
    • AA 270-319
    • AA 273-322
    • AA 350-529
    • AA 71-100
    • AA 86-135
    • AA 87-136
    • Asp135
    • Internal Region
    • Ser50
  • Conjugate
    • Un-conjugated
    • Biotin
    • FITC
    • HRP
    • PE
    • APC
    • Alexa Fluor 488
    • Alexa Fluor 555
    • Alexa Fluor 594
    • Alexa Fluor 647
    • Alexa Fluor 680
    • Alexa Fluor 750
    • PerCP
    • Alexa Fluor 350
    • Alexa Fluor 405
    • Atto 390
    • Atto 488
    • Atto 594
    • AbBy Fluor® 350
    • AbBy Fluor® 488
    • AbBy Fluor® 555
    • AbBy Fluor® 594
    • AbBy Fluor® 647
    • AbBy Fluor® 680
    • AbBy Fluor® 750
    • Cy3
    • Cy5
    • Cy5.5
    • Cy7
  • Isotype
    • IgG
    • IgG1
    • Ig Fraction
    • IgG2a
    • IgG2b
  • Protein Type
    • Recombinant Antibody
  • Format
    • Liquid
    • Lyophilized
  • Grade
    • KD Validated
  • Supplier
    • antibodies-online
    • Signalway
    • Rockland
    • Abbexa
    • Cohesion Biosciences
    • Assaypro
    • Assay Biotechnology Company, Inc.
    • ProSci
    • USBio
    • Acris
    • Aviva Systems Biology
    • Boster Bio
    • NSJ Bioreagents
    • RayBiotech
    • Agrisera
    • Angio-Proteomie
    • Covalab
    • Enogene Biotech
    • QED Bioscience

Latest Publications for our HSF1 Antibodies

Rogers, Morris, Wheatley, Archer, McCoin, White, Wilson, Meers, Koch, Britton, Thyfault, Geiger: "Deficiency in the Heat Stress Response Could Underlie Susceptibility to Metabolic Disease." in: Diabetes, (2016) (PubMed).

Liao, Xue, Zhang, Feng, Liu, Zhang: "Higher heat shock factor 1 expression in tumor stroma predicts poor prognosis in esophageal squamous cell carcinoma patients." in: Journal of translational medicine, Vol. 13, pp. 338, (2016) (PubMed).

Zhang, He, Lu, Bian, Yang, Fu, Wu, Li: "HSF1 Relieves Amyloid-?-Induced Cardiomyocytes Apoptosis." in: Cell biochemistry and biophysics, (2015) (PubMed).

Evert, Frau, Tomasi, Latte, Simile, Seddaiu, Zimmermann, Ladu, Staniscia, Brozzetti, Solinas, Dombrowski, Feo, Pascale, Calvisi: "Deregulation of DNA-dependent protein kinase catalytic subunit contributes to human hepatocarcinogenesis development and has a putative prognostic value." in: British journal of cancer, Vol. 109, Issue 10, pp. 2654-64, (2013) (PubMed).

Tamaru, Hattori, Ninomiya, Kawamura, Varès, Honda, Mishra, Wang, Benjamin, Sassone-Corsi, Ozawa, Takamatsu: "ROS Stress Resets Circadian Clocks to Coordinate Pro-Survival Signals." in: PLoS ONE, Vol. 8, Issue 12, pp. e82006, (2013) (PubMed).

Chang, Chen, Lee, Lin, Kung, Lin, Wu, Wu, Chen, Lee-Chen, Chen: "Aqueous Extract of Paeonia lactiflora and Paeoniflorin as Aggregation Reducers Targeting Chaperones in Cell Models of Spinocerebellar Ataxia 3." in: Evidence-based complementary and alternative medicine : eCAM, Vol. 2013, pp. 471659, (2013) (PubMed).

Scott, Nogueira, Heffernan, van Doorn, Dhakal, Hanna, Min, Jaskelioff, Xiao, Wu, Cameron, Perry, Zeid, Feinberg, Kim, Vande Woude, Granter, Bosenberg, Chu, DePinho, Rimm, Chin: "Proinvasion metastasis drivers in early-stage melanoma are oncogenes." in: Cancer cell, Vol. 20, Issue 1, pp. 92-103, (2011) (PubMed).

Asai, Kawashima, Katagiri, Takeuchi, Tohnai, Ohtsuka: "Protective effect of a molecular chaperone inducer, paeoniflorin, on the HCl- and ethanol-triggered gastric mucosal injury." in: Life sciences, Vol. 88, Issue 7-8, pp. 350-7, (2011) (PubMed).

Rafiee, Theriot, Nelson, Heidemann, Kanaa, Horowitz, Rogaczewski, Johnson, Ali, Shaker, Binion: "Human esophageal microvascular endothelial cells respond to acidic pH stress by PI3K/AKT and p38 MAPK-regulated induction of Hsp70 and Hsp27." in: American journal of physiology. Cell physiology, Vol. 291, Issue 5, pp. C931-45, (2006) (PubMed).

Takaki, Fujimoto, Sugahara, Nakahari, Yonemura, Tanaka, Hayashida, Inouye, Takemoto, Yamashita, Nakai: "Maintenance of olfactory neurogenesis requires HSF1, a major heat shock transcription factor in mice." in: The Journal of biological chemistry, Vol. 281, Issue 8, pp. 4931-7, (2006) (PubMed).

Aliases for HSF1 Antibodies

heat shock factor (hsf1) Antibodies
Heat Shock Factor (hsf-1) Antibodies
heat shock factor 1 (Hsf1) Antibodies
heat shock transcription factor 1 (HSF1) Antibodies
heat shock transcription factor 1 (Hsf1) Antibodies
heat shock transcription factor 1 (hsf1) Antibodies
heat shock transcription factor 1 S homeolog (hsf1.S) Antibodies
AA960185 Antibodies
Hsf Antibodies
HSF Antibodies
hsf1 Antibodies
HSF1 Antibodies
hsf1a Antibodies
hsf1b Antibodies
HSF1c Antibodies
HSTF1 Antibodies
hstf1 Antibodies
xhsf1 Antibodies
zHSF1a Antibodies
zHSF1b Antibodies
You are here:
Chat with us!