Phone:
+1 877 302 8632
Fax:
+1 888 205 9894 (Toll-free)
E-Mail:
orders@antibodies-online.com

KCNIP1 Antibodies

(Kv Channel Interacting Protein 1 (KCNIP1))

Choose one of 33 KCNIP1 antibodies from our product listing based on 13 validation images.

Explore reliable KCNIP1 antibodies from a broad selection of renowned manufacturers. Our portfolio enables accurate KCNIP1 detection across multiple species, including Human, Mouse, Rat, Cow, Pig, Chicken, Monkey, Guinea Pig, Horse, Dog, Rabbit, Xenopus laevis, and supports diverse research applications such as ELISA, IHC, WB, IF, IHC (p).

Quickly find the right antibody using our search, filter, and comparison tools. Each product page provides detailed validation data, literature references, and customer feedback. Unlike comparison-only resources, you can conveniently purchase antibodies directly through our site. Choose from polyclonal, monoclonal, or recombinant KCNIP1 antibodies derived from various hosts such as Rabbit, Mouse. Browse our products below and order directly to support your research with confidence.

Alternative names for KCNIP1 are KCNIP1, kcnip1.L, Kcnip1, kcnip1b.

33 results

KCNIP1 Reactivity: Human ELISA, WB Host: Mouse Monoclonal 3D9 unconjugated
Catalog No. ABIN526272
$520.15
Plus shipping costs $50.00
100 μg
Shipping to: United States
Delivery in 11 to 14 Business Days
 
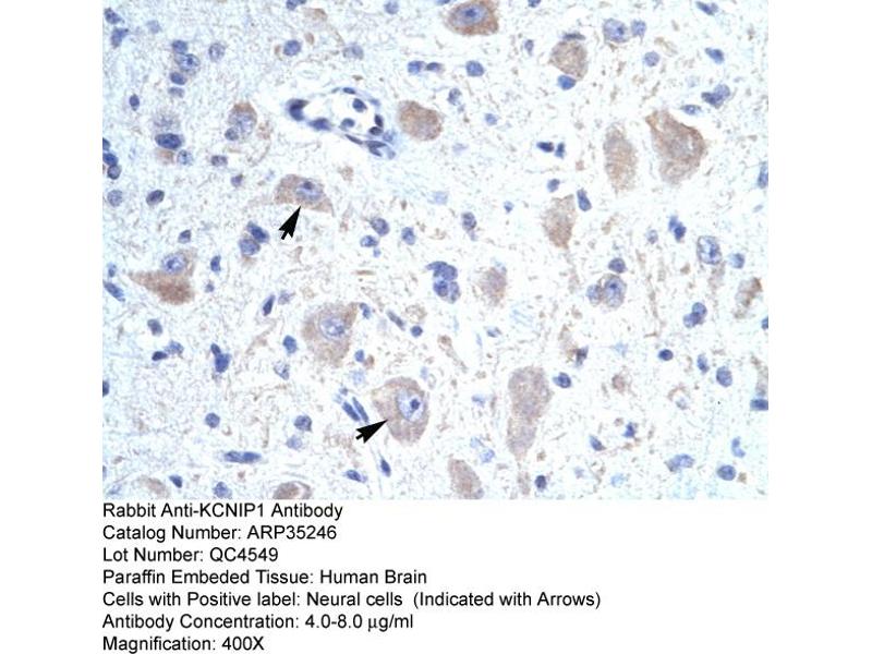
KCNIP1 Reactivity: Human, Mouse, Rat, Cow, Pig, Guinea Pig, Horse, Chicken, Monkey, Xenopus laevis IHC, WB, IHC (p) Host: Rabbit Polyclonal unconjugated
Catalog No. ABIN202072
$649.00
Plus shipping costs $50.00
100 μL
Shipping to: United States
Delivery in 11 to 15 Business Days
 
KCNIP1 Reactivity: Human, Mouse, Rat ELISA, IHC Host: Rabbit Polyclonal unconjugated
Catalog No. ABIN7245431
$538.80
Plus shipping costs $50.00
200 μL (More quantities available)
Shipping to: United States
Delivery in 11 to 15 Business Days
 
KCNIP1 Reactivity: Human WB Host: Mouse Monoclonal 6C239-4 unconjugated
Catalog No. ABIN960839
$632.87
Plus shipping costs $50.00
100 μg
Shipping to: United States
Delivery in 11 to 15 Business Days
 
KCNIP1 Reactivity: Human, Mouse, Cow, Pig, Chicken, Monkey WB Host: Rabbit Polyclonal unconjugated
Catalog No. ABIN208269
$632.87
Plus shipping costs $50.00
0.1 mg
Shipping to: United States
Delivery in 11 to 15 Business Days
 
KCNIP1 Reactivity: Human, Mouse, Rat ELISA, WB Host: Rabbit Polyclonal unconjugated
Catalog No. ABIN6262737
$494.77
Plus shipping costs $50.00
100 μL (More quantities available)
Shipping to: United States
Delivery in 11 to 13 Business Days
 
KCNIP1 Reactivity: Human, Mouse, Rat, Cow, Guinea Pig, Horse, Dog, Rabbit IHC, WB Host: Rabbit Polyclonal unconjugated
Catalog No. ABIN2776208
$429.69
Plus shipping costs $50.00
100 μL (More quantities available)
Shipping to: United States
Delivery in 2 to 4 Business Days
 
KCNIP1 Reactivity: Human, Mouse, Rat ELISA, IHC, IF Host: Rabbit Polyclonal unconjugated
Catalog No. ABIN3185280
$402.79
Plus shipping costs $50.00
100 μL (More quantities available)
Shipping to: United States
Delivery in 11 to 15 Business Days
 
KCNIP1 Reactivity: Human ELISA, IHC, WB Host: Rabbit Polyclonal unconjugated
Catalog No. ABIN7134379
$792.00
Plus shipping costs $50.00
100 μL
Shipping to: United States
Delivery in 13 to 17 Business Days
 
KCNIP1 Reactivity: Human ELISA, IHC, IF Host: Rabbit Polyclonal unconjugated
Catalog No. ABIN7188843
$262.68
Plus shipping costs $50.00
100 μg (More quantities available)
Shipping to: United States
Delivery in 13 to 17 Business Days
 
KCNIP1 Reactivity: Human, Mouse, Rat ELISA, IHC, IF, IHC (p) Host: Rabbit Polyclonal unconjugated
Catalog No. ABIN2883961
$649.00
Plus shipping costs $50.00
100 μL (More quantities available)
Shipping to: United States
Delivery in 11 to 15 Business Days
 
KCNIP1 Reactivity: Human, Mouse, Rat, Cow, Pig, Chicken, Monkey ELISA, WB Host: Rabbit Polyclonal unconjugated
Catalog No. ABIN602577
$926.20
Plus shipping costs $50.00
100 μg
Shipping to: United States
Delivery in 11 to 15 Business Days
 
KCNIP1 Reactivity: Human ELISA, IHC Host: Rabbit Polyclonal unconjugated
Catalog No. ABIN2611164
$1,153.53
Plus shipping costs $50.00
200 μL
Shipping to: United States
Delivery in 11 to 15 Business Days
 
KCNIP1 Reactivity: Human ELISA, WB Host: Mouse Monoclonal unconjugated
Catalog No. ABIN2611163
$1,111.00
Plus shipping costs $50.00
100 μg
Shipping to: United States
Delivery in 11 to 15 Business Days
 
KCNIP1 Reactivity: Human ELISA, IHC Host: Rabbit Polyclonal Biotin
Catalog No. ABIN1907019
$1,480.60
Plus shipping costs $50.00
200 μL
Shipping to: United States
Delivery in 11 to 15 Business Days
 
KCNIP1 Reactivity: Human ELISA, IHC Host: Rabbit Polyclonal FITC
Catalog No. ABIN1907021
$1,480.60
Plus shipping costs $50.00
200 μL
Shipping to: United States
Delivery in 11 to 15 Business Days
 
KCNIP1 Reactivity: Human ELISA, IHC Host: Rabbit Polyclonal APC
Catalog No. ABIN1907018
$1,480.60
Plus shipping costs $50.00
200 μL
Shipping to: United States
Delivery in 11 to 15 Business Days
 
KCNIP1 Reactivity: Human ELISA, IHC Host: Rabbit Polyclonal HRP
Catalog No. ABIN1907023
$1,480.60
Plus shipping costs $50.00
200 μL
Shipping to: United States
Delivery in 11 to 15 Business Days
 
KCNIP1 Reactivity: Human ELISA, IHC Host: Rabbit Polyclonal PE
Catalog No. ABIN1907022
$1,480.60
Plus shipping costs $50.00
200 μL
Shipping to: United States
Delivery in 11 to 15 Business Days
 
KCNIP1 Reactivity: Human WB Host: Mouse Polyclonal unconjugated
Catalog No. ABIN7510301
$489.14
Plus shipping costs $50.00
50 μg
Shipping to: United States
Delivery in 11 to 14 Business Days
 
  • Type Primary
    • Primary
  • Application
    • ELISA
    • Immunohistochemistry (IHC)
    • Western Blotting (WB)
    • Immunofluorescence (IF)
    • Immunohistochemistry (Paraffin-embedded Sections) (IHC (p))
    • Enzyme Immunoassay (EIA)
    • Flow Cytometry (FACS)
  • Reactivity
    • Human
    • Mouse
    • Rat
    • Cow
    • Pig
    • Chicken
    • Monkey
    • Guinea Pig
    • Horse
    • Dog
    • Rabbit
    • Xenopus laevis
  • Images available
  • Preservative free only
  • Host
    • Rabbit
    • Mouse
  • Clonality
    • Polyclonal
    • Monoclonal
  • Clone
    • 3D9
    • 6C239-4
  • Binding Specificity
    • C-Term
    • N-Term
    • AA 12-22
    • AA 1-216
    • AA 1-217
    • AA 1-50
    • AA 1-80
    • AA 10-21
    • AA 11-28
  • Conjugate
    • Un-conjugated
    • Biotin
    • APC
    • Alexa Fluor 488
    • Alexa Fluor 555
    • Alexa Fluor 594
    • Alexa Fluor 647
    • Alexa Fluor 680
    • Alexa Fluor 750
    • FITC
    • HRP
    • PE
  • Isotype
    • IgG
    • IgG2a
    • IgG2a kappa
  • Format
    • Liquid
    • Lyophilized
  • Supplier
    • antibodies-online
    • Signalway
    • Cohesion Biosciences
    • Acris
    • Alomone Labs
    • Aviva Systems Biology

Latest Publications for our KCNIP1 Antibodies

Puighermanal, Biever, Espallergues, Gangarossa, De Bundel, Valjent: "drd2-cre:ribotag mouse line unravels the possible diversity of dopamine d2 receptor-expressing cells of the dorsal mouse hippocampus." in: Hippocampus, Vol. 25, Issue 7, pp. 858-75, (2015) (PubMed).

White, Leergaard, DArceuil, Bjaalie, Dale: "Probing tissue microstructure with restriction spectrum imaging: Histological and theoretical validation." in: Human brain mapping, Vol. 34, Issue 2, pp. 327-46, (2013) (PubMed).

Anderson, Engbers, Heath, Bartoletti, Mehaffey, Zamponi, Turner: "The Cav3-Kv4 complex acts as a calcium sensor to maintain inhibitory charge transfer during extracellular calcium fluctuations." in: The Journal of neuroscience : the official journal of the Society for Neuroscience, Vol. 33, Issue 18, pp. 7811-24, (2013) (PubMed).

Rainnie, Hazra, Dabrowska, Guo, Li, Dewitt, Muly: "Distribution and functional expression of Kv4 family ? subunits and associated KChIP ? subunits in the bed nucleus of the stria terminalis." in: The Journal of comparative neurology, Vol. 522, Issue 3, pp. 609-25, (2013) (PubMed).

Pruunsild, Timmusk et al.: "Subcellular localization and transcription regulatory potency of KCNIP/Calsenilin/DREAM/KChIP proteins in cultured primary cortical neurons do not provide support for their role in CRE-dependent gene ..." in: Journal of neurochemistry, Vol. 123, Issue 1, pp. 29-43, (2012) (PubMed).

Manning, Bundros, Trimmer: "Benefits and pitfalls of secondary antibodies: why choosing the right secondary is of primary importance." in: PLoS ONE, Vol. 7, Issue 6, pp. e38313, (2012) (PubMed).

Bourdeau, Laplante, Laurent, Lacaille: "KChIP1 modulation of Kv4.3-mediated A-type K(+) currents and repetitive firing in hippocampal interneurons." in: Neuroscience, Vol. 176, pp. 173-87, (2011) (PubMed).

Sun, Maffie, Lin, Petralia, Rudy, Hoffman: "DPP6 establishes the A-type K(+) current gradient critical for the regulation of dendritic excitability in CA1 hippocampal neurons." in: Neuron, Vol. 71, Issue 6, pp. 1102-15, (2011) (PubMed).

Lin, Sun, Wikenheiser, Kung, Hoffman: "KChIP4a regulates Kv4.2 channel trafficking through PKA phosphorylation." in: Molecular and cellular neurosciences, Vol. 43, Issue 3, pp. 315-25, (2010) (PubMed).

Anderson, Mehaffey, Iftinca, Rehak, Engbers, Hameed, Zamponi, Turner: "Regulation of neuronal activity by Cav3-Kv4 channel signaling complexes." in: Nature neuroscience, Vol. 13, Issue 3, pp. 333-7, (2010) (PubMed).

Aliases for KCNIP1 Antibodies

potassium voltage-gated channel interacting protein 1 (KCNIP1) Antibodies
Kv channel interacting protein 1 L homeolog (kcnip1.L) Antibodies
Kv channel-interacting protein 1 (Kcnip1) Antibodies
potassium voltage-gated channel interacting protein 1 (Kcnip1) Antibodies
Kv channel interacting protein 1 b (kcnip1b) Antibodies
2900046L02Rik Antibodies
3202002F18Rik Antibodies
AI842357 Antibodies
AW494471 Antibodies
KCHIP1 Antibodies
kchip1 Antibodies
Kchip1 Antibodies
Kchip1.2 Antibodies
KCNIP1 Antibodies
VABP Antibodies
vabp Antibodies
zgc:101531 Antibodies
You are here:
Chat with us!