Phone:
+1 877 302 8632
Fax:
+1 888 205 9894 (Toll-free)
E-Mail:
orders@antibodies-online.com

MOCS3 Antibodies

(Molybdenum Cofactor Synthesis 3 (MOCS3))

Choose one of 25 MOCS3 antibodies from our product listing based on 14 validation images.

Explore reliable MOCS3 antibodies from a broad selection of renowned manufacturers. Our portfolio enables accurate MOCS3 detection across multiple species, including Human, Mouse, Rat, and supports diverse research applications such as WB, ELISA, IF, IHC, FACS.

Quickly find the right antibody using our search, filter, and comparison tools. Each product page provides detailed validation data, literature references, and customer feedback. Unlike comparison-only resources, you can conveniently purchase antibodies directly through our site. Choose from polyclonal, monoclonal, or recombinant MOCS3 antibodies derived from various hosts such as Rabbit, Mouse. Browse our products below and order directly to support your research with confidence.

Alternative names for MOCS3 are MOCS3, mocs3, Mocs3, mocs3.L.

25 results

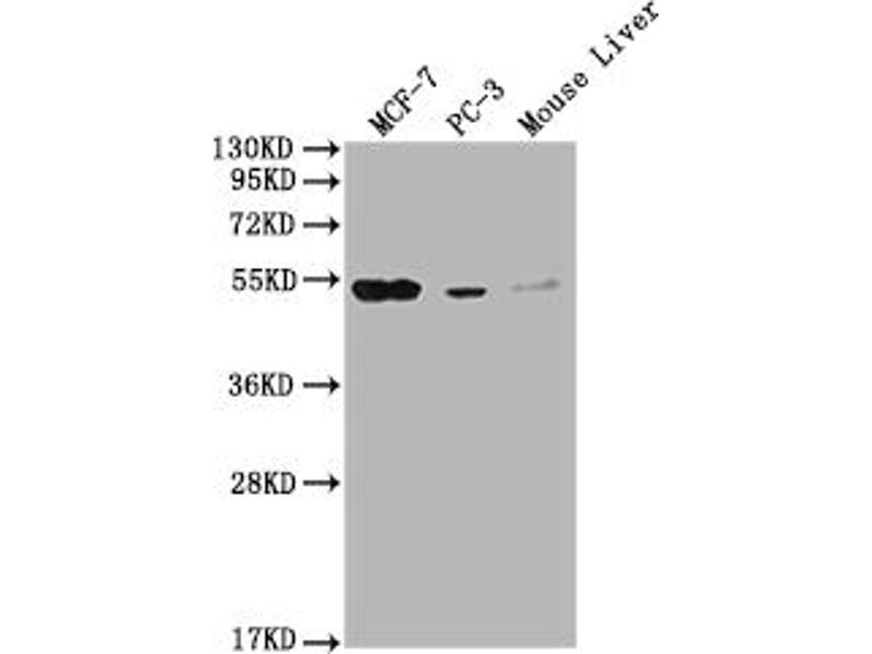
MOCS3 Reactivity: Human WB, ELISA, IHC Host: Rabbit Polyclonal unconjugated
Catalog No. ABIN7143362
$394.68
Plus shipping costs $50.00
100 μL (More quantities available)
Shipping to: United States
Delivery in 13 to 17 Business Days
 
MOCS3 Reactivity: Human WB, IP Host: Rabbit Polyclonal unconjugated
Catalog No. ABIN525958
$504.43
Plus shipping costs $50.00
100 μL
Shipping to: United States
Delivery in 11 to 14 Business Days
 
MOCS3 Reactivity: Human WB Host: Mouse Polyclonal unconjugated
Catalog No. ABIN525957
$520.15
Plus shipping costs $50.00
50 μg
Shipping to: United States
Delivery in 11 to 14 Business Days
 
MOCS3 Reactivity: Human, Mouse WB, IHC, IF Host: Rabbit Polyclonal unconjugated
Catalog No. ABIN7307034
$330.77
Plus shipping costs $50.00
100 μL (More quantities available)
Shipping to: United States
Delivery in 13 to 15 Business Days
 
MOCS3 Reactivity: Mouse WB Host: Rabbit Polyclonal RB38898 unconjugated
Catalog No. ABIN1539358
$451.00
Plus shipping costs $50.00
400 μL (More quantities available)
Shipping to: United States
Delivery in 10 to 12 Business Days
 
MOCS3 Reactivity: Human WB, ELISA Host: Mouse Monoclonal 1C5-E8 unconjugated
Catalog No. ABIN565369
$520.15
Plus shipping costs $50.00
100 μg
Shipping to: United States
Delivery in 11 to 14 Business Days
 
MOCS3 Reactivity: Human WB, ELISA Host: Mouse Polyclonal unconjugated
Catalog No. ABIN565368
$359.85
Plus shipping costs $50.00
50 μL
Shipping to: United States
Delivery in 11 to 14 Business Days
 
MOCS3 Reactivity: Human WB, ELISA Host: Rabbit Polyclonal unconjugated
Catalog No. ABIN7143364
$394.68
Plus shipping costs $50.00
100 μL (More quantities available)
Shipping to: United States
Delivery in 13 to 17 Business Days
 
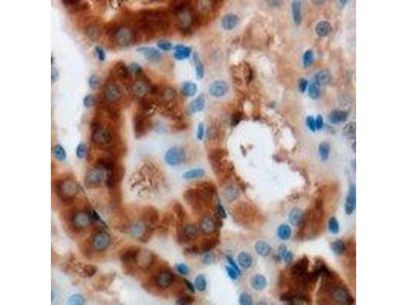
MOCS3 Reactivity: Human WB, IHC (p) Host: Rabbit Polyclonal unconjugated
Catalog No. ABIN7465894
$740.00
Plus shipping costs $50.00
100 μL
Shipping to: United States
Delivery in 3 to 5 Business Days
 
MOCS3 Reactivity: Human ELISA Host: Rabbit Polyclonal HRP
Catalog No. ABIN7143367
$394.68
Plus shipping costs $50.00
100 μL (More quantities available)
Shipping to: United States
Delivery in 13 to 17 Business Days
 
MOCS3 Reactivity: Human Host: Rabbit Polyclonal FITC
Catalog No. ABIN7143366
$394.68
Plus shipping costs $50.00
100 μL (More quantities available)
Shipping to: United States
Delivery in 13 to 17 Business Days
 
MOCS3 Reactivity: Human ELISA Host: Rabbit Polyclonal Biotin
Catalog No. ABIN7143365
$394.68
Plus shipping costs $50.00
100 μL (More quantities available)
Shipping to: United States
Delivery in 13 to 17 Business Days
 
MOCS3 Reactivity: Human WB Host: Rabbit Polyclonal unconjugated
Catalog No. ABIN2588506
$1,175.53
Plus shipping costs $50.00
100 μg
Shipping to: United States
Delivery in 11 to 15 Business Days
 
MOCS3 Reactivity: Human WB Host: Mouse Polyclonal unconjugated
Catalog No. ABIN2588504
$1,111.00
Plus shipping costs $50.00
50 μg
Shipping to: United States
Delivery in 11 to 15 Business Days
 
MOCS3 Reactivity: Human WB, ELISA Host: Mouse Monoclonal 1C5-E8 unconjugated
Catalog No. ABIN2588503
$1,111.00
Plus shipping costs $50.00
100 μg
Shipping to: United States
Delivery in 11 to 15 Business Days
 
MOCS3 Reactivity: Human, Mouse WB, ELISA Host: Rabbit Polyclonal unconjugated
Catalog No. ABIN2588507
$1,153.53
Plus shipping costs $50.00
200 μL
Shipping to: United States
Delivery in 11 to 15 Business Days
 
MOCS3 Reactivity: Human, Mouse, Rat WB, IHC, IF Host: Rabbit Polyclonal unconjugated
Catalog No. ABIN6760262
$637.27
Plus shipping costs $50.00
100 μL (More quantities available)
Shipping to: United States
Delivery in 11 to 15 Business Days
 
MOCS3 Reactivity: Human, Mouse WB Host: Rabbit Polyclonal unconjugated
Catalog No. ABIN1807226
$643.13
Plus shipping costs $50.00
400 μL
Shipping to: United States
Delivery in 11 to 15 Business Days
 
MOCS3 Reactivity: Mouse WB, ELISA Host: Rabbit Polyclonal HRP
Catalog No. ABIN1914346
$1,480.60
Plus shipping costs $50.00
200 μL
Shipping to: United States
Delivery in 11 to 15 Business Days
 
MOCS3 Reactivity: Mouse WB, ELISA Host: Rabbit Polyclonal PE
Catalog No. ABIN1914345
$1,480.60
Plus shipping costs $50.00
200 μL
Shipping to: United States
Delivery in 11 to 15 Business Days
 
  • Type Primary
    • Primary
  • Application
    • Western Blotting (WB)
    • ELISA
    • Immunofluorescence (IF)
    • Immunohistochemistry (IHC)
    • Flow Cytometry (FACS)
    • Immunohistochemistry (Paraffin-embedded Sections) (IHC (p))
    • Immunoprecipitation (IP)
  • Reactivity
    • Human
    • Mouse
    • Rat
  • Images available
  • Preservative free only
  • Carrier free only
  • Host
    • Rabbit
    • Mouse
  • Clonality
    • Polyclonal
    • Monoclonal
  • Clone
    • 1C5-E8
    • RB38898
  • Binding Specificity
    • AA 40-66
    • AA 1-460
    • AA 279-404
    • N-Term
    • AA 1-461
    • AA 271-460
  • Conjugate
    • Un-conjugated
    • Biotin
    • FITC
    • HRP
    • APC
    • PE
  • Isotype
    • IgG
    • Ig Fraction
    • IgG2b
    • IgG2b kappa
  • Format
    • Liquid
  • Supplier
    • antibodies-online
    • Cohesion Biosciences
    • USBio

Latest Publications for our MOCS3 Antibodies

Bode, Dong: "Post-translational modification of p53 in tumorigenesis." in: Nature reviews. Cancer, Vol. 4, Issue 10, pp. 793-805, (2004) (PubMed).

De Milito, Aleman, Marenzi, Sonnerborg, Fuchs, Zazzi, Chiodi, D: "Plasma levels of soluble CD27: a simple marker to monitor immune activation during potent antiretroviral therapy in HIV-1-infected subjects." in: Clinical and experimental immunology, Vol. 127, Issue 3, pp. 486-94, (2002) (PubMed).

Aliases for MOCS3 Antibodies

molybdenum cofactor synthesis 3 (MOCS3) Antibodies
molybdenum cofactor synthesis 3 (mocs3) Antibodies
molybdenum cofactor synthesis 3 (Mocs3) Antibodies
molybdenum cofactor synthesis 3 L homeolog (mocs3.L) Antibodies
1700020H17Rik Antibodies
DDBDRAFT_0189692 Antibodies
DDBDRAFT_0267172 Antibodies
DDB_0189692 Antibodies
DDB_0267172 Antibodies
MOCS3 Antibodies
UBA4 Antibodies
Uba4 Antibodies
uba4 Antibodies
zgc:55696 Antibodies
You are here:
Chat with us!