Phone:
+1 877 302 8632
Fax:
+1 888 205 9894 (Toll-free)
E-Mail:
orders@antibodies-online.com

MOSC1 Antibodies

(MOCO Sulphurase C-terminal Domain Containing 1 (MOSC1))

Choose one of 21 MOSC1 antibodies from our product listing based on 3 publications and 15 validation images.

Explore reliable MOSC1 antibodies from a broad selection of renowned manufacturers. Our portfolio enables accurate MOSC1 detection across multiple species, including Human, Cow, Dog, Horse, Mouse, Rabbit, Rat, Bat, Chicken, Guinea Pig, Monkey, Zebrafish (Danio rerio), and supports diverse research applications such as WB, IHC, ELISA, ICC, IF.

Quickly find the right antibody using our search, filter, and comparison tools. Each product page provides detailed validation data, literature references, and customer feedback. Unlike comparison-only resources, you can conveniently purchase antibodies directly through our site. Choose from polyclonal, monoclonal, or recombinant MOSC1 antibodies derived from various hosts such as Rabbit. Browse our products below and order directly to support your research with confidence.

Alternative names for MOSC1 are MARC1, Marc1, marc1.S, zgc:110783.

21 results

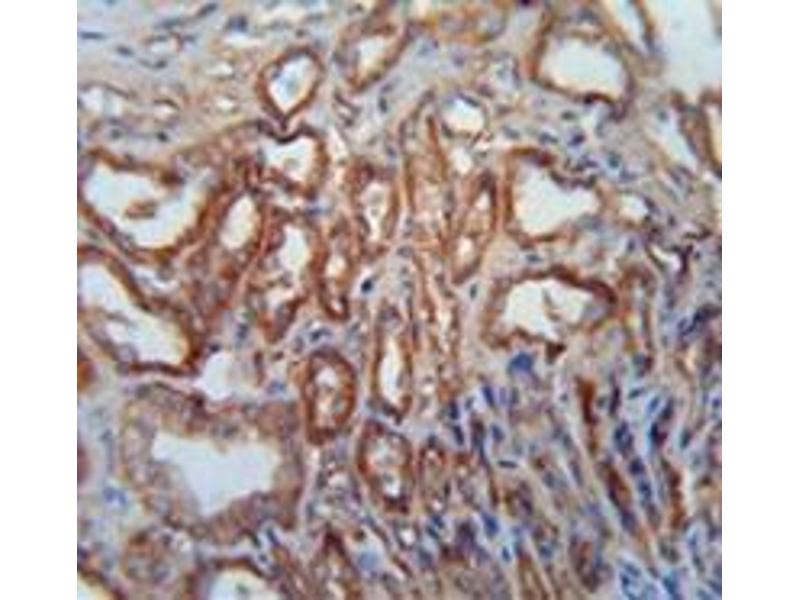
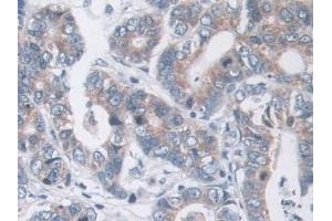
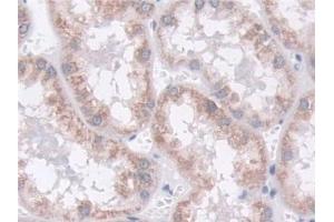
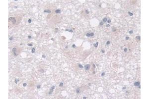
MOSC1 Reactivity: Human WB, IHC, ICC, IF Host: Rabbit Polyclonal unconjugated
Catalog No. ABIN7430258
$351.18
Plus shipping costs $50.00
100 μL (More quantities available)
Shipping to: United States
Delivery in 13 to 17 Business Days
 
MOSC1 Reactivity: Human WB, IHC (p) Host: Rabbit Polyclonal RB24478 unconjugated
Pubmed 2 references
Catalog No. ABIN653710
$451.00
Plus shipping costs $50.00
400 μL (More quantities available)
Shipping to: United States
Delivery in 10 to 12 Business Days
 
MOSC1 Reactivity: Human, Cow, Dog, Horse, Mouse, Rabbit, Rat, Bat, Chicken, Monkey WB Host: Rabbit Polyclonal unconjugated
Catalog No. ABIN6738611
$690.07
Plus shipping costs $50.00
100 μL
Shipping to: United States
Delivery in 11 to 15 Business Days
 
MOSC1 Reactivity: Human WB, IHC (p), EIA Host: Rabbit Polyclonal unconjugated
Catalog No. ABIN953486
$846.00
Plus shipping costs $50.00
0.4 mL
Shipping to: United States
Delivery in 1 to 2 Business Days
 
MOSC1 Reactivity: Human, Cow, Dog, Horse, Mouse, Rabbit, Rat, Guinea Pig, Zebrafish (Danio rerio) WB Host: Rabbit Polyclonal unconjugated
Pubmed 1 reference
Catalog No. ABIN2783880
$483.54
Plus shipping costs $50.00
100 μL (More quantities available)
Shipping to: United States
Delivery in 2 to 4 Business Days
 
MOSC1 Reactivity: Human ICC, IF Host: Rabbit Polyclonal unconjugated
Catalog No. ABIN7467844
$740.00
Plus shipping costs $50.00
100 μL
Shipping to: United States
Delivery in 3 to 5 Business Days
 
MOSC1 Reactivity: Human WB, IHC, ELISA Host: Rabbit Polyclonal unconjugated
Catalog No. ABIN2588562
$1,153.53
Plus shipping costs $50.00
200 μL
Shipping to: United States
Delivery in 11 to 15 Business Days
 
MOSC1 Reactivity: Human WB, IHC, ELISA Host: Rabbit Polyclonal HRP
Catalog No. ABIN1914420
$1,480.60
Plus shipping costs $50.00
200 μL
Shipping to: United States
Delivery in 11 to 15 Business Days
 
MOSC1 Reactivity: Human WB, IHC, ELISA Host: Rabbit Polyclonal PE
Catalog No. ABIN1914419
$1,480.60
Plus shipping costs $50.00
200 μL
Shipping to: United States
Delivery in 11 to 15 Business Days
 
MOSC1 Reactivity: Human WB, IHC, ELISA Host: Rabbit Polyclonal FITC
Catalog No. ABIN1914417
$1,480.60
Plus shipping costs $50.00
200 μL
Shipping to: United States
Delivery in 11 to 15 Business Days
 
MOSC1 Reactivity: Human WB, IHC, ELISA Host: Rabbit Polyclonal Biotin
Catalog No. ABIN1914418
$1,480.60
Plus shipping costs $50.00
200 μL
Shipping to: United States
Delivery in 11 to 15 Business Days
 
MOSC1 Reactivity: Human WB, IHC, ELISA Host: Rabbit Polyclonal APC
Catalog No. ABIN1914415
$1,480.60
Plus shipping costs $50.00
200 μL
Shipping to: United States
Delivery in 11 to 15 Business Days
 
MOSC1 Reactivity: Human WB, IHC, ELISA Host: Rabbit Polyclonal unconjugated
Catalog No. ABIN2325162
$920.00
Plus shipping costs $50.00
200 μL
Shipping to: United States
Delivery in 11 to 17 Business Days
 
MOSC1 Reactivity: Human Host: Rabbit Polyclonal Alexa Fluor 680
Catalog No. ABIN6901856
$515.90
Plus shipping costs $50.00
100 μL
Shipping to: United States
Delivery in 6 to 9 Business Days
 
MOSC1 Reactivity: Human Host: Rabbit Polyclonal Alexa Fluor 555
Catalog No. ABIN6885793
$515.90
Plus shipping costs $50.00
100 μL
Shipping to: United States
Delivery in 6 to 9 Business Days
 
MOSC1 Reactivity: Human Host: Rabbit Polyclonal Biotin
Catalog No. ABIN6869730
$515.90
Plus shipping costs $50.00
100 μL
Shipping to: United States
Delivery in 6 to 9 Business Days
 
MOSC1 Reactivity: Human Host: Rabbit Polyclonal Alexa Fluor 750
Catalog No. ABIN6853667
$515.90
Plus shipping costs $50.00
100 μL
Shipping to: United States
Delivery in 6 to 9 Business Days
 
MOSC1 Reactivity: Human Host: Rabbit Polyclonal Alexa Fluor 647
Catalog No. ABIN6845540
$515.90
Plus shipping costs $50.00
100 μL
Shipping to: United States
Delivery in 6 to 9 Business Days
 
MOSC1 Reactivity: Human Host: Rabbit Polyclonal Alexa Fluor 488
Catalog No. ABIN6813414
$515.90
Plus shipping costs $50.00
100 μL
Shipping to: United States
Delivery in 6 to 9 Business Days
 
MOSC1 Reactivity: Human Host: Rabbit Polyclonal Alexa Fluor 594
Catalog No. ABIN6829477
$515.90
Plus shipping costs $50.00
100 μL
Shipping to: United States
Delivery in 6 to 9 Business Days
 
  • Type Primary
    • Primary
  • Application
    • Western Blotting (WB)
    • Immunohistochemistry (IHC)
    • ELISA
    • Immunocytochemistry (ICC)
    • Immunofluorescence (IF)
    • Immunohistochemistry (Paraffin-embedded Sections) (IHC (p))
    • Enzyme Immunoassay (EIA)
  • Reactivity
    • Human
    • Cow
    • Dog
    • Horse
    • Mouse
    • Rabbit
    • Rat
    • Bat
    • Chicken
    • Guinea Pig
    • Monkey
    • Zebrafish (Danio rerio)
  • Cited in publications
  • Images available
  • Preservative free only
  • Carrier free only
  • Host
    • Rabbit
  • Clonality
    • Polyclonal
  • Clone
    • RB24478
  • Binding Specificity
    • AA 175-204
    • AA 182-212
    • AA 254-303
    • AA 41-335
    • C-Term
    • Center
    • Internal Region
    • Middle Region
  • Conjugate
    • Un-conjugated
    • Biotin
    • APC
    • Alexa Fluor 488
    • Alexa Fluor 555
    • Alexa Fluor 594
    • Alexa Fluor 647
    • Alexa Fluor 680
    • Alexa Fluor 750
    • FITC
    • HRP
    • PE
  • Isotype
    • IgG
    • Ig Fraction
  • Format
    • Liquid
    • Lyophilized
  • Supplier
    • antibodies-online
    • Signalway
    • Acris
    • Aviva Systems Biology
    • Cohesion Biosciences
    • USBio

Latest Publications for our MOSC1 Antibodies

Plitzko, Havemeyer, Kunze, Clement: "The pivotal role of the mitochondrial amidoxime reducing component 2 in protecting human cells against apoptotic effects of the base analog N6-hydroxylaminopurine." in: The Journal of biological chemistry, Vol. 290, Issue 16, pp. 10126-35, (2015) (PubMed).

Jakobs, Mikula, Havemeyer, Strzalkowska, Borowa-Chmielak, Dzwonek, Gajewska, Hennig, Ostrowski, Clement: "The N-reductive system composed of mitochondrial amidoxime reducing component (mARC), cytochrome b5 (CYB5B) and cytochrome b5 reductase (CYB5R) is regulated by fasting and high fat diet in mice." in: PloS one, Vol. 9, Issue 8, pp. e105371, (2014) (PubMed).

Plitzko, Ott, Reichmann, Henderson, Wolf, Mendel, Bittner, Clement, Havemeyer: "The involvement of mitochondrial amidoxime reducing components 1 and 2 and mitochondrial cytochrome b5 in N-reductive metabolism in human cells." in: The Journal of biological chemistry, Vol. 288, Issue 28, pp. 20228-37, (2013) (PubMed).

Aliases for MOSC1 Antibodies

mitochondrial amidoxime reducing component 1 (MARC1) Antibodies
mitochondrial amidoxime reducing component 1 (Marc1) Antibodies
mitochondrial amidoxime reducing component 1 S homeolog (marc1.S) Antibodies
zgc:110783 (zgc:110783) Antibodies
1300013F15Rik Antibodies
MOSC1 Antibodies
Mosc1 Antibodies
mosc1 Antibodies
mosc2 Antibodies
sb:cb792 Antibodies
You are here:
Chat with us!