Phone:
+1 877 302 8632
Fax:
+1 888 205 9894 (Toll-free)
E-Mail:
orders@antibodies-online.com

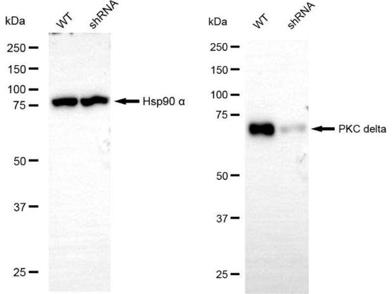
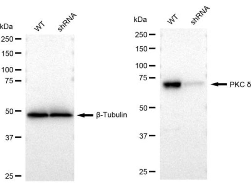
PKC delta Antibodies

(Protein Kinase C, delta (PKCd))

Choose one of 241 PKC delta antibodies from our product listing based on 2 publications and 86 validation images.

Explore reliable PKC delta antibodies from a broad selection of renowned manufacturers. Our portfolio enables accurate PKC delta detection across multiple species, including Human, Mouse, Rat, Monkey, Cow, Dog, Horse, Rabbit, Guinea Pig, Chicken, Pig, and supports diverse research applications such as WB, IF (cc), IF (p), IHC, ELISA.

Quickly find the right antibody using our search, filter, and comparison tools. Each product page provides detailed validation data, literature references, and customer feedback. Unlike comparison-only resources, you can conveniently purchase antibodies directly through our site. Choose from polyclonal, monoclonal, or recombinant PKC delta antibodies derived from various hosts such as Rabbit, Mouse. Browse our products below and order directly to support your research with confidence.

Alternative names for PKC delta are PRKCD, Prkcd, prkcda, prkcd.L, prkcd.

241 results

PKCd Reactivity: Human WB, IHC, IF Host: Rabbit Polyclonal unconjugated
Catalog No. ABIN6146203
$383.00
Plus shipping costs $50.00
100 μL (More quantities available)
Shipping to: United States
Delivery in 7 to 10 Business Days
 
KD Validated PKCd Reactivity: Mouse WB, IF (p), FACS Host: Rabbit Monoclonal 24GB4485 unconjugated Recombinant Antibody
Catalog No. ABIN7799995
$598.92
Plus shipping costs $50.00
100 μL
Shipping to: United States
Delivery in 3 to 5 Business Days
 
PKCd Reactivity: Human WB, ELISA, RNAi Host: Mouse Monoclonal 6A2 unconjugated
Catalog No. ABIN562383
$520.15
Plus shipping costs $50.00
100 μg
Shipping to: United States
Delivery in 11 to 14 Business Days
 
PKCd Reactivity: Human WB, ELISA, IF Host: Mouse Monoclonal 2E12 unconjugated
Pubmed 1 reference
Catalog No. ABIN562385
$520.15
Plus shipping costs $50.00
100 μg
Shipping to: United States
Delivery in 11 to 14 Business Days
 
PKCd Reactivity: Human, Mouse, Rat WB, IHC, ELISA, IF, ICC Host: Rabbit Polyclonal unconjugated
Catalog No. ABIN6255881
$494.77
Plus shipping costs $50.00
100 μL (More quantities available)
Shipping to: United States
Delivery in 11 to 13 Business Days
 
PKCd Reactivity: Human, Mouse WB, IHC, ELISA, IF, ICC Host: Rabbit Polyclonal unconjugated
Catalog No. ABIN6264244
$494.77
Plus shipping costs $50.00
100 μL (More quantities available)
Shipping to: United States
Delivery in 11 to 13 Business Days
 
KD Validated PKCd Reactivity: Human WB, FACS Host: Rabbit Monoclonal 23GB2410 unconjugated Recombinant Antibody
Catalog No. ABIN7799993
$598.92
Plus shipping costs $50.00
100 μL
Shipping to: United States
Delivery in 3 to 5 Business Days
 
PKCd Reactivity: Human, Mouse WB, IHC, ELISA, IF, ICC Host: Rabbit Polyclonal unconjugated
Catalog No. ABIN6256394
$494.77
Plus shipping costs $50.00
100 μL (More quantities available)
Shipping to: United States
Delivery in 11 to 13 Business Days
 
PKCd Reactivity: Human, Mouse, Rat WB, ELISA, IF, ICC Host: Rabbit Polyclonal unconjugated
Catalog No. ABIN6256779
$494.77
Plus shipping costs $50.00
100 μL (More quantities available)
Shipping to: United States
Delivery in 11 to 13 Business Days
 
PKCd Reactivity: Human WB, PLA Host: Rabbit Polyclonal unconjugated
Catalog No. ABIN519189
$504.43
Plus shipping costs $50.00
100 μg
Shipping to: United States
Delivery in 11 to 14 Business Days
 
PKCd Reactivity: Human WB, IHC (p) Host: Rabbit Polyclonal RB1013 unconjugated
Catalog No. ABIN391006
$451.00
Plus shipping costs $50.00
400 μL (More quantities available)
Shipping to: United States
Delivery in 10 to 12 Business Days
 
KD Validated PKCd Reactivity: Human WB Host: Rabbit Polyclonal unconjugated
Catalog No. ABIN7799994
$598.92
Plus shipping costs $50.00
100 μL
Shipping to: United States
Delivery in 3 to 5 Business Days
 
PKCd Reactivity: Human, Monkey WB, IHC, ELISA Host: Rabbit Polyclonal unconjugated
Catalog No. ABIN3182728
$402.79
Plus shipping costs $50.00
100 μL (More quantities available)
Shipping to: United States
Delivery in 11 to 15 Business Days
 
PKCd Reactivity: Human, Mouse, Rat WB, IHC, ELISA, IF Host: Rabbit Polyclonal unconjugated
Catalog No. ABIN1531506
$341.00
Plus shipping costs $50.00
100 μL (More quantities available)
Shipping to: United States
Delivery in 2 to 4 Business Days
 
PKCd Reactivity: Mouse WB, IHC, ICC, IP Host: Rabbit Polyclonal unconjugated
Catalog No. ABIN1078463
$227.00
Plus shipping costs $50.00
100 μL (More quantities available)
Shipping to: United States
Delivery in 15 to 19 Business Days
 
PKCd Reactivity: Rat WB, IHC, ICC, IP Host: Rabbit Polyclonal unconjugated
Catalog No. ABIN1078464
$239.00
Plus shipping costs $50.00
100 μL (More quantities available)
Shipping to: United States
Delivery in 15 to 19 Business Days
 
PKCd Reactivity: Human, Mouse, Rat WB, IHC, ELISA, IF, FACS, ICC Host: Rabbit Polyclonal unconjugated
Catalog No. ABIN7601631
$370.00
Plus shipping costs $50.00
100 μg
Shipping to: United States
Delivery in 4 to 7 Business Days
 
PKCd Reactivity: Human, Mouse, Rat WB, ELISA, IF (cc), IF (p), IHC (p), IHC (fro) Host: Rabbit Polyclonal unconjugated
Catalog No. ABIN701785
$384.62
Plus shipping costs $50.00
100 μL
Shipping to: United States
Delivery in 4 to 7 Business Days
 
PKCd Reactivity: Human, Mouse, Rat WB, ELISA, IF (cc), IF (p), IHC (p), FACS, IHC (fro) Host: Rabbit Polyclonal unconjugated
Catalog No. ABIN703270
$384.62
Plus shipping costs $50.00
100 μL
Shipping to: United States
Delivery in 4 to 7 Business Days
 
PKCd Reactivity: Human ELISA, IF Host: Rabbit Polyclonal unconjugated
Catalog No. ABIN7165702
$394.68
Plus shipping costs $50.00
100 μL (More quantities available)
Shipping to: United States
Delivery in 13 to 17 Business Days
 
  • Type Primary
    • Primary
  • Application
    • Western Blotting (WB)
    • Immunofluorescence (Cultured Cells) (IF (cc))
    • Immunofluorescence (Paraffin-embedded Sections) (IF (p))
    • Immunohistochemistry (IHC)
    • ELISA
    • Flow Cytometry (FACS)
    • Immunohistochemistry (Paraffin-embedded Sections) (IHC (p))
    • Immunocytochemistry (ICC)
    • Immunofluorescence (IF)
    • Immunohistochemistry (Frozen Sections) (IHC (fro))
    • Immunoprecipitation (IP)
    • Immunofluorescence (fixed cells) (IF/ICC)
    • Enzyme Immunoassay (EIA)
    • Immunochromatography (IC)
    • Proximity Ligation Assay (PLA)
    • RNA Interference (RNAi)
  • Reactivity
    • Human
    • Mouse
    • Rat
    • Monkey
    • Cow
    • Dog
    • Horse
    • Rabbit
    • Guinea Pig
    • Chicken
    • Pig
  • Cited in publications
  • Images available
  • Preservative free only
  • Carrier free only
  • Host
    • Rabbit
    • Mouse
  • Clonality
    • Polyclonal
    • Monoclonal
  • Clone
    • S06-4A5
    • S09-8H6
    • 23GB2410
    • 24GB4485
    • 2C4
    • 2E12
    • 32P27
    • 32P74
    • 6A2
    • IHD-16
    • PT0605R
    • R09-8H6
    • RB1013
  • Binding Specificity
    • pTyr313
    • pTyr52
    • AA 1-100
    • AA 161-260
    • AA 511-610
    • AA 65-170
    • pSer645
    • pSer299
    • AA 298-326
    • AA 38-67
    • N-Term
    • pThr507
    • pTyr64
    • AA 505-633
    • AA 1-676
    • AA 577-676
    • AA 643-647
    • C-Term
    • Gly499
    • Tyr64
    • pSer664
    • pThr505
    • pTyr311
    • AA 1-160
    • AA 10-59
    • AA 159-258
    • AA 18-67
    • AA 279-328
    • AA 30-79
    • AA 328-498
    • AA 328-674
    • AA 330-672
    • AA 347-601
    • AA 37-67
    • AA 4-676
    • AA 471-520
    • AA 477-676
    • AA 612-661
    • AA 626-676
    • Ser645
    • Ser676
    • Thr305
    • Thr507
    • Tyr52
    • pSer643
  • Conjugate
    • Un-conjugated
    • Biotin
    • FITC
    • HRP
    • AbBy Fluor® 350
    • AbBy Fluor® 488
    • AbBy Fluor® 555
    • AbBy Fluor® 594
    • AbBy Fluor® 647
    • AbBy Fluor® 680
    • AbBy Fluor® 750
    • Alexa Fluor 488
    • Alexa Fluor 555
    • Alexa Fluor 594
    • Alexa Fluor 647
    • Alexa Fluor 680
    • Alexa Fluor 750
    • Cy3
    • Cy5
    • Cy5.5
    • Cy7
    • PE
    • APC
    • Alexa Fluor 350
    • Alexa Fluor 405
  • Isotype
    • IgG
    • Ig Fraction
    • IgG2a
    • kappa
  • Protein Type
    • Recombinant Antibody
  • Format
    • Liquid
    • Lyophilized
  • Grade
    • KD Validated
  • Supplier
    • antibodies-online
    • Signalway
    • Abbexa
    • Cohesion Biosciences
    • Assay Biotechnology Company, Inc.
    • Boster Bio
    • USBio
    • Cloud-Clone
    • Biomatik
    • ProSci
    • Acris
    • Aviva Systems Biology
    • NSJ Bioreagents

Latest Publications for our PKC delta Antibodies

Gan, Wang, Zhao, Wu, Yang, Peng: "5-(Bis(3-(2-hydroxyethyl)-1H-indol-2-yl)methyl)-2-hydroxybenzoic acid (BHIMHA): showing a strategy of designing drug to block lung metastasis of tumors." in: Drug design, development and therapy, Vol. 10, pp. 711-21, (2016) (PubMed).

Chen, Nguyen, Shively: "Role of calpain-9 and PKC-delta in the apoptotic mechanism of lumen formation in CEACAM1 transfected breast epithelial cells." in: Experimental cell research, Vol. 316, Issue 4, pp. 638-48, (2010) (PubMed).

Uenoyama, Ogata, Nakanishi, Kanazawa, Hiroi, Tominaga, Seo, Matsui, Kawai, Suzuki: "Protein kinase C mRNA and protein expressions in hypobaric hypoxia-induced cardiac hypertrophy in rats." in: Acta physiologica (Oxford, England), Vol. 198, Issue 4, pp. 431-40, (2010) (PubMed).

Van Kolen, Slegers: "Atypical PKCzeta is involved in RhoA-dependent mitogenic signaling by the P2Y(12) receptor in C6 cells." in: The FEBS journal, Vol. 273, Issue 8, pp. 1843-54, (2006) (PubMed).

Zhang, Keane, Zhu, Sharma, Rozengurt, Strieter, Dubinett, Huang: "Interleukin-7 and transforming growth factor-beta play counter-regulatory roles in protein kinase C-delta-dependent control of fibroblast collagen synthesis in pulmonary fibrosis." in: The Journal of biological chemistry, Vol. 279, Issue 27, pp. 28315-9, (2004) (PubMed).

Sakamoto, Aschenbach, Hirshman, Goodyear: "Akt signaling in skeletal muscle: regulation by exercise and passive stretch." in: American journal of physiology. Endocrinology and metabolism, Vol. 285, Issue 5, pp. E1081-8, (2003) (PubMed).

Larsen, Ueyama, Brannock, Shirai, Saito, Larsson, Loegering, Weber, Lennartz: "A role for PKC-epsilon in Fc gammaR-mediated phagocytosis by RAW 264.7 cells." in: The Journal of cell biology, Vol. 159, Issue 6, pp. 939-44, (2002) (PubMed).

Ringshausen, Schneller, Bogner, Hipp, Duyster, Peschel, Decker: "Constitutively activated phosphatidylinositol-3 kinase (PI-3K) is involved in the defect of apoptosis in B-CLL: association with protein kinase Cdelta." in: Blood, Vol. 100, Issue 10, pp. 3741-8, (2002) (PubMed).

Villalba, Bi, Hu, Altman, Bushway, Reits, Neefjes, Baier, Abraham, Altman: "Translocation of PKC[theta] in T cells is mediated by a nonconventional, PI3-K- and Vav-dependent pathway, but does not absolutely require phospholipase C." in: The Journal of cell biology, Vol. 157, Issue 2, pp. 253-63, (2002) (PubMed).

Blass, Kronfeld, Kazimirsky, Blumberg, Brodie: "Tyrosine phosphorylation of protein kinase Cdelta is essential for its apoptotic effect in response to etoposide." in: Molecular and cellular biology, Vol. 22, Issue 1, pp. 182-95, (2001) (PubMed).

Aliases for PKC delta Antibodies

protein kinase C delta (PRKCD) Antibodies
protein kinase C, delta (Prkcd) Antibodies
protein kinase C, delta a (prkcda) Antibodies
protein kinase C delta L homeolog (prkcd.L) Antibodies
protein kinase C delta (prkcd) Antibodies
protein kinase C, delta (PRKCD) Antibodies
protein kinase C delta (Prkcd) Antibodies
AI385711 Antibodies
D14Ertd420e Antibodies
fb09d10 Antibodies
fv43b11 Antibodies
MAY1 Antibodies
may1 Antibodies
nPKC-delta Antibodies
npkc-delta Antibodies
PKC-delta Antibodies
pkc-delta2 Antibodies
PKCD Antibodies
Pkcd Antibodies
pkcd Antibodies
PKCdelta Antibodies
PKC[d] Antibodies
prkcd Antibodies
tpa-1 Antibodies
wu:fb09d10 Antibodies
wu:fv43b11 Antibodies
zgc:56558 Antibodies
You are here:
Chat with us!